На правах рукописи
ВАСИЛЕНКО
Людмила Николаевна
КЛИНИКО-МОРФОЛОГИЧЕСКИЕ ОСОБЕННОСТИ ЛЕЙОМИОМЫ МАТКИ С БЫСТРЫМ РОСТОМ УЗЛОВ У ЖЕНЩИН РЕПРОДУКТИВНОГО ВОЗРАСТА
14.01.01- акушерство и гинекология
14.03.02 - патологическая анатомия
АВТОРЕФЕРАТ
диссертации на соискание ученой степени
кандидата медицинских наук
Омск – 2010
Работа выполнена в Государственном образовательном учреждении высшего профессионального образования «Омская государственная медицинская академия» Федерального агентства по здравоохранению и социальному развитию
Научные руководители:
доктор медицинских наук, доцент
кандидат медицинских наук, доцент
Официальные оппоненты:
доктор медицинских наук, доцент
ГОУ ВПО «Омская государственная медицинская академия»
Федерального агентства по здравоохранению и социальному развитию
доктор медицинских наук, профессор
ГОУ ВПО «Новосибирский государственный медицинский университет» Федерального агентства по здравоохранению и социальному развитию
Ведущая организация: ГОУ ВПО «Челябинская государственная медицинская академия» Федерального агентства по здравоохранению и социальному развитию
Защита диссертации состоится ____ ________________ 2010 года в ____ часов на заседании диссертационного совета Д.208.065.01 при ГОУ ВПО «Омской государственной медицинской академии» Федерального агентства по здравоохранению и социальному развитию Омск, ул. Ленина, 12.
С диссертацией можно ознакомиться в библиотеке Омской государственной медицинской академии Омск, а с авторефератом на сайте академии www. *****
Автореферат разослан ____ ______________ 2010 г.
Ученый секретарь диссертационного совета
Общая характеристика работы
Актуальность проблемы. Несмотря на многочисленные исследования отечественных и зарубежных авторов, посвященных изучению лейомиомы матки, проблема до настоящего времени остается недостаточно решенной. Частота лейомиомы матки среди других гинекологических заболеваний колеблется от 20 до 44%, а в 13,3-27,0% случаев наблюдается в репродуктивном возрасте [, 2010; Di Lieto A. et al., 2005].
За последние годы в различных публикациях появились данные об «омоложение» заболевания, так как средний возраст выявления этой патологии в женской популяции составляет 32,8 ± 0,47 года, в то же время показания к активному хирургическому лечению возникают в старшей возрастной группе - 44,4 ± 0,29 года [, 2004; Marret H et al., 2005].
Проблема приобретает все большую значимость в связи с появившейся тенденцией к позднему планированию беременности (после 35 лет), когда значительно повышается риск возникновения лейомиомы матки, эндометриоза и воспалительных заболеваний органов малого таза, как основных причин неудач в реализации репродуктивной функции [, 2005.; Carpenter T. T. ,2005].
Принято считать, что быстрый рост лейомиомы матки сопровождается ее увеличением в течение каждого календарного года на 2-3 недели беременности или 2 см в год [, 2004]. По мнению [2004] быстрый рост лейомиомы матки может быть истинным (за счет пролиферации мышечных волокон) и ложным (за счет вторичных изменений и отека узла).
По данным различных авторов [, 2006; А и др., 2009] удельный вес миомэктомий исчисляется десятыми долями процента от числа операций, производимых, по поводу лейомиомы, что, по мнению и соавт. [2004], неоправданно мало и требует расширения показаний в целях восстановления и сохранения генеративной функции у женщин фертильного возраста. Незначительная доля органосохраняющих оперативных вмешательств во многом объясняется технической сложностью выполнения консервативной миомэктомии, а также монофункциональным отношением к матке большинства врачей.
Тем не менее, при выполнении миомэктомии с целью реализации репродуктивной функции в течение первого года послеоперационного периода отмечаются рецидивы этого заболевания, сопровождающиеся быстрым ростом лейомиоматозных узлов [, 2005; и др., 2007].
Принимая во внимание вышеизложенные факты, подход к ведению женщин фертильного возраста с лейомиомами матки с быстрым ростом узлов имеет большую научную и практическую значимость.
Цель исследования: улучшить результаты лечения пациенток репродуктивного возраста с лейомиомами матки, имеющих быстрый рост узлов на основе клинико-морфологических особенностей данной патологии.
Задачи исследования
1. Проанализировать клиническое течение лейомиом матки с быстрым ростом узлов у женщин репродуктивного возраста на современном этапе, их влияние на репродуктивные возможности женщин.
2. Оценить сонографические характеристики лейомиом матки с быстрым ростом узлов у женщин репродуктивного возраста и определить особенности кровотока в узлах.
3. Изучить концентрацию половых гормонов в локальном кровотоке миоматозных узлов при лейомиоме матки с быстрым ростом.
4. Выявить особенности экспрессии рецепторов к эстрогену и прогестерону в лейомиоматозных узлах с быстрым ростом.
5. На основании оценки кровотока, концентрации гормонов и рецепторов в миоматозных узлах разработать подходы к ведению пациенток фертильного возраста с лейомиомами матки, имеющих быстрый рост, для сохранения репродуктивной функции.
Научная новизна работы
На основе изучения сонографических исследований с применением допплерометрии в доминантных лейомиоматозных узлах с быстрым ростом выявлено два типа кровотока (узловой и капсульный), с медленным ростом – точечный.
В зависимости от экспрессии прогестероновых рецепторов в лейомиоматозных узлах и близлежащем миометрии выявлена местная гормонемия в локальном узловом кровотоке за счет преобладания прогестерона.
Предложенный подход к ведению пациенток с лейомиомами матки с быстрым ростом узлов на основе изучения кровотока, концентрации половых гормонов и рецепторов в миоматозных узлах позволяет улучшить результаты лечения для сохранения репродуктивной функции и уменьшить число рецидивов заболевания.
Практическая значимость
Разработанный подход на основе клинико-лабораторных, ультразвуковых, иммуногистохимических исследований ткани миоматозных узлов с быстрым ростом у женщин репродуктивного возраста позволяют определить тактику ведения пациенток, снизить количество рецидивов, улучшить результаты прегравидарной подготовки.
Внедрение результатов исследования
Теоретические и клинические положения диссертационного исследования внедрены в работу женских консультаций и гинекологических отделений стационаров г. Омска.
Положения диссертации, выносимые на защиту:
1. У женщин репродуктивного возраста с лейомиомами матки с быстрым ростом узлов в общем симптомокомплексе жалоб доминирует отсутствие беременности при регулярной половой жизни без контрацепции. Лейомиоматозные узлы с быстрым ростом характеризуются наличием узлового или капсульного типов кровотока, с медленным ростом – точечным.
2. Особенностями лейомиом с быстрым ростом узлов в репродуктивном возрасте является наличие в них высокого уровня экспрессии рецепторов к прогестерону и повышенного по сравнению с окружающим миометрием уровня экспрессии α-рецепторов к эстрогену, что в условиях локальной гиперпрогестеронемии обеспечивает высокую пролиферативную активность в миоматозных узлах.
3. Патогенетически обоснован подход к ведению пациенток с лейомиомами матки с быстрым ростом узлов, основанный на данных допплерометрии, иммуногистохимии, определения уровня половых гормонов в сосудах миоматозных узлов, что позволило сохранить репродуктивную функцию и уменьшить число рецидивов заболевания.
Апробация работы
Основные положения диссертации и результаты исследования представлены на межрегиональной научно-практической конференции «Актуальные вопросы акушерства и гинекологии Западно-Сибирской железной дороги», Омск, 2006; межрегиональной научно-практической конференции «Актуальные вопросы акушерства и гинекологии в постдипломном образовании врача», Челябинск, 2007; XII Международной научной конференции и III Международной научной онкологической конференции, г. Эйлат, Израиль, 2008; IV съезде акушеров-гинекологов России, Москва, 2008; заседаниях ассоциации акушеров-гинекологов Омской области.
Публикации
По материалам диссертации опубликовано 5 печатных работ, в том числе 1 в изданиях рекомендованных ВАК.
Объем и структура диссертации
Диссертация изложена на 142 страницах машинописного текста, содержит таблиц, рисунков. Состоит из введения, обзора литературы, главы материалов и методов исследования, главы собственных исследований, обсуждения результатов исследования, выводов, практических рекомендаций, списка литературы. Список литературы включает 234 источников, из них 112 отечественных и 122 зарубежных автора.
СОДЕРЖАНИЕ РАБОТЫ
Материалы и методы исследования
Настоящая работа выполнена на базе гинекологического отделения ОКБ на станции Омск , второго гинекологического отделения МУЗ МСЧ №9, клинико-диагностической лаборатории «Омтест», кафедре патологической анатомии с курсом клинической патологии ОмГМА.
Для решения поставленных задач обследованы 280 больных с лейомиомами матки репродуктивного возраста. Основную группу составили 238 пациенток с лейомиомами матки с быстрым ростом узлов, требующих оперативного лечения. В качестве контрольной группы были выбраны 27 больных репродуктивного возраста с медленнорастущими лейомиомами матки, которая была разделена на 2 подгруппы: 13 - с малыми размерами, требующие консервативных методов лечения и 14 – со средними и большими размерами доминантных узлов, требующие оперативного лечения. Группу сравнения составили 15 пациенток с лейомиомой матки малых размеров, которым проводилась стандартная схема обследования (без допплерометрии) и лечения. Исследование было проведено в дизайне когортного открытого контролируемого (рис.1).
Критериями включения в основную явились: репродуктивный возраст женщин (до 45 лет), давность заболевания лейомиомой матки до 2 лет, отсутствие сопутствующей гормоноактивной гинекологической патологии, отсутствие беременности у пациенток, количество удаляемых узлов не более 11, диаметр доминантного узла более 4 см и рост узла более 2см в год.
Критерии исключения из основной группы: возраст пациенток старше 45 лет, давность заболевания более 2 лет, наличие сопутствующей гормоноактивной патологии (опухоли яичников, генитального эндометриоза), наличие беременности у пациенток, диффузный вариант лейомиомы матки, рост узла менее 2см в год, диаметр доминантного узла менее 1см и и более 20 см.
Критериями включения в контрольную группу послужили женщины репродуктивного возраста до 45 лет с лейомиомами матки с медленным ростом узлов, давность заболевания более 2 лет.
Критериями исключения из группы контроля были: поздний репродуктивный возраст старше 45 лет, давность заболевания менее 2 лет.
Критериями включения в группу сравнения были возраст пациенток до 45 лет, размеры миоматозных узлов от 1 до 3 см, длительность заболевания до 2 лет.
Критериями исключения из группы сравнения были: возраст пациенток старше 45 лет, давность заболевания более 2 лет, наличие сопутствующей гормоноактивной патологии, наличие беременности у пациенток, диффузный вариант лейомиомы матки, диаметр доминантного узла менее 1см.
Методы исследования:
1. Клинико-анамнестический метод: собрана информация о семейном, наследственном анамнезе, трудовой деятельности, образовании, перенесенных заболеваниях, менструальной функции, уточнены течение и исход предыдущих беременностей.
2. Инструментальные методы: ультразвуковое исследование органов малого таза выполнено с использованием импульсно-волновой допплерометрии сосудов матки и миоматозных узлов в режимах 3D и 4D на аппарате Volusson 730 –Эксперт.
3. Половые гормоны в периферической крови и крови миоматозных узлов определялись методом иммохемилюминесцентного анализа на реактивах производства компании DPC на автоматическом анализаторе IMMULITE-2000,
4. Морфологический раздел работы выполнен на кафедре патологической анатомии c курсом клинической патологии ОмГМА (зав. кафедрой – доктор медицинских наук, профессор ).
Операционный материал – удаленные миоматозные узлы, близлежащий миометрий в зоне миомэктомии перед помещением в фиксатор (10%-й формалин на фосфатном буфере при рН=7,2-7,4) надрезали через каждые 4-5 мм для обеспечения адекватного проникновения в ткань формалина. Вырезку 2 кусочков из центра и из периферических отделов узла и близлежащего миометрия проводили через 5-8 часов после забора материала и доставки его в лабораторию. Толщина кусочков ткани составляла 2-3 мм. Общая продолжительность фиксации была не более 18-24 часов. Перед проводкой материал помещали в гистологические кассеты Paraform (Sacura, Япония) и TurboFlow (Microm, Германия). Далее материал обезвоживали в абсолютном изопропиловом спирте и пропитывали парафином в гистологическом аппарате карусельного типа STP-120 (Microm, Германия). Заливку ткани проводили с использованием модульной станции EC–350-1 (Microm, Германия). Для гистологической резки объектов применяли ротационные микротомы-полуавтоматы HM-335 и HM-340E, последний c системой водного переноса срезов STS (Microm, Германия).
С парафиновых блоков готовили серийные срезы толщиной 4 мкм. Для окрашивания микропрепаратов применяли растворы красителей, приготовленные по общепринятым прописям ( 1962; , 1969; , , 2000). С целью проведения обзорной микроскопии материала применяли окраску гематоксилином и эозином. Для определения соединительной ткани применяли окраску пикрофуксином по Ван Гизону.
Иммуногистохимические реакции проводили на парафиновых срезах с применением стрептавидин-биотинового метода. В качестве первичных антител использовали мышиные моноклональные антитела к a-рецепторам к эстрогену (клон 1D5, “DAKO”, Дания), рецепторам к прогестерону (клон PgR 636, “DAKO”, Дания) и Ki-67 (клон MIB-1, “DAKO”, Дания). Применяли систему детекции LSAB2 (“DAKO”, Дания), хромогеном являлся диаминобензидин. Все моноклональные антитела были предназначены для работы на парафиновых срезах, имели маркировку RTU (ready to use) – готовые к использованию без предварительного разведения. Срезы помещали на предметные адгезивные стекла Polysine («Menzel», Германия). После тщательного высушивания стекла депарафинировали в 3 сменах ксилола по 10 минут в каждом с последующей регидратацией последовательно в 950, 800, 700 этаноле до дистиллированной воды. По окончании этапа регидратации и отмывки в растворе трис–буфера (рН=7,2-7,4), приступали к иммуногистохимическому исследованию. Для демаскировки антигенов применяли процедуру кипячения на водяной бане в течение 1 часа при использовании цитратного буфера (рН=6,0). После отмывки в буфере наносили пероксидазный блок в течение 5 минут. По окончании инкубации и отмывок в буфере на препарат наносили блокирующий неспецифическое связывание протеин-блок, а затем моноклональные антитела (инкубация с антителами в течение 40 минут при t = 370C). После окончания инкубации препараты тщательно отмывали с трис-буфере (рН=7,2-7,4), обрабатывали вторичными биотинилированными антителами и затем комплексом стрептавидин-пероксидаза (каждый этап 20 мин при t=370C), входивших в систему детекции. После тщательной отмывки трис-буфером срезы обрабатывали хромогенным субстратом (3,3-диаминобензидин в буферном растворе). Препараты докрашивали гематоксилином Майера в течение 30 секунд. Затем препараты дегидратировали в спиртах, осветляли в 2 объемах ксилола, и заключали в монтирующую среду (Shandon Mount, США) под покровное стекло.
Использование каждого вида антител сопровождалось постановкой контрольных реакций на серийных срезах. Иммуноморфологическую оценку препарата начинали с просмотра негативного контроля. В случае отсутствия окрашивания, в том числе и фонового, приступали к анализу исследуемого материала.
Индексы экспрессии рецепторов к прогестерону и эстрогену, а также индекс пролиферации (маркер K-67) определяли как процент позитивно меченых ядер гладкомышечных клеток в исследуемом материале, при подсчете не менее чем 1000 клеток. Подобный способ нахождения индексов экспрессии был обусловлен его широким применением в исследованиях других авторов […], различий в интенсивности окрашивания иммуногистохимической метки выявлено не было, поэтому данный параметр не оценивался.
Просмотр и фотографирование микропрепаратов осуществляли с использованием микроскопа Axioskop 40, цифровой камеры AxioCam MRc5 c программой компьютерной обработки изображений AxioVision 4.6.3 (Carl Zeiss, Германия).
5. Забор материала для гистологического и иммуногистохимического исследования осуществлялся в асептических условиях, интраоперационно из сосудов миоматозных узлов. В исследумом материале определялись половые гормоны. Для иммуногистохимического анализа биопсийного материала взяты послойные срезы тканей миоматозных узлов и близлежащего миометрия.
6. Расчет минимального числа пациентов для иммуногистохимического исследования в выборке производился исходя из предполагаемых как значимые отличий между лейомиомами с быстрым и медленным ростом узлов. Помимо эстроген-зависимого роста большое значение придавалось повышенному уровню прогестерона в локальном кровотоке. Это позволило нам сделать предположение, что при повышенной концентрации прогестерона пролиферативная активность в лейомиомах будет выше с наименьшей значимой разницей в 50%. При этом, наименьшее значение индекса пролиферации (процент Ki-67 позитивных клеток) по данным предварительно проведенного пилотного исследования 12-ти образцов ткани миоматозных узлов составило 1%, что позволило приравнять его к значению переменной интереса в группе с ожидаемым меньшим значением показателя (концентрация прогестерона в локальном кровотоке в пределах нормы). По номограмме Альтмана линия, соединяющая значение стандартизованной разности 1,15 и мощности 80% пересекают ось объема выборки в точке со значением 24 при уровне значимости 0,05, указывая на N/2 наблюдений (12) в каждой из сравниваемых групп. Таким образом, необходимо минимальное наличие 12-ти пациентов в каждой из сравниваемых групп, чтобы иметь 80%-й шанс обнаружения значимой разницы при 5%-м уровне значимости.
7. Статистические методы: математическая обработка данных проведена с использованием пакета прикладных программ Statistcia 6,0 и программы «Биостатистика». При анализе полученных данных были применены описательной статистики (среднее значение М, стандартное отклонение σ, стандартная ошибка m). Учитывая альтернативный характер распределения, использованы медиана (Ме), 25 и 75 перцентиль (нижний квартиль и верхний квартиль). Для расчета достоверности различий применялись непараметрические критерии (Манна-Уитни, Вилкоксона, Хи-квадрат, ранговый критерий Краскелла-Уоллеса). Для выявления связи между возрастом наступления менархе и давностью заболевания, диаметром узла и размерами матки – корреляционно-регрессионный анализ по Спирмену (коэффициент ранговой корреляции r). При проведении статистического анализа из расчетов были исключены наблюдения с аномальными значениями показателей («правило трех сигм»). Расчет объема выборки произведен с использованием номограммы Альтмана. Достоверным считали различие между сравниваемыми рядами с уровнем доверительной вероятности 0,95 (95%) и выше [. 2003]
Выполненная работа не ущемляла права и не подвергала опасности субъектов исследования в соответствии с требованиями биомедицинской этики, утвержденной Хельсинской декларацией Всемирной Медицинской ассоциации (2000). От всех пациентов было получено информированное согласие на проведение и диагностических и лечебных мероприятий.
|

РЕЗУЛЬТАТЫ ИССЛЕДОВАНИЯ И ИХ ОБСУЖДЕНИЕ
В нашей клинике за анализируемый период с 2001 по 2008 гг. находилось на обследовании и лечении 5675 пациенток с лейомиомой матки. Из них подлежало оперативному лечению 2213 пациенток, что составило 39,0 %.
По данным различных авторов, средний возраст выявления лейомиомы матки составляет 32-33 года, пик заболеваемости приходится на 35-45 лет. Так как развитие опухоли в среднем занимает 5 лет, можно полагать, что дебют заболевания лейомиомой матки приходится на 30 лет. При оценке возрастного аспекта пациенток основной группы нами была отмечена высокая частота больных в возрасте 31-35лет - 59,7 %, 36-45 лет - 19,3% и в возрастном промежутке 16-25 лет было 11,0 % женщин. Средний возраст больных с лейомиомой матки с быстрым ростом узлов составил 33,07±0,35.
Анализ социального статуса показал, что в основной группе в 59,2% случаев больные являлись служащими, домохозяйками – в 21,5% и в 19,3% были рабочими. Таким образом, служащие преобладали в сравнении с домохозяйками (χ2 с поправкой Йетса 77,83 р=0,00) и рабочими χ2 с поправкой Йетса 69,15 р=0,000). При этом достоверной разницы количества рабочих и домохозяек не выявлено (χ2 с поправкой Йетса 0,21 р=0,6 ).
При изучении становления менструальной и репродуктивной функции в основной группе пациенток выявлено, что чаще наступление менархе было в возрасте 14 лет, при этом средний возраст менархе составил 13,60±0,08 лет. Была отмечена регулярность менструального цикла у 54,5% женщин, у 39,2% - они были обильными, длительными и в 6,3% случаев имело место нарушение менструального цикла. Выявленные корреляционные взаимосвязи между возрастом менархе и длительностью заболевания в основной группе показали сильную положительную связь между временем наступления месячных и возрастом выявления лейомиомы матки с быстрым ростом узлов (r = 0,9032, p = 0,0000).
Пациентки основной группы предъявляли жалобы: отсутствие беременности при регулярной половой жизни без контрацепции – 31,1% женщин, менометроррагии - 28,1%, болевой синдром – 18,5%, нарушение функции соседних органов отмечали 7,6% больных. Интересным представляется анализ течения предыдущих беременностей в исследуемых группах женщин. Нами было выявлено, что в анамнезе в 53,4% случаев имело место отсутствие беременности, в 16,0% – однократное прерывание беременности, в 17,2% - беременность прерывалась дважды, беременность прерывалась 3 и более раз в 4,6% случаев. 10,0 % женщин указывали на наличие неразвивающейся беременности, и 7,5% пациенток – на трубную беременность в анамнезе.
Анализ структуры гинекологической заболеваемости у женщин с лейомиомами матки, имеющими быстрый рост, показал, что ведущее место заняли патологические изменения шейки матки (51,0%), на втором месте - воспалительные заболевания придатков матки (22,0%), в 1,8% случаев отсутствовала сопутствующая патология репродуктивной системы.
Среди экстрагенитальной патологии у женщин основной группы преобладали заболевания желудочно-кишечного тракта (45,7%), заболевания верхних дыхательных путей (35,2%), сердечнососудистые заболевания - у 10,6% больных. 9,2% пациенток были соматически здоровы.
Для определения размеров, локализации и типа роста миоматозных узлов в анализируемых группах проводилось сонографическое исследование. Для уточнения интенсивности кровотока в миоматозных узлах использовалась допплерометрия. При исследовании размеров матки и доминантного узла в основной группе выявлены положительные корреляции средней силы (корреляция Спирмена, r=0,51). Чем больше диаметр миоматозного узла, тем больше основные размеры матки.
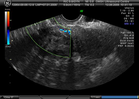
У 96 женщины основной и контрольной групп в доминантных миоматозных узлах проводилось исследование кровотока. При допплерометрии обнаружено два типа кровотока в миоматозных узлах у 69 пациенток основной группы: у 31,7% пациенток - нодулярный и у 68,3% - перинодулярный тип кровотока (рис.2, 3). В контрольной группе (27 пациенток) – точечный тип кровотока, независимо от размеров доминантных узлов. Для дальнейшего определения возможных патогенетических механизмов роста лейомиомы матки исследован индекс резистентности (ИР) в кровотоке доминантных узлов. Оказалось, что при лейомиомах с быстрым ростом узлов малых размеров по сравнению идентичными размерами узлов лейомиомы матки с медленным ростом узлов имеет место значительное превышение ИР - в 1,8 раза. Показатели ИР в доминантных узлах женщин основной группы нами были расценены как «пролиферативный» тип кровотока, определение которого, по нашему мнению, определяет подход к ведению пациентки независимо от размеров лейомиомы матки.
Изучен уровень половых гормонов (прогестерон, β-эстрадиол) в периферической крови у 41 женщины с лейомиомами матки. Однако не было получено достоверных различий уровня гормонов между пациентами основной и контрольной групп. Поэтому определенный интерес представило изучение гормональной насыщенности в доминантных узлах. С этой целью во время миомэктомий у 27 пациенток основной группы и у 14 - контрольной определяли уровень β-эстрадиола, прогестерона в миоматозных узлах. Исследование проводилось в первую фазу менструального цикла. По нашим данным у 85,2% наблюдаемых с лейомиомами матки, имеющих быстрый рост имело место повышение уровня прогестерона, у 14,8% - определялось повышение уровня β-эстрадиола, у женщин с медленнорастущими – уровень половых гормонов находился в пределах нормы (табл.1).

Рис.2 Нодулярный тип кровотока по данным УЗИ с допплерометрией

Рис.3 Перинодулярный тип кровотока по данным УЗИ с допплерометрией
Таблица 1
Уровень половых гормонов в миоматозных узлах, нмоль/л, М±ô
Лейомиома матки с медленным ростом узлов n=14 | Лейомиома матки с быстрым ростом узлов n=27 | ||
нормопро- гестеронемия | нормо- эстрогенемия | гиперэстрогенемия n=4 | гиперпрогестеронемия n=23 |
1,69±0,18 | 234,7±26,9 | 2013,2±1281,9 | 18,7±2,64 |
В дальнейшей работе мы провели изучение уровня концентрации рецепторов половых гормонов в миоматозных узлах.
При морфологическом исследовании удаленных узлов преобладающим вариантом лейомиомы в группе с быстрым ростом являлась простая лейомиома, выявленная в 23 случаях. Простая лейомиома была построена из разнонаправленных пучков гладкомышечных клеток, хаотично расположенных в строме. Миоциты имели вытянутую форму, средние размеры клеток, небольшие вытянутые ядра палочковидной формы. Фигуры митоза в большинстве образцов не определялись. В 5 случаях было зарегистрировано наличие единичных митотических фигур – 1-2 на 50 полей зрения при большом увеличении микроскопа (объектив х40). В строме имелось небольшое количество сосудов, имевших преимущественно синусоидный тип строения, часто со склерозированными стенками. В толще крупных узлов, имевших размер, как правило, 5 см и более, вторичные дистрофические изменения, имевшие характер миксоматоза и/или гиалиноза, в 3 случаях выявлены мелкие фокусы некроза. Клеточная лейомиома, выявленная в 4 случаях отличалась от простой высокой плотностью расположения гладкомышечных элементов и слабой выраженностью стромы. Последняя была представлена преимущественно в виде тонкостенных сосудов капиллярного и синусоидного типа.
Все исследованные лейомиомы в группе с медленным ростом узлов являлись простыми. Фигур митоза с ткани не было выявлено. Дистрофические изменения в форме миксоматоза были выявлены в 3 случаях из 14.
При изучении экспрессии маркера пролиферации Ki-67 в лейомиоматозных узлах продукт реакции выявляли в ядрах немногочисленных клеток. В клеточной лейомиоме плотность расположения метки была выше, чем в простой, однако отмеченную тенденцию мы не подвергали статистическому анализу ввиду малого числа наблюдений данного варианта опухоли (4 случая). Экспрессирующие клетки преимущественно выявлялись среди перицитарных элементов сосудов и в прилежащих к ним гладкомышечных клетках. В окружающем миометрии экспрессия Ki-67 в большинстве случаев выявлена не была. В 5 случаях в группе с быстрым ростом лейомиомы и в 2 случаях в группе с медленным ростом экспрессию маркера пролиферации в окружающем миометрии определяли в ядрах единичных клетках – до 2 меток на 50 полей зрения при большом увеличении микроскопа (объектив х40). Пролиферативная активность в лейомиоматозных узлах при быстром росте была достоверно выше аналогичного показателя в группе с медленным ростом лейомиомы (рис. 4)

Рис. 4 Значения индекса пролиферации (экспрессия Ki-67) в миоцитах лейомиом, указывающие на наличие достоверных различий между группами с быстрым и медленным ростом при использовании непараметрического критерия Манна-Уитни (р=0,0032).
При оценке экспрессии α-рецепторов к эстрогену выявляли достоверно более высокий уровень экспрессии в ткани лейомиоматозных узлов, чем в окружающем миометрии в группе с быстрым и медленным ростом (р<0,001). Позитивно меченые клетки были либо равномерно распределены во всех полях зрения, либо формировали участки скоплений, имевших туже тенденцию к расположению вокруг сосудов, что и клетки с экспрессией Ki-67. Индекс экспрессии α-рецепторов к эстрогену в группе лейомиомы с быстрым ростом был достоверно выше, чем в группе с медленным ростом, показатели экспрессии в окружающем миометрии между собой достоверно не различались (рис. 5)
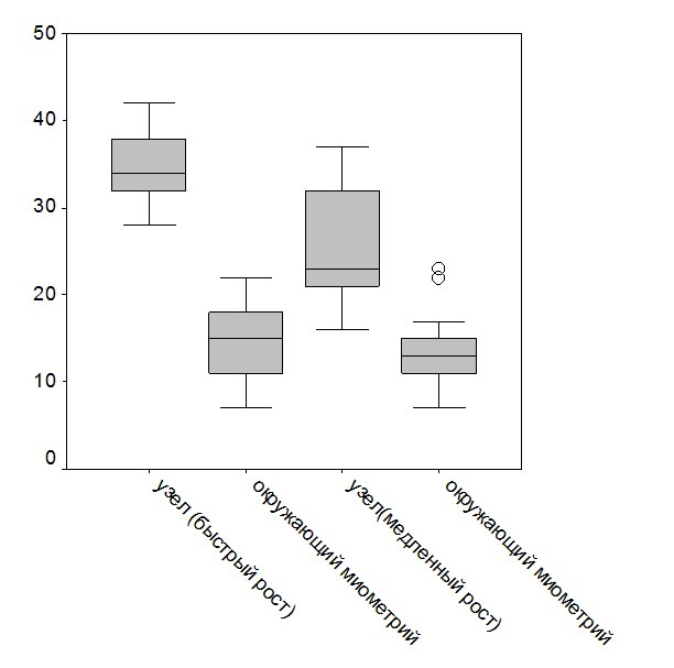
Индексы экспрессия рецепторов к прогестерону в лейомиоматозных узлах достоверно не отличалась от аналогичного показателя в окружающем миометрии (р=0,58 для группы с быстрым ростом и р=0,063 для группы с медленным ростом) и заметно во всех случаях превышала уровень экспрессии α-рецепторов к эстрогену. Экспрессия рецепторов к прогестерону в узлах между группами также достоверно не отличалась (р=0,14). Обращало внимание наличие достоверных различий при сопоставлении индексов экспрессии рецепторов к прогестерону в окружающем миометрии – в группе с быстрым ростом уровень был выше (рис. 6).
![]()
![]()
|
|


Рис. 5 Уровень экспрессии α-рецепторов к эстрогену в сравниваемых группах.
В группе с быстрым ростом отмечалось наличие прямой корреляционной связи средней силы между экспрессией Ki-67 и α-рецепторами к эстрогену (r=0,46), аналогичный показатель в группе с медленным ростом характеризовался отсутствием корреляционной зависимости (r=0,18).

|
Рис. 6 Уровень экспрессии рецепторов к прогестерону в сравниваемых группах.
На основании полученных данных нами разработан подход к ведению пациенток с лейомиомой матки, имеющий быстрый рост. В работе применяли консервативные и хирургические методы лечения, основным направлением которых было использование органосохраняющих оперативных вмешательств. Критериями выбора: размеры миоматозных узлов, их локализация, клиническая симптоматика, тип кровотока в миоматозных узлах, уровень концентрации половых гормонов и показатели накопления рецепторов в опухолях матки.
Под нашим наблюдением находилось 28 пациенток репродуктивного возраста с малыми размерами лейомиомы матки и пролиферативным типом кровотока в узлах. В этой группе мы отдавали предпочтение проведению гормональной коррекции, основным направлением которой было снижение уровня кровотока в миоматозных узлах и стабилизацию роста. В качестве группы сравнения проведен анализ 15 историй болезни пациенток с лейомиомами матки малых размеров, которым проводилась стандартная схема обследования (без проведения допплерометрии) и лечения (КОК, гестагены). Размеры миоматозных узлов у пациенток с лейомиомами матки малых размеров и «пролиферативным» кровотоком (ИР=0,47±0,02) составили 2,41± 0,02, в группе сравнения – 2,66 ± 0,03.
В исследуемой группе мы применяли агонисты ГнРГ 3,75 мг в/м каждые 28 дней в течение 3 месяцев с последующим проведением заместительной гормональной терапией КОК в течение 3 месяцев в контрацептивном режиме. После отмены препаратов, проводили контроль УЗИ с исследованием уровня кровотока, при котором во всех случаях нами отмечена стабилизация размеров узлов (средний размер узлов после лечения (1,61± 0,03, р=0,007) и уровня ИР (ИР=0,46±0,02). В последующем пациенткам рекомендовано планирование беременности. В группе сравнения после стандартной терапии (гестагены, КОК) через 12 мес. отмечено увеличение размеров миоматозных узлов (средний диаметр узлов составил 4,49± 0,31, р=0,008), рис 7

Рис. 7 Размеры миоматозных узлов у пациенток с лейомиомами матки малых размеров в зависимости от варианта лечения.
Для решения вопроса о проведении органосохраняющих операций проводилось УЗИ, исследование кровотока в матке и миоматозных узлах и гистероскопическая оценка полости матки с гистологическим исследованием эндометрия. Для проведения миомэктомий были предприняты следующие методики: у 83,2% пациенток лапаротомия с последующим проведением миомэктомии, у 12,% - лапароскопический доступ и 4,6% больных с лейомиомами матки была выполнена гистерорезектоскопия.
Проведение гистерорезектосокпии возможно у больных репродуктивного возраста с субмукозной лейомиомой матки 0 и I типа. Удаление миоматозных узлов 0 выполнялось одноэтапно с помощью Л-образной петли и П – образного электрода, при I типе – двухэтапно. В послеоперационном периоде были назначены КОК в циклическом режиме на 6 месяцев.
У 29 больных с лейомиомами матки с быстрым ростом узлов органосохраняющие операции были выполнены с использованием лапароскопической методики, при этом гемостаз производился с помощью применения биполярной и монополярной электрохирургиии, в двух случаях – с использованием экстракорпоральных викриловых швов. В настоящее время дискутабельным остается вопрос о ляпароскопическом доступе для миомэктомии у пациенток, не выполнивших репродуктивную функцию. Выполнение миомэктомий не должно выполняться лапароскопическим доступом с применением электрохирургии. Данное мнение обусловлено тем, что применение этой методики способствует формированию неполноценного рубца на матке. Доступ для проведения миомэктомии определяется размерами, локализацией, типом роста миоматозных узлов.
В большинстве случаев (83,2%) выполнялась лапаротомия с проведением миомэктомии. Остаются дискутабельными вопросы предоперационной гормональной подготовки перед выполнением этой операции. Ряд авторов предлагают назначение агонистов ГнРГ в течениие 6-12 месяцев с целью уменьшения размеров узла. По нашему мнению, нерационально назначение данных медикаментозных средств, так как это создает определенные трудности при выполнении миомэктомии, и операция проводится методом «кускования» опухоли. Целесообразность назначения аГнРГ определяется размерами миоматозных узлов.
Миомэктомия при лейомиомах матки с быстрым ростом узлов выполнялась с принципами бережного отношения к органу: а) мы применяли поперечные или косые разрезы; с целью уменьшения разрезов на матке близлежащие опухоли удалялись одним разрезом; б) минимальная травматизация тканей опухоли осуществлялась путем взятие узла на пулевые щипцы только после вскрытия капсулы; в) выделение узла проводилось острым путем с одновременным проведением гемостаза кровоточащих сосудов; г) после отсечения опухоли - гемостаз ложа 8-образными викриловыми швами; д) при вскрытии полости матки во время миомэктомии проводилось ушивание слизистой эндометрия непрерывным швом с использованием синтетической рассасывающей нити - викрил 00; е) после гемостаза операционной раны выполнялось послойное ушивание раны на матке с использованием синтетических рассасывающих нитей (викрил, полигликолид); во время операции для повышения сократительной способности миометрия и снижения риска кровотечения использовались утеротоники внутривенным капельным путем.
В послеоперационном периоде выполнялось назначение антибиотиков, утеротоников, гемостатиков, анальгетиков. Выписка пациенток осуществлялась на 7-10 сутки после операции. Средние сроки пребывания в стационаре составили 8,2± 0,3 дня.
Особое значение у таких больных мы придавали послеоперационной реабилитации, основное направление которой было на профилактику рецидива опухоли и формированию полноценного рубца на матке. На основании полученных результатов исследования гормональной насыщенности в узлах, иммуногистохимических показателей количественного и качественного состава рецепторного аппарата в них, нами внедрена следующая схема гормональной коррекции: а) при прогестеронзависимых лейомиомах матки: медикаментозная коррекция путем назначения агонистов ГнРГ 3,75 мг внутримышечно каждые 28 дней в течение 3 месяцев с последующем переводом на низко - и микродозированные оральные контрацептивы. Через 6 месяцев после оперативного лечения и достижения эффекта от проводимой гормональной коррекции, контроля УЗИ органов малого таза больные получали разрешение на возможность вынашивания беременности; б) при нормопрогестеронемии, повышенном показателе уровня прогестероновых рецепторов мы придерживались принципов ведения пациенток аналогично с гиперпрогестеремии в опухолях матки; в) при гиперэстрогенемии – назначали низко - и микродозированные оральные контрацептивы в контрацептивном режиме в течение 6 месяцев, затем - контрольное УЗИ малого таза и планирование беременности.
Предложенный подход обследования и лечения пациенток с лейомиомами матки, имеющих быстрый рост узлов за анализируемый период ( гг.) позволил снизить частоту органоуносящих операций по поводу лейомиомы матки на 35,8%, а количество миомэктомий - увеличить на 30,2 %.,7%) женщинам, проведенная миомэктомия с последующей коррекцией гормональных нарушений - выполнить репродуктивную функцию.
ВЫВОДЫ
1. Для пациенток репродуктивного возраста с лейомиомами матки и быстрым ростом узлов средний возраст составляет 33,07±0,35 лет, и в большинстве случаев (53,4%) отмечено отсутствие в анамнезе наступление беременности, а в 31,0% случаев лейомиома матки является ведущей причиной бесплодия.
2. Для лейомиомы матки с быстрым ростом характерно наличие двух типов кровотока: нодулярный и перинодулярный, выявляемых при допплерометрии, что при морфологическом исследовании соответствует типичной и клеточной лейомиоме. При лейомиомах матки с медленным ростом узлов характерен точечный кровоток при соответствии узлов типичному варианту лейомиомы.
3. У женщин с лейомиомами матки средних и больших размеров, имеющих быстрый рост узла, выявлена локальная гормонемия с преобладанием гиперпрогестеронемии. При лейомиомах матки с медленным ростом узла – нормогормонемия.
4. Высокая пролиферативная активность в миоматозных узлах при лейомиомах матки с быстрым ростом узлов обусловлена высоким уровнем экспрессии рецепторов к прогестерону и повышенным, по сравнению с окружающим миометрием, уровнем экспрессии α-рецепторов к эстрогену в условиях локальной гиперпрогестеронемии.
5. Патогенетически обоснованный подход к гормональной коррекции у женщин с лейомиомами матки быстрым ростом узла средних и больших размеров позволил снизить частоту органоуносящих операций по данной патологии на 35,8%, а количество миомэктомий - увеличить на 30,2 %, 32,7% случаях реализовать репродуктивную функцию. При малых размерах и «пролифиративным» типом кровотока в миоматозных узлах – стабилизировать рост.
ПРАКТИЧЕСКИЕ РЕКОМЕНДАЦИИ
1. При лейомиомах матки с быстрым ростом узлов рекомендовано проводить исследование кровотока в миоматозных узлах. Показатель ИР ≥0,4 следует расценивать как пролиферативный тип кровотока.
2. При лейомиомах матки малых размерах (≤3см) с «пролиферативным» типом кровотока в качестве прегравидарной подготовки применять аГнРГ
3,75 мг в течение 3 мес. с последующим назначением микро - и низкодозированных КОК 3 мес. под контролем УЗИ, ИР. Возможно применение антипрогестинов 25-50 мг с 5 по 26 день менструального цикла в течение 6 месяцев.
3. Миомэктомия должна проводиться с принципами бережного отношения к органу:
- выбор разреза на матке: поперечные или косые; близлежащие опухоли удалять одним разрезом;
- минимальная травматизация тканей опухоли: взятие узла на пулевые щипцы после вскрытия капсулы;
- выделение узла острым путем с одновременным проведением гемостаза кровоточащих сосудов;
- после отсечения узла - гемостаз ложа 8-образными викриловыми швами
- при вскрытии полости матки: ушивание слизистой непрерывным швом викрил 00;
- послойное ушивание раны на матке с использованием синтетических рассасывающих нитей;
4. Во время миомэктомии рекомендуется производить забор крови с последующим определением уровня половых гормонов в узлах, а также иммуногистохимическое исследование уровня экспрессии рецепторов половым гормонам.
5. Послеоперационная реабилитация является основным направлением на профилактику рецидива опухоли:
1. При увеличении уровня экспрессии рецепторов к прогестерону в миоматозных узлах аГнРГ 3,75 мг в течение 3 месяцев с последующим назначением микро - и низкодозированных КОК – 3 мес.
2. При увеличении уровня экспрессии рецепторов к эстрогену в миоматозных узлах - назначение микро - и низкодозированных КОК в течение 6 мес.
3. При нормальном уровне экспрессии рецепторов к половым гормонам -
аГнРГ - 3,75 мг в течение 3 месяцев с последующим назначением низкодозированных КОК – 3 мес.
СПИСОК ОПУБЛИКОВАННЫХ РАБОТ ПО ТЕМЕ ДИССЕРТАЦИИ
1. Баринов подходы к обследованию и тактике ведения больных фертильного возраста с миомой матки / , ,, // Актуальные вопросы акушерства и гинекологии в постдипломном образовании врача. Челябинск, 2007. – С. 27-28.
2. Василенко принципы прегравидарной подготовки пациенток фертильного возраста с миомой матки / , Баринов семьи-21 век. Онкология 21 век Материалы 12 Международной конференции и 3 Международной научной онкологической конференции.- 2008, г. Эйлат, Израиль. - С. 127-128.
3. Василенко препарата Люкрин-депо для профилактики рецидива миомы матки после консервативной миомэктомии / ,, // Проблемы репродукции. -№6. – 2008. – С. 32-34.
4. К вопросу о современных подходах к обследованию и тактике ведения больных фертильного возраста с миомой матки / , // Омский научный вестник. - №1 (65). – 2008. – С. 24-25.
5. Баринов подходы к обследованию и тактике ведения больных миомой матки фертильного возраста / , // Материалы IV сьезда Акушеров-гинекологов России. – Москва, 2008. – С 314.
СПИСОК СОКРАЩЕНИЙ
аГнРГ – агонисты релизинг гормона
ИР – индекс резистентности
ОКБ на станции Омск -Отделенческая клиническая больница на станции Омск Открытого акционерного общества «Российские железные дороги»
КОК - комбинированные оральные контрацептивы
МУЗ МСЧ №9- муниципальное учреждение здравоохранения медико-санитарная часть №9
УЗИ - ультразвуковое исследование
На правах рукописи
ВАСИЛЕНКО
Людмила Николаевна
КЛИНИКО-МОРФОЛОГИЧЕСКИЕ ОСОБЕННОСТИ ЛЕЙОМИОМЫ МАТКИ С БЫСТРЫМ РОСТОМ УЗЛОВ У ЖЕНЩИН РЕПРОДУКТИВНОГО ВОЗРАСТА
14.01.01- акушерство и гинекология
14.03.02 - патологическая анатомия
АВТОРЕФЕРАТ
диссертации на соискание ученой степени
кандидата медицинских наук
Омск – 2010
__________________________________________________________________
Подписано в печать 05.05.10
Фрмат60 X84/16
Бумага офсетная
П. Л-1,0
Способ печати-оперативный
Тираж 100
издательство



