На правах рукописи
Мутации генов с-Kit и PDGFRA и клинико-морфологические особенности стромальных опухолей желудочно-кишечного тракта
(Онкология – 14.01.12)
Автореферат
диссертации на соискание ученой степени
кандидата биологических наук
Москва, 2010
Работа выполнена в лаборатории онкогеномики НИИ канцерогенеза ![]()
Учреждения Российской академии медицинских наук Российского Онкологического Научного Центра им. РАМН.
Научные руководители: доктор биологических наук, профессор
Наталья Николаевна Мазуренко
кандидат медицинских наук,
Ольга Александровна Анурова
Официальные оппоненты: доктор биологических наук,
член-корреспондент РАМН, профессор
Фёдор Львович Киселев
доктор медицинских наук
Оксана Владимировна Паклина
Ведущая организация: Медико-генетический научный центр РАМН.
Защита состоится « 28 » октября 2010 г. в часов на заседании Диссертационного совета Д.001.017.01 при РОНЦ им. РАМН Москва, Каширское шоссе, 24.
С диссертацией можно ознакомиться в библиотеке РОНЦ им. РАМН.
Автореферат разослан « 20 » сентября 2010 г.
Ученый секретарь
диссертационного совета,
Общая характеристика работы
Актуальность проблемы.
Опухоли характеризуются большим спектром генетических нарушений. Среди генетических событий, приводящих к злокачественным новообразованиям, наиболее частыми и удобными для диагностики являются соматические мутации. Примером того, что мутационный анализ важен для диагностики, прогноза и терапии опухолей являются стромальные опухоли желудочно-кишечного тракта или GIST (gastrointestinal stromal tumors). Почти одновременное открытие мутаций в онкогенах, кодирующих тирозинкиназные рецепторы KIT и PDGFRa, и создание ингибиторов тирозинкиназ привели к значительным успехам в понимании биологии этих опухолей и разработке терапии на основе новых молекулярно-направленных препаратов.
Гастроинтестинальные стромальные опухоли – наиболее распространенная группа мезенхимальных опухолей желудочно-кишечного тракта (15-20 случаев на миллион жителей). Они выделены в отдельную нозологию в 2000г. на основании молекулярно-генетической особенности – активации экспрессии гена c-Kit за счет мутации. Иммуногистохимически стромальные опухоли желудочно-кишечного тракта (ЖКТ) отличаются от других сарком ЖКТ высокой экспрессией маркера CD117, который представляет собой рецептор фактора роста стволовых клеток - тирозинкиназу KIT. GIST возникают в разных отделах желудочно-кишечного тракта из предшественников интерстициальных клеток Кахаля, регулирующих перистальтику.
Стромальные опухоли ЖКТ чрезвычайно гетерогенны по клинико-морфологическим характеристикам: локализации, размеру, гистологическому типу клеток, пролиферативной активности и уровню злокачественности. Они также различаются по типу и локализации мутации: до 80% стромальных опухолей ЖКТ имеют активирующую мутацию в одном из экзонов гена c-Kit (экзоны 9, 11, 13 и 17), 5-7% – в близкородственном гене PDGFRA (экзоны 12, 14 и 18), кодирующем α-рецептор тромбоцитарного фактора роста и 10-15% GIST содержат c-Kit и PDGFRA дикого типа. Большой интерес вызывает сравнение типа и положения мутации с локализацией, морфологическим типом клеток и степенью злокачественности GIST. Важно отметить, что определение мутации может иметь диагностическое значение, так как некоторые опухоли экспрессируют CD117, но не являются GIST, тогда как есть стромальные опухоли ЖКТ, экспрессирующие CD117, но не содержащие мутации c-Kit.
Основным видом лечения GIST является хирургическое удаление опухоли, однако у половины больных в течение 5 лет появляются рецидивы или метастазы. Интерес к стромальным опухолям ЖКТ возрос после того, как появились успехи в лечении их ингибиторами тирозинкиназ. Ответ GIST на молекулярно-направленную (таргетную) терапию зависит от типа мутации. Иматиниб мезилат (гливек, Novartis) - препарат первой линии лечения неоперабельных и метастатических GIST, с 2009г. рекомендован для адьювантной терапии. Наиболее чувствительны к нему опухоли с мутациями в 11 экзоне гена с-Kit, для лечения стромальных опухолей тонкой кишки с мутацией 9 экзона требуется двойная доза иматиниба, а GIST с мутацией рецептора PDGFRa (D842V) – нечувствительны к иматинибу. В случаях, когда иматиниб не эффективен, целесообразно назначение сунитиниб малата (сутент, Sugen) для больных с мутацией в 9 или 13 экзоне с-Kit либо с-Kit дикого типа, или нилотиниба (тасигна, Novartis) для GIST с мутацией в 13 или 17 экзоне с-Kit.
Таким образом, определение мутации в генах c-Kit и PDGFRA необходимо для определения индивидуальной чувствительности пациента к терапии таргетными препаратами. Особый интерес представляет сопоставление данных молекулярно-генетического анализа с клинико-морфологическими характеристиками GIST для определения прогностической значимости мутаций рецепторов. В России подобные исследования не проводились.
Цели и задачи исследования.
Целью работы является анализ мутаций генов c-Kit и PDGFRA в стромальных опухолях желудочно-кишечного тракта и сопоставление генетических и клинико-морфологических данных для оптимизации условий выбора препарата таргетной терапии и определения прогностической значимости мутаций.
В соответствии с целью были поставлены следующие экспериментальные задачи:
1. Создать банк образцов стромальных опухолей ЖКТ (парафиновые блоки, свежезамороженные операционные биопсии).
2. Исследовать клинико-морфологические и иммуногистохимические характеристики стромальных опухолей ЖКТ.
Провести анализ мутаций 9, 11, 13 и 17 экзонов гена c-Kit. Провести анализ мутаций 12, 14 и 18 экзонов гена PDGFRA.5. Сопоставить молекулярно-генетические данные (тип и частота мутаций c-Kit и PDGFRA) с клинико-морфологическими характеристиками стромальных опухолей ЖКТ для определения индивидуальной чувствительности к таргетной терапии.
6. На основании анализа молекулярно-генетических данных и клинико-морфологических характеристик оценить диагностическую и прогностическую значимость мутаций c-Kit и PDGFRA в стромальных опухолях ЖКТ.
Научная новизна.
Выявлены клинико-морфологические особенности стромальных опухолей ЖКТ в России: преобладание стромальных опухолей у женщин, высокая частота опухолей с эпителиоидным и смешанным типом клеточного строения.
Впервые получены данные о частоте мутаций генов с-Kit и PDGFRA у российских больных стромальными опухолями ЖКТ. Обнаружена высокая частота стромальных опухолей ЖКТ имеющих мутации PDGFRA, при том, что редки мутации D842V в 18 экзоне PDGFRA, низкая частота стромальных опухолей ЖКТ с точечными заменами в 11 экзоне с-Kit. Выявлены новые (в 11 и 13 экзонах с-Kit) и редкие мутации (в 10 интроне – 11 экзоне c-Kit, в 17 экзоне c-Kit). При сопоставлении результатов молекулярно-генетического анализа с клинико-морфологическими данными показано, что существует корреляция в типе и частоте мутации с особенностями морфологии опухоли и клиническим течением заболевания.
Впервые в России проведена оценка выживаемости больных GIST в зависимости от степени злокачественности опухоли, от локализации опухоли и типа мутации до применения таргетной терапии иматинибом. Впервые проведен анализ вторичных мутаций, вызванных терапией иматинибом. Получены убедительные данные, что тип и локализация мутации могут быть важным параметром для определения индивидуальной чувствительности к таргетной терапии, а также для прогноза стромальных опухолей ЖКТ.
Научно-практическая значимость работы.
Результаты анализа мутаций генов с-Kit и PDGFRА были использованы при дифференциальной диагностике мезенхимальных опухолей ЖКТ и при назначении больным стромальными опухолями ЖКТ препаратов молекулярно-направленной терапии (иматиниб, сунитиниб) в РОНЦ им. РАМН и других клиниках.
Оценена прогностическая значимость различных клинико-морфологических и иммуногистохимических параметров GIST. Впервые в России на основе молекулярно-генетического анализа мутаций и сопоставления их с клинико-морфологическими данными показана связь клинических и генетических параметров с прогнозом заболевания GIST. Изучена прогностическая значимость мутаций до применения тирозинкиназных ингибиторов, что может быть важно при назначении адьювантной терапии.
Апробация работы.
Диссертационная работа была апробирована 17 сентября 2009 года на совместной научной конференции лабораторий онкогеномики, молекулярной биологии вирусов, вирусного канцерогенеза, молекулярной эндокринологии, регуляции клеточных и вирусных онкогенов, механизмов гибели опухолевых клеток НИИ канцерогенеза РОНЦ им. РАМН. Материалы диссертации были представлены на отечественных и международных конференциях и доложены на заседании Общества патологоанатомов г. Москвы (18 ноября 2010), на конференции по фундаментальной онкологии «Петровские чтения» (Санкт-Петербург, 16 апреля 2010г), на Международном конгрессе «Диагностика и лечение онкологических заболеваний пищеварительной системы» (Казань, 24-26 июня 2010г). По теме диссертации опубликовано 17 печатных работ.
Структура и объем работы.
Диссертация состоит из следующих частей: введение, обзор литературы, материалы и методы, результаты, обсуждение, выводы и список литературы. Материалы диссертации изложены на 142 страницах машинописного текста, включая 28 таблиц, 52 рисунка и список литературы (164 ссылки на работы отечественных и зарубежных авторов).
Содержание диссертации
Материалы и методы.
Проведено исследование стромальных опухолей ЖКТ (GIST) от 120 больных, получавших оперативное лечение (86 случаев) или обратившихся за консультацией (34 случая) в РОНЦ им. РАМН в период с 1998 по 2008 год. Дифференциальная диагностика GIST проводилась путем иммуногистохимического исследования гистологических препаратов опухолей с набором антител к СD117 «DAKO», СD34 «BioGen», гладкомышечному актину, десмину, S100 протеину, виментину и другим маркерам гладкомышечной и нейрогенной дифференцировки ведущим научным сотрудником отделения патологической анатомии опухолей человека РОНЦ им. РАМН к. м.н. . Для оценки пролиферативной активности опухолей проводилось иммуногистохимическое окрашивание гистологических срезов с антителами к маркеру Ki-67 (MIB1). Гистологическая оценка степени злокачественности проводилась по системе Французской национальной противораковой ассоциации (FNCLCC), которая по трехбалльной шкале учитывает уровень дифференцировки опухоли, пролиферативную активность (число митозов в 10 полях зрения) и наличие некроза.
Были исследованы 104 первичных опухоли, 16 рецидивов и 9 метастазов стромальных опухолей ЖКТ, из них 98 опухолей до и 27 опухолей после лечения препаратом иматиниб мезилат. Препараты ДНК из 92 стромальных опухолей были получены с помощью протеиназы К из опухолевых клеток, собранных с помощью микродиссекции депарафинизированных срезов операционных биопсий в соответствии с серийным референсным срезом, окрашенным гематоксилин-эозином и охарактеризованным патологом. В 28 случаях ДНК была выделена фенол-хлороформной экстракцией свежезамороженной опухолевой ткани, хранившейся в жидком азоте, которая была получена при операции в отделении абдоминальной онкологии РОНЦ им. РАМН. Определение мутаций в генах с–Kit и PDGFRA проводили с помощью полимеразной цепной реакции (ПЦР) с праймерами к 9, 11, 13 и 17 экзонам гена с–Kit и 18, 12 и 14 экзонам гена PDGFRA с последующей очисткой ПЦР-продуктов и их прямым секвенированием. Примерно в 20% случаев ДНК, полученная из парафиновых срезов, была сильно фрагментирована и имела низкую концентрацию. Поэтому, если при анализе 11 экзона не удавалось получить ПЦР-продукт размером 295пн, мы использовали Nested ПЦР с праймерами, позволявшими получить более короткие ПЦР-продукты, перекрывающие друг друга.
Статистические расчеты и графические построения выполнены с помощью стандартных средств Microsoft Excel. Анализ выживаемости больных стромальными опухолями ЖКТ проведен методом Каплана-Мейера. Достоверность различий между кривыми выживаемости подтверждали с помощью лог-рангового теста с использованием пакета программ GraphPad Prism 4, а также точного двустороннего критерия Фишера FISH 2Х2.
РЕЗУЛЬТАТЫ И ИХ ОБСУЖДЕНИЕ
Клинико-морфологические особенности GIST
Стромальные опухоли ЖКТ чрезвычайно гетерогенны и имеют различные клинико-морфологические характеристики. Нами впервые проведен анализ клинико-морфологических параметров, влияющих на выживаемость больных стромальными опухолями ЖКТ в российской популяции до применения таргетной терапии (иматиниб мезилат).
Из 120 стромальных опухолей ЖКТ,8%) располагались в желудке, 43(35,8%) – в различных отделах тонкой кишки, 6 (5%) - в прямой кишке и 4 (3,3%) GIST с неизвестной первичной локализацией.
Рисунок 1.
Выживаемость больных GIST желудка и тонкой кишки без применения иматиниба.
Мы сопоставили показатели выживаемости больных GIST до применения таргетной терапии в зависимости от локализации опухоли (рис.1). Полученные результаты свидетельствуют о более высокой выживаемости больных стромальными опухолями желудка по сравнению с больными GIST тонкой кишки (χ2=5,732; df=1; р = 0,0167).
Среди 120 больных GIST было больше женщин (57,5%, 69), чем мужчин (42,5%, 51), что, видимо, является особенностью российской популяции. Сравнение выживаемости больных GIST в зависимости от пола, показало, что выживаемость женщин несколько выше, чем мужчин, хотя различие недостоверно (рис. 2). Возможно, это связано с тем, что больший процент женщин имели опухоли желудка, отличающиеся лучшим прогнозом.
Рисунок 2.
Выживаемость больных GIST без применения таргетной терапии в зависимости от пола.
Средний возраст больных составил 54,4 года (от 19 до 73 лет), что значительно ниже, чем описано в литературе, причем средний возраст больных стромальными опухолями тонкой кишки (52 года) на 5-6 лет ниже, чем больных стромальными опухолями желудка и толстой кишки. Средний возраст больных стромальными опухолями неизвестной первичной локализации составил всего 48,3 года.
Опухоли варьировали в размере от 0,2 до 64см (чаще 5-10см или более 10см), большинство развивались бессимптомно, достигая больших размеров, лишь в двух случаях обнаружены опухоли диаметром менее 2см (рис.3).
Рисунок 3.
Распределение GIST по размерам
Рисунок 4.
Выживаемость больных GIST в зависимости от размеров опухоли без применения иматиниба.
Большой размер опухоли является плохим прогностическим фактором для больных опухолями ЖКТ (рис. 4), как по данным зарубежных авторов, так и по данным нашего исследования (χ2=10,59; df=1; р=0,0011). Однако в литературе описаны случаи метастазирования даже очень маленьких (менее 2см) гастроинтестинальных опухолей.
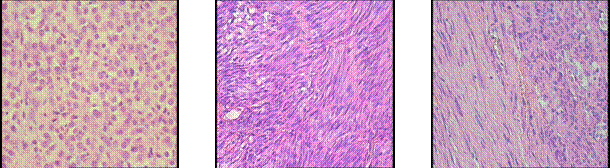
Стромальные опухоли чрезвычайно гетерогенны по морфологии (рис.5). Из 120 стромальных опухолей ЖКТ веретеноклеточный тип строения имели 58,3% опухолей (70/120), 15,0% - эпителиоидно-клеточный (18/120) и смешанный (веретеноклеточный и эпителиоидно-клеточный компоненты) - 26,7% (32/120). Обращает внимание высокая частота встречаемости опухолей со смешанным и эпителиоидно-клеточным типом строения, что, возможно, является особенностью российской популяции (табл.1).
Рисунок 5.
Гистологические варианты стромальных опухолей ЖКТ
(гематоксилин-эозин, х200).
Эпителиодный тип Веретеноклеточный тип Смешанный тип
Таблица 1.
Клеточный тип строения GIST различной локализации
Гистологический тип стромальных опухолей ЖКТ | Локализация стромальных опухолей ЖКТ (%) | |||
желудок | тонкая кишка | толстая кишка | экстраорганные | |
Веретеноклеточные | 50,0 | 59,6 | 100,0 | 66,7 |
Эпителиоидно-клеточные | 12,5 | 21,4 | 0 | 33,3 |
Смешанные | 37,5 | 19,0 | 0 | 0 |
В частности, только половина стромальных опухолей желудка имели веретеноклеточный тип строения, тогда как смешанный тип наблюдался в 37,5% случаев стромальных опухолей желудка, что значительно выше, чем описано в литературе. Среди стромальных новообразований тонкой кишки также преобладали опухоли с веретеноклеточным типом (59,6%). Однако в нашей выборке отмечается высокая частота опухолей тонкой кишки с эпителиоидно-клеточным (21,4%) и смешанным типом (19,0%).
Существует мнение, что гистологические особенности стромальных опухолей ЖКТ могут иметь независимое прогностическое значение, в частности, степень злокачественности выше у эпителиоидно-клеточных, чем у веретеноклеточных опухолей (Miettinen M. 2002, Singer S. 2002). Однако мы при сравнении выживаемости больных GIST в зависимости от клеточного типа строения опухоли (рис.5) достоверных различий не выявили (р=0,35).
Рисунок 6.
Выживаемость больных GIST в зависимости от типа клеточного строения опухоли.
Наличие очагов некроза в GIST по некоторым данным является одним из патологических факторов, который может влиять на прогноз (Wu T. J. 2006). Очаги некроза были обнаружены в 55,4% (45/77) стромальных опухолей ЖКТ, однако мы не выявили достоверных различий в выживаемости в зависимости от наличия некроза (р=0,7). Таким образом, наличие очагов некроза, вероятно, связано с большим размером опухолей и не является независимым прогностическим критерием для стромальных опухолей ЖКТ.
Одним из факторов прогноза стромальных опухолей признан митотический индекс, который определяется по количеству делящихся клеток в 50 полях зрения (ПЗ) при 400-кратном увеличении (M. Miettinen 2002). В нашем исследовании митотический индекс установлен для 98 образцов GIST, из них 38,8% имели низкий митотический индекс (менее 5 митозов в 50 ПЗ); 16,3% - средний (6-10 митозов в 50 ПЗ) и 44,9% - высокий (более 10 митозов в 50 ПЗ). Низкий митотический индекс свидетельствует о медленном росте опухоли, низком уровне прогрессии. Однако мы наблюдали случаи GIST с низким митотическим индексом в первичной опухоли, но при этом в метастазах количество митозов было более 10 в 50 полях зрения. Из этого следует, что низкий митотический индекс первичной опухоли не всегда является показателем благоприятного течения заболевания.
Таблица 2.
Митотический индекс стромальных опухолей ЖКТ различного размера.
Количество митозов в 50 полях зрения х400 | <2 см | 2-5 см | 6-10 см | 11-20 см | >20 см |
нет митозов | 1,6% | 0 | 0 | 0 | 0 |
< 5 | 0 | 15,6% | 14,0% | 7,8% | 0 |
6-10 | 1,6% | 7,8% | 6,3% | 7,8% | 1,6% |
> 10 | 0 | 4,7% | 12,5% | 14,0% | 4,7% |
Более 17% случаев стромальных опухолей размером до 5см имели низкий митотический индекс (менее 5 митозов в 50 полях зрения при 400-кратном увеличении), что подтверждает медленный рост опухоли и свидетельствует о низком уровне прогрессии. Однако низкий митотический индекс определялся и в опухолях более 5см. Это говорит о том, что такие новообразования могут расти очень медленно и бессимптомно. С ростом опухоли митотический индекс увеличивается (табл. 2). Выживаемость больных GIST до применения таргетной терапии в нашей выборке не зависит от количества митозов в 50 полях зрения при 400-кратном увеличении (р=0,8).
Степень злокачественности стромальных опухолей ЖКТ была оценена в 111 случаях по французской системе FNCLCC, которая учитывает дифференцировку опухоли (степень клеточной атипии, степень клеточности опухоли), число митозов в 10 полях зрения при 400-кратном увеличении (меньше 10 или больше 20) и очаги некроза. 21,6% (24/111) стромальных опухолей ЖКТ имели I степень злокачественности, 46,0% (51/111) – вторую и 32,4% (36/111) - третью степень злокачественности. Получены достоверные отличия в выживаемости больных GIST с различной степенью злокачественности по системе FNCLCC до применения иматиниба (рис. 7): уровень выживаемости достоверно снижается с увеличением степени злокачественности (χ2=13,04; df=2; р=0,0015).
Рисунок 7.
Выживаемость больных GIST в зависимости от степени злокачественности по системе FNCLCC.
Риск прогрессии заболевания для первичных стромальных опухолей ЖКТ, не имеющих метастазов, оценивали по системе М Миттенена, учитывающей размер, локализацию опухоли и митотическую активность клеток (Miettinen M. 2000).
Таблица 3.
Риск прогрессии стромальных опухолей ЖКТ различной локализации по М. Миттенену.
Риск | Желудок (n=45) | Тонкая кишка (n=22) | Толстая кишка (n=4) | Внеорганные (n=2) |
Очень низкий | 0,0% | 0,0% | 0,0% | 0,0% |
Низкий | 20,0% (9/45) | 27,3% (6/22) | 0,0% | 0,0% (0/2) |
Средний | 20,0% (9/45) | 27,3% (6/22) | 50,0% (2/4) | 0,0% (0/2) |
Высокий | 60,0% (27/45) | 45,4% (10/22) | 50,0% (2/4) | 100,0% (2/2) |
Для стромальных опухолей желудка высокий риск прогрессии наблюдался в 60,0% случаев, для опухолей кишечника – в 45,4% (табл. 3). Для внеорганных стромальных новообразований высокий риск прогрессии заболевания выявлен в 2 из 2 случаев, а для опухолей толстой кишки - в 2 из 4 случаев. Ни одной опухоли с очень низким риском прогрессии не обнаружено. Это подтверждает, что все исследованные стромальные опухоли ЖКТ являются злокачественными.
2. Иммуногистохимические особенности стромальных опухолей ЖКТ.
Ключевое место в диагностике стромальных опухолей ЖКТ занимает иммуногистохимическое исследование. Отличительным признаком этих новообразований от других мезенхимальных опухолей ЖКТ, является экспрессия маркера CD117 (KIT) при наличии гладкомышечного или нейрогенного иммунофенотипа.
Рисунок 8.
Иммуногистохимический профиль стромальных опухолей ЖКТ
![]() |
Экспрессия CD117 наблюдалась в 94,6% (99/105) стромальных опухолей желудочно-кишечного тракта. Экспрессия CD34 выявлена в 80,0% (72/90) случаев. В 69,8% (44/63) опухолей наблюдалась слабая и умеренная экспрессия гладкомышечного актина. 16,4% (11/67) опухолей слабо экспрессировали десмин, что свидетельствует об умеренной степени гладкомышечной дифференцировки. Экспрессия S-100 протеина выявлена в 47,4% (27/57) новообразований, виментина – в 98,6% (72/73). Проведенное иммуногистохимическое исследование не выявило статистически достоверной зависимости между особенностями экспрессии CD117, CD34, гладкомышечного актина, десмина и S-100 протеина, локализацией и биологическим потенциалом GIST в российской популяции. Иммуногистохимический профиль стромальных опухолей ЖКТ представлен на рисунке 8 и свидетельствует о гетерогенной природе стромальных опухолей ЖКТ, имеющих признаки гладкомышечной и/или нейрогенной дифференцировки клеток.
Прогнозировать течение заболевания можно по маркеру Ki-67, экспрессия которого характерна для быстро делящихся и опухолевых клеток (пролиферативный индекс Ki-67). Считают, что опухоли с высоким риском злокачественности имеют пролиферативный индекс более 10%. При иммуногистохимическом исследование экспрессии Ki-67 в 56 стромальных опухолях ЖКТ низкий пролиферативный индекс Ki-67 (экспрессия в ядрах менее 5% клеток) наблюдался в 37,5% (21/56) случаев GIST. В 50% (28/56) стромальных опухолей ЖКТ выявлен высокий пролиферативный индекс Ki-67 (экспрессия в ядрах более 10% клеток) и средний уровень пролиферации (5-10% окрашенных ядер) наблюдался в 12,5% (7/56) случаев GIST. Преобладали опухоли с высоким пролиферативным индексом Ki-67 (более 10%), что говорит о высоком уровне злокачественности этих новообразований и высоком риске прогрессии заболевания. Средняя продолжительность жизни больных GIST с высоким пролиферативным индексом до прогрессирования заболевания составила 17 месяцев. Низкая экспрессия Ki-67 была отмечена в случаях GIST c некрозом. Средняя продолжительность жизни больных GIST с низким уровнем пролиферации составила 24,8 мес. до появления признаков прогрессии, причем 27% больных не имели признаков прогрессии заболевания. Важным наблюдением является низкая экспрессия Ki-67 в первичной стромальной опухоли тонкой кишки (10% окрашенных ядер) и высокая (80% окрашенных ядер) в метастазе этого же больного.
3. Мутационный статус стромальных опухолей ЖКТ.
Проведен анализ мутаций в опухолевой ДНК от 120 больных GIST. Все препараты сначала тестировали на мутации в 11 экзоне гена c-Kit, которые наиболее распространены. В случае отсутствия мутаций в 11 экзоне c-Kit опухоли тонкой кишки тестировали на мутации в 9 экзоне c-Kit, а опухоли желудка - на мутации в 18 экзоне PDGFRА. Затем проводили поиск мутаций в 17 и 13 экзонах c-Kit и 14 и 12 экзонах PDGFRА.
Мутации 11 экзона гена с-Kit
В нашем исследовании 83 из 120 больных GIST имели мутации в 11 экзоне гена c-Kit. Мутации 11 экзона, кодирующего регуляторный подмембранный домен рецептора KIT, затрагивали кодоны с 550 по 586 и располагались кластерами. Делеции локализовались в 5’-конце и в центральной части экзона. Также в 5’-конце находились точечные замены. Дупликации встречались в 3’-конце 11 экзона.
Мы разделили больных GIST с мутациями в 11 экзоне на 4 группы в зависимости от типа и локализации мутации (рис.9). Делеции в 5’-конце 11 экзона являются наиболее частой мутацией (41,7%, 50/120) и затрагивают последовательность аминокислот 550-563, которая кодирует алифатическую a-спираль, подавляющую киназную активность рецептора KIT в отсутствии лиганда. Чаще всего это были короткие делеции без сдвига рамки считывания, либо со сдвигом рамки считывания, которые сопровождались замещением аминокислоты. Наиболее часто мутации затрагивают аминокислоты 557-558, по литературным данным опухоли с делециями двух кодонов W557K558 отличаются высоким метастазированием (Wardelmann E. 2003). Среди 34 больных GIST с делецией, затрагивающей кодоны 557-558, метастазы присутствовали у 17 больных (50%).
Опухоли с делециями в 5’-конце 11 экзона с-Kit. располагались в различных отделах ЖКТ, были в основном крупного размера (от 10 до 36см), веретеноклеточного (30/50) или смешанного (18/50) типа клеточного строения и высокой степени злокачественности. В 50% случаев GIST с такой мутацией имели метастазы и низкую выживаемость в отсутствии терапии иматинибом (рис.9). Однако, по данным литературы, именно опухоли с делециями в 11 экзоне с-Kit чувствительны к терапии иматинибом (Heinrich M. C. 2003).
Рисунок 9.
Группы мутаций 11 экзона гена с-Kit в стромальных опухолях ЖКТ



Рисунок 10.


Среди больных GIST с делециями в 5’-конце 11 экзона гена с-Kit была обнаружена крайне редкая делеция (рис. 11), которая начинается в 10 интроне (нарушает сайт сплайсинга) и захватывает кодоны K550-Kэкзона. Эта делеция была обнаружена при анализе свежей ткани рецидива и не выявлена при постановке ПЦР с ДНК, полученной путем микродиссекции среза первичной опухоли, так как зона посадки праймера, позволяющего получить более короткий продукт, была затронута делецией. У больного дважды возникали рецидивы и при последующей прогрессии обнаружены метастазы в печень и сальник. Стромальная опухоль имела смешанный тип клеточного строения и очень высокий митотический индекс: 25 митозов в 50 ПЗ при 400-кратном увеличении в первом рецидиве и 50 митозов в 50 ПЗ – во втором.
Рисунок 11.
Результат секвенирования ПЦР-продукта образца GIST #105.
(делеция начинается в 10 интроне и затрагивает начало 11 экзона гена с-Kit)
![]() |
Больные GIST с крупными делециями в центральной части 11 экзона гена с-Kit, включающей основные сайты аутофосфорилирования Y568 и Y570 составили 7,5% (рис.8). GIST c делециями центральной части 11 экзона встречались чаще у молодых мужчин (5 из 7 GIST, средний возраст 45,2 года), отличались высокой степенью злокачественности, характеризовались агрессивным клиническим течением (более чем в 50% случаев возникали метастазы и рецидивы) и невысокой выживаемостью (рис. 10). Две опухоли с делециями центральной части 11 экзона гена с-Kit не экспрессировали CD117.
Миссенс-мутации (точечные замены) обнаружены в 12,5% GIST в 5’-конце 11 экзона (W557, V559 и V560) (рис.9). В 7 случаях обнаружены замены в 559 положении рецептора: V559D - 3 случая, V559A и V559G по 2 случая. В 5 случаях, обнаружена точечная замена V560D, в одном W557. Опухоли с точечными заменами встречались преимущественно у женщин (12/15) и имели относительно благоприятное клиническое течение (лишь в 2 случаях возникли метастазы). Больные отличались высокой выживаемостью без терапии иматинибом (рис.10)
Нами обнаружена ранее не описанная мутация (рис. 12) в эпителиоидно-клеточной стромальной опухоли желудка у женщины 78 лет: замена двух аминокислот 557W-558K на 557C-558E в результате замены нуклеотидов в каждом из кодонов: G1692T (W→C) и A1693G (K→E).
Рисунок 12.
Результат секвенирования ПЦР-продукта 11 экзона гена с-Kit образца GIST #168
(замена двух нуклеотидов - двух кодонов)
![]() |

В 7,5% стромальных опухолей ЖКТ обнаружены дупликации нуклеотидов в 3’- конце 11 экзона гена c-Kit, что соответствует вставке 2-12 аминокислот. Большинство GIST были локализованы в желудке и чаще имели веретеноклеточный тип строения. По данным литературы, эти мутации возникают в опухолях желудка у пожилых женщин, однако, в нашем исследовании в 4 из 9 случаев дупликации обнаружены в GIST у мужчин. Следует отметить, что средний возраст женщин с дупликацией в 11 экзоне – 68 лет, а мужчин – 55 лет. Все опухоли с дупликацией в 3’-конце 11 экзона были первичными и не имели метастазов, а больные отличались высокой выживаемостью без терапии иматинибом (рис. 10).
При сравнении мутаций в участках опухоли смешанного типа клеточного строения и метастазах с разной морфологией, оказалось, что в клетках веретенообразной и эпителиоидно-клеточной морфологии у одного больного мутации одинаковы.
Таким образом, мутации в 11 экзоне гена c-Kit являются самыми распространенными в стромальных опухолях ЖКТ, отличаются гетерогенностью и коррелируют с клинико-морфологическими характеристиками. Делеции 11 экзона гена c-Kit встречаются в стромальных опухолях различной локализации, тогда как точечные замены и дупликации выявлены преимущественно в опухолях желудка (табл.5). Необходимо подчеркнуть, что именно больные GIST с точечными заменами и дупликациями имели более высокую выживаемость без применения иматиниба. Полученные данные по выживаемости больных GIST с различным типом мутаций 11 экзона гена c-Kit могут быть важны при рассмотрении вопроса о назначении адьювантной терапии.
Таблица 5.
Мутации 11 экзона гена c-Kit в стромальных опухолях ЖКТ различной локализации (n=83)
Стромальные опухоли ЖКТ | делеции | замены | дупликации |
желудок (51) | 32 (62,7%) | 11 (21,6%) | 8 (15,7%) |
тонкая кишка (24) | 21 (87,5%) | 2 (8,3%) | 1 (4,2%) |
толстая кишка (6) | 4 (66,7%) | 2 (33,3%) | 0 |
экстраорганные (2) | 2 (100%) | 0 | 0 |
Мутации 9 экзона гена с-Kit
Мутации в 9 экзоне гена с-Kit, кодирующем внеклеточный домен, обнаружены в 15 из ,5%) GIST и представляли собой типичную дупликацию 6 нуклеотидов, соответствующую вставке аминокислот A502-Y503. Мутации 9 экзона с-Kit характерны для опухолей тонкой кишки с веретеноклеточным типом строения, встречались чаще у женщин (9 из 15), средний возраст женщин несколько ниже (52,2 года), чем мужчин (56,3 года). Для лечения таких опухолей необходима двойная доза иматиниба или препарат сунитиниб (Heinrich M. C. 2003).
Нами обнаружен один случай мутации 9 экзона c-Kit стромальной опухоли желудка, что является достаточно редким наблюдением (рис. 13).
Рисунок 13.
Результат секвенирования ПЦР-продукта 9 экзона гена с-Kit образца GIST #126 с дупликацией шести нуклеотидов.
![]() |
Мутации 13 и 17 экзонов гена с-Kit
Стромальные опухоли ЖКТ с мутациями в 13 и 17 экзонах с–Kit, кодирующих тирозинкиназные домены 1 и 2, являются редкими (менее 1-2%) и не чувствительны к иматинибу. Мы обнаружили две стромальные опухоли желудка c мутациями в 13 экзоне с–Kit (1,7%, 2/120). Одна содержит типичную миссенс-мутацию K642E. Другая мутация обнаружена нами впервые: замена T632A (рис. 14) в опухоли желудка у женщины с предварительным диагнозом: лейомиома, шваннома или GIST. Обнаруженная нами мутация в 13 экзоне гена c-Kit, позволила поставить диагноз гастроинтестинальной стромальной опухоли.
Рисунок 14.
Результат секвенирования образца GIST #80 (не описанная ранее точечная замена T632A).

Мутация в 17 экзоне c-Kit (точечная замена D820V) обнаружена в первичной веретеноклеточной опухоли желудка с метастазами в печень (рис. 15). Такая мутация редко встречается в первичных опухолях и определяет устойчивость опухоли к иматинибу.
Рисунок 15.
Результат секвенирования образца GIST #90 (редкая точечная замена D820V).
Таким образом, среди образцов с мутациями гена c-Kit, нарушения в 11 экзоне обнаружены в 84,2% (101/120) стромальных опухолей ЖКТ. Мутации 9 экзона выявлены в 12,5% (15/120). Обнаружены редкие первичные мутации в 13 и 17 экзонах гена с-Kit.
Кроме того, нами проведено исследование вторичных мутаций в 17 и 13 экзонах гена c-Kit в шести случаях GIST после таргетной терапии иматинибом (табл. 6). По литературным данным у 50% больных после терапии иматинибом возникает устойчивость в результате появления вторичных мутаций в 13 и 17 экзонах гена c-Kit (Antonescu C. R. 2005) .
Таблица 6.
Стромальные опухоли ЖКТ с вторичными мутациями гена с-Kit
№ | Локализация опухоли | Гистологический тип | Первичная мутация | Вторичная мутация | Выживаемость до рецидива |
3 | тонкая кишка | веретеноклеточный | Del557W | D820F | 7 месяцев |
88 | желудок | смешанный | Del 557-560 WKVV →F | Ex17 - N Ex 14 N | 24 месяца |
105 | желудок | смешанный | Del 550К-558К | N822K | 17 месяцев |
127 | тонкая кишка | смешанный | Del559V | Ex13-N Ex17- N | 12 месяцев |
174 | тонкая кишка | веретеноклеточный | Del552-553 MY | S821C | 10 месяцев |
208 | тонкая кишка | смешанный | V559D | D816H | 15 месяцев |
Все вторичные мутации, обнаруженные в 17 экзоне гена с-Kit, являются точечными заменами в кодонах D816, D820, N822. Однако в случае #174 нами была обнаружена вторичная мутация – замена С1969G, что соответствует замене S821C на белковом уровне. Данная мутация не описана в литературе.
Таким образом, среди образцов с мутациями гена c-Kit, нарушения в 11 экзоне обнаружены в 84,2% (101/120) стромальных опухолей ЖКТ. Мутации 9 экзона выявлены в 12,5% (15/120). Также обнаружены редкие первичные мутации в 13 и 17 экзонах гена с-Kit .
Мутации гена PDGFRA
Мутации в 18 экзоне PDGFRA обнаружены в 9,2% GIST (11/120) и чаще встречались у мужчин в 8/11 (73%). Обращает внимание большая разница в возрасте у мужчин (67,9 лет) и женщин (45,7 лет) с мутациями в 18 экзоне PDGFRA. Большинство GIST с мутациями PDGFRA были от 6 до 10см, с низким митотическим индексом и I степенью злокачественности по французской системе FNCLCC.
В шести GIST выявлены различные делеции в области, кодирующей аминокислоты D842-D846. Наиболее распространенная точечная мутация, приводящая к замене D842V (рис. 15), которая описана в 5% всех случаев GIST (Lasota J. 2004), обнаружена нами лишь в трех (2,5%) опухолях желудка эпителиоидно-клеточного типа строения. По литературным данным, эта мутация обуславливает резистентность к таргетной терапии иматинибом.
Мутации в 12 и 14 экзонах PDGFRA встречаются крайне редко (0,2% случаев) и нами не обнаружены.
Рисунок 15.
Результат секвенирования ПЦР-продукта 18 экзона гена PDGFRA образца GIST # 147 (типичная точечная замена А→Т, на белковом уровне D842V).
![]() |
Необходимо отметить, что мутации в гене рецептора тромбоцитарного фактора роста (PDGFRA) редко встречаются в стромальных опухолях тонкой кишки. Нами обнаружена делеция в 18 экзоне гена PDGFRA в стромальной опухоли тонкой кишки с веретеноклеточным типом строения.
Стромальные опухоли ЖКТ содержащие с-Kit и PDGFRA дикого типа
Гены с-Kit и PDGFRA дикого типа выявлены в 8 случаях стромальных опухолей ЖКТ (6,7%) с различными клинико-морфологическими характеристиками. Среди них важно отметить два случая редких наблюдений: стромальную опухоль желудка у больной с триадой Карнея и стромальную опухоль тонкой кишки у больного с нейрофиброматозом. Кроме того, обнаружена стромальная опухоль желудка с с-Kit и PDGFRA дикого типа у молодой девушки, что характерно для стромальных опухолей детей. Основное свойство, отличающее стромальные опухоли ЖКТ с диким типом c-Kit и PDGFRA от других сарком ЖКТ – экспрессия KIT (СD117) в отсутствии мутации этих генов, 5 из 8 случаев GIST экспрессировали CD117. Возможно, из-за небольшого количества случаев нам не удалось выявить клинико-морфологические закономерности, характерные для этой группы опухолей, которая отличается высокой гетерогенностью.
При сравнении выживаемости больных в зависимости от локализации мутации генов c-Kit (11 экзон), PDGFRA и дикого типа до применения таргетной терапии достоверных различий не выявлено (рис.17). Однако наблюдается тенденция более высокой выживаемости больных GIST с мутацией гена PDGFRA.
Рисунок 17.
Выживаемость больных GIST в зависимости от локализации мутации в генах с-Kit и PDGFRА без применения иматиниба


В заключение необходимо отметить, что стромальные опухоли чрезвычайно гетерогенны по клинико-морфологическим данным и отличаются генетической вариабельностью. Полученные нами результаты по анализу мутаций генов c-Kit и PDGFRA в 120 образцах GIST суммированы в таблице 7.
Таблица 7.
Частота мутаций генов c-Kit и PDGFRA в 120 GIST
Локализация GIST | Мутации гена с-Kit | Мутации гена PDGFRA | Дикий тип |
Желудок n=67 | 82,1% (55/67) | 13,4% (9/67) | 4,5% (3/67) |
Тонкая кишка n=43 | 88,4% (38/43) | 2,3% (1/43) | 9,3% (4/43) |
Толстая кишка n=6 | 100% (6/6) | 0% (0/6) | 0% (0/6) |
GIST неизв. первич. локализации n=4 | 50% (2/4) | 25% (1/4) | 25% (1/4) |
Всего: | 101 | 11 | 8 |
Мутации гена c-Kit выявлены в 83,3% (101/120) GIST и характерны для GIST различной локализации. Нарушения в гене PDGFRA обнаружены в 9,2% (11/120) и характерны для стромальных опухолей желудка, однако в нашей популяции встречались исключения, такие как GIST тонкой кишки веретеноклеточного типа строения с мутацией в 18 экзоне гена PDGFRA. Также редким наблюдением является дупликация в 9 экзоне в стромальной опухоли желудка. Остальные 8 случаев GIST различной локализации (6,7%) не содержали мутаций в генах с-Kit и PDGFRA.
Необходимо отметить, что 5,4% GIST при иммуногистохимическом исследовании были CD117 – отрицательны, однако эти GIST имели мутации в с-Kit или PDGFRA.
Полученные данные подтверждают гетерогенность стромальных опухолей ЖКТ по клинико-морфологическим и молекулярно-генетическим характеристикам и свидетельствуют о существовании корреляции между типом мутации и клинико-морфологическими параметрами GIST, поэтому определение мутаций с-Kit и PDGFRA является важной характеристикой GIST, необходимой для уточнения прогноза и предсказания эффективности таргетной терапии.
Выводы:
1. Выявлены клинико-морфологические особенности стромальных опухолей ЖКТ в России: преобладание стромальных опухолей у женщин, высокая частота опухолей с эпителиоидным и смешанным типом клеточного строения. Выживаемость больных стромальными опухолями ЖКТ зависит от локализации (р=0,016), размера опухоли (р=0,0013) и степени злокачественности по системе FNCLCC (р=0,0015).
2. Впервые в России проведен анализ мутаций в ДНК из 120 стромальных опухолей ЖКТ: мутации гена с-Kit выявлены в 83,3% GIST, гена PDGFRA – в 9,2% GIST, в 6,7% стромальных опухолей ЖКТ мутации генов с-Kit и PDGFRA не обнаружены.
3. Наиболее часто в стромальных опухолях различной локализации встречаются мутации в 11 экзоне гена c-Kit (68,3%), мутации 9 экзона выявлены в 14,9% опухолей, преимущественно тонкой кишки, мутации в 13 и 17 экзонах гена с-Kit - в трех опухолях желудка.
4. Мутации 11 экзона гена с-Kit представлены делециями (41,7%, 50/120) и точечными заменами на 5’-конце (12,5%, 15/120). В отдельную группу выделены стромальные опухоли ЖКТ с делециями в центральной части 11 экзона с-Kit (7,5%, 9/120), которые отличаются высокой злокачественностью и низким уровнем экспрессии маркера CD117. Дупликации на 3’-конце 11 экзона ЖКТ (7,5%, 9/120) впервые обнаружены не только в стромальных опухолях желудка у женщин пожилого возраста, но и у мужчин.
5. Мутации гена PDGFRA (делеции и точечные замены) обнаружены исключительно в 18 экзоне в 9,2% (11/120), преимущественно в стромальных опухолях желудка с эпителиоидным типом клеточного строения, обращает внимание низкий процент замен D842V (2,5%, 3/120).
6. Выявлены ранее неописанные (точечные замены в 11, 13 экзонах с-Kit и 18 экзоне PDGFRA), а также редкие мутации (делеция интрона 10 – экзона 11 гена с-Kit, дупликация 9 экзона с-Kit в стромальной опухоли желудка и другие).
7. Оценка выживаемости больных стромальными опухолями ЖКТ до терапии иматинибом показала наиболее высокую выживаемость у больных с мутациями гена PDGFRA. Среди больных с мутациями гена с-Kit наилучшая выживаемость у больных с дупликациями и точечными заменами 11 экзона, тогда как делеции 11 экзона и мутации 9 экзона гена с-Kit коррелируют с плохим прогнозом.
Список работ, опубликованных по теме диссертации.
С-KIT в молекулярной диагностике злокачественных новообразований / , , ., и др.: Материалы IV съезда онкологов и радиологов СНГ, 28 сентября -01октября 2006г. Баку – 2006. - С.123-125. Онкоген KIT в диагностике и терапии злокачественных новообразований человека / , , , и др.: Материалы всероссийской научной конференции “Перспективные направления использования лабораторных приматов в медико-биологических исследованиях”, 8-10 июля 2006г. Coчи 2006. – С. 173-176. Мутационный статус KIT и PDGFRa в стромальных опухолях желудочно-кишечного тракта / , , , , и др.: Тезисы X Российского онкологического конгресса, 21-23 ноября 2006 г. Москва 2006г. - С. 210. Mazurenko, N. N. С-KIT analysis for molecular diagnostics of human malignancies. / N. N. Mazurenko, I. S. Beliakov, I.V. Tsiganova и др. // AIDS, cancer and public health. – 2006. - №2, – Р. 57-58. Beliakov, I. S. Variations in KIT and PDGFRA mutations in gastrointestinal stromal tumors. / I. S. Beliakov, I.V. Tsiganova, I. M. Gagarin, O. A. Anurova и др. // Eur. J. of Cancer. – 2007. - № 4, – Р. 270-271. Беляков, генов с-Kit и PDGFRA и клинико-морфологические особенности стромальных опухолей желудочно-кишечного тракта. / , , и др. // Вопросы онкологии. – 2007. - №6, - С. 677-681. Mazurenko, N. N. Different types of KIT and PDGFRA mutations in gastrointestinal stromal tumors. / N. N. Mazurenko, I. S. Beliakov, I.V. Tsiganova, O. A. Anurova и др. // The FEBS Journal. – 2007. - № 000, РЦыганова, И. В. Определение мутаций генов с-kit и PDGFRA в архивных материалах гастроинтестинальных стромальных опухолей. / , , , // Вопросы онкологии. – 2008. - №54, - Р. 32. Потеря гетерозиготности как маркер прогрессии стромальных опухолей ЖКТ / , , , и др.: Тезисы XII Российского онкологического конгресса, 18-20 ноября 2008г. Москва 2008. - С.182. Мутации генов KIT и PDGFRА в стромальных опухолях желудочно-кишечного тракта. / , , , и др.: Тезисы XII Российского онкологического конгресса, 18-20 ноября 2008г. Москва 2008. - С.187. KIT and PDGFRA mutation analysis in gastrointestinal stromal tumors from Russian patients. / N. N. Мazurenko, I. S.Beliakov, I.V.Tsyganova, I. M.Gagarin : UICC World Cancer Congress 27-31 August 2008. Geneva 2008, PUB-385. Mazurenko, N. N. Mutations in the receptor tyrosine kinases in gastrointestinal stromal tumors from Russian patients. / N. N. Mazurenko, I. S. Beliakov, I.V. Tsyganova, I. M. Gagarin // Eur. J. Cancer№6, Р.- 114. Цыганова, И. В. Клинико-морфологические особенности и мутации рецепторных тирозинкиназ в стромальных опухолях ЖКТ. / , , , // Вопросы онкологии. – 2№ 55, C.-38. Бардина, нарушения в стромальных опухолях ЖКТ. / , , И. В. Цыганова, и др. // Вопросы онкологии. – 2№ 55, C.- 5-6. Molecular genetic analysis of gastrointestinal stromal tumors. / N. N. Mazurenko, I. S. Beliakov, I. V. Tsyganova, I. M. Gagarin et al.: Abstract Book, The institute of Cancer Research Centenary Conference 8-10 June 2009, London 2009, Р.- 43. Mazurenko, N. N. Analysis of KIT and PDGFR-α mutations and microsatellite DNA alterations in gastrointestinal stromal tumors. / N. N. Mazurenko, E. M. Bardina, I. S. Beliakov, I. V. Tsyganova et al. // Eur. J. Cancer№2, Р.- 403. Морфологические и генетические факторы прогноза гастроинтестинальных стромальных опухолей. / , , , // Вопросы онкологии. – 2010. - № 56, C.-52.Подписано в печать 15.07.2010г. Формат 60х84/16 Заказ № 000
Отпечатано на участке множительной техники РОНЦ РАМН им. РАМН
Москва, Каширское ш., 24








