Стереотаксической брахитерапия опухолей головного мозга (Екатеринбург).
,
Уральский межтерриториальный нейрохирургический центр им. проф. ,
(Свердловский онкологический диспансер)
Россия 620036 Екатеринбург ,
Одним из новых и перспективных направлений в нейроонкологии является - брахитерапия опухолей головного мозга. Этот метод заключается в доставке радиационной дозы к мишени (опухоли), путём кратковременного внедрения источника излучения через тонкий полый катетер (интрастат) непосредственно в ткань опухоли. Брахитерапия используется самостоятельно или как этап комбинированного лечения в сочетании с оперативным лечением и дистанционной лучевой терапией.
Благодаря современным методикам дозиметрического планирования, возможно оптимальное дозное распределение в объеме мишени (опухоли). Реконструкция объёма мишени происходит на основании данных КТ, МРТ, с применением навигационной системы. Это обеспечивает минимальное облучение окружающего опухоль здорового мозга, тем самым даёт возможность увеличение дозы, доставляемой к опухоли, по сравнению с использованием только дистанционной лучевой терапии.
На базе Уральского межтерриториального нейрохирургического центра 31 больному с супратенториальными внутримозговыми опухолями головного мозга разнообразной гистологической структуры (глиальные опухоли различной степени злокачественности, метастатические опухоли) была проведена брахитерапия, как один из этапов комбинированного лечения. При опухолях, располагающихся в труднодоступных и функционально значимых областях головного мозга, для имплантации интрастатов использовали стереотаксический метод. Планирование предстоящей стереотаксической биопсии опухоли и траектории установки интрастата по магнитно – резонансным томограммам, а также по их 3D реконструкциям выполняли на навигационной станции «Stryker» (Leibinger). После установки и фиксирования интрастатов все пациенты транспортировались в отделение брахитерапии для проведения лечения. Расчёт дозы и поля облучения производили на планирующей системе «Abacus». Облучение проводили на аппарате GammaMed + с источником Ir192 (HDR). Объём клинической мишени (CTV) включал в себя зону контрастного усиления (по КТ) + 0,5 см к периферии. В режиме LDR (перманентная имплантация) к мишени доставляли дозу 40-60Гр за 5-10 дней. В режиме HDR (remote afterloading) использовали различные схемы фракционирования дозы 3-3,5-4-5 Гр за фракцию один раз в день или дважды в день с интервалом 6-8 часов. Суммарные дозы достигали 24-35Гр, что соответствовало длительности курса 3-5 дней. После достижения планируемой радиационной дозы интрастаты удалялись.
Всем пациентам в процессе курса и после брахитерапии проводили МРТ контроль в ранние сроки. Уже на 10-15 сутки после курса терапии наблюдали изменения МРТ структуры и размеров опухоли. При этом перифокальный отёк был выражен минимально ввиду особенности метода и точного подведения дозы. В дальнейшем КТ или МРТ контроль проводили через 1, 3, 6, 12 месяцев.
Одногодичная выживаемость в данной серии пациентов зависела от локализации и гистологической структуры опухоли и составила 79,8%.
Брахитерапия - это малоинвазивный, хорошо переносимый, высоко эффективный способ позволяющий улучшить результаты комбинированного лечения больных с опухолями головного мозга. Возможность осуществить лучевое воздействие на опухоль в относительно больших дозах при минимальной лучевой травме окружающих структур головного мозга делает этот метод одним из перспективных направлений в нейроонкологии.
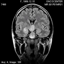
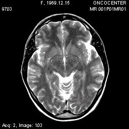
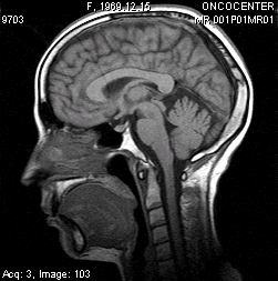
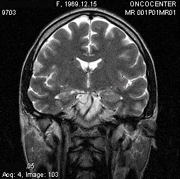
Описываем клинический случай стереотаксической брахитерапии, выполненной в Уральском межтерриториальном нейрохирургическом центре (ГБУЗ СО Свердловский областной онкологический диспансер), пациентке К. 31 год с глиальной опухолью диэнцефальной области (дна III желудочка). Данные МРТ головного мозга представлены на слайдах.



Этапы стереотаксической брахитерапии представлены на слайдах ниже.
1. Получение изображений на КТ.


2. Планирование траектории доступа для стереотаксической биопсии и для установки гибкого интрастата производилось на стереотаксической планирующей системе Stryker Leibinger по МРт и КТ реконструкциям, в том числе и в режиме 3D. Траектория из премоторного доступа в правом полушарии, проходящая через отверстие Монро в геометрический центр опухоли.


3. Сборка стереотаксической дуги в операционной.


4. Биопсия спиралью. Гистологический вариант опухоли – фибриллярно – протоплазматическая астроцитома.

5. Установка интрастата.


6. Планирование и реализация облучения. Планирующая система Abacus. Аппарат для брахитерапии Gamma Med + с источником Ir192


7. МРТ контроль спустя 4 месяца после брахитерапии. Отмечается положительная динамика в виде регресса опухоли.






