Опыт применения комплекса ЛЕЦИТИН ПРЕМИУМ
в комплексном лечении и реабилитации гипоксически-ишемических
поражений ЦНС у недоношенных новорожденных
Харьковская Медицинская Академия
Последипломного Образования.
Харьковский Городской Клинический
Родильный Дом с неонатологическим
стационаром, г. Харьков
Актуальность
Среди многих факторов, повреждающих головной мозг новорожденных, особо следует выделить гипоксию, которая может быть отнесена к универсальным повреждающим агентам. Асфиксия, регистрируемая у новорожденных, очень часто является лишь продолжением гипоксии, начавшейся еще во внутриутробном периоде. Статистика репродуктивных потерь убедительно свидетельствует об этом: внутриматочная гипоксия и гипоксия в родах, обусловленная нарушением маточно-плацентарного кровообращения, в 38-45% случаев является причиной перинатальной смертности, а в 59% - причиной мертворождения. В 72,4% случаев гипоксия и асфиксия становятся одной из главных причин гибели плода в родах или в раннем неонатальном периоде.
Как правило, новорожденные дети, имеющие неврологические проблемы, рождены женщинами, относящимися к категории повышенного или высокого перинатального риска (бесплодие, привычное невынашивание, экстрагенитальные заболевания и пр.). При этом, главным объектом перинатальной неврологии является недоношенный ребенок, испытавший в процессе внутриутробной жизни целый комплекс вредных воздействий. Хорошо известно, что асфиксия, перенесенная в родах и в периоде новорожденности, не проходит бесследно и оказывает негативное воздействие на развивающийся мозг. Клиницистам известны исходы гипоксических повреждений ЦНС, которые носят весьма разнообразный характер: от минимальных мозговых дисфункций до грубых двигательных и интеллектуальных расстройств, объединенных под общим названием «детский церебральный паралич». В основе психоневрологических расстройств лежат значительные нейрональные потери, дистрофические изменения нервных клеток в коре головного мозга, в подкорковых структурах, в желудочках мозга и перивентрикулярном пространстве.
Состояние нервной системы, которое возникло вследствие гипоксии и (или) ишемии принято называть «гипоксически-ишемической энцефалопатией». При этом обращается внимание на существующую разницу между доношенными и недоношенными детьми по характеру возникающих нозологических форм неврологических расстройств. Отличительной формой неврологических расстройств характерной для недоношенных детей, страдающих гипоксически-ишемическими поражениями центральной нервной системы (ЦНС), является перивентрикулярная лейкомаляция (ПВЛ) – билатеральный ишемический инфаркт белого вещества, прилежащего к боковому желудочку мозга. ПВЛ особенно часто возникает у недоношенных детей с массой тела при рождении от 900,0 до 2200,0 г и сочетается с синдромом дыхательных расстройств. ПВЛ диагностируется приблизительно у 5% новорожденных с массой тела менее 1250 г и у 4% с массой тела менее 2000 г. Кроме того, ПВЛ с формированием глиального рубца с кистой или без нее в белом веществе мозга обуславливают в дальнейшем высокий риск инвалидизации недоношенных детей.
Целью настоящей работы явилось изучение применения ЛЕЦИТИН ПРЕМИУМ компании ВИТАМАКС в комплексной терапии и реабилитации гипоксически-ишемических поражений центральной нервной системы у недоношенных новорожденных.
Материалы и методы
Работа проводилась в отделении выхаживания недоношенных детей Харьковского городского клинического родильного дома с неонатологическим стационаром. В период гг. в отделении II этапа выхаживания недоношенных под наблюдением находились 85 новорожденных. По сроку гестации все недоношенные дети были распределены следующим образом:
до 29 недель гестации –,2 %) новорожденных;
29-31 неделя гестации -,7 %) детей;
32-34 недели гестации -,7 %) детей;
35-37 недель гестации –,4 %) новорожденных.
Преждевременно рожденные дети, как правило, имели массу тела от 800 до 2500 г, в то же время 1 (1,2 %) недоношенный ребенок с диабетической фетопатией весил 2750 г, а 7 (8,3 %) новорожденных с синдромом задержки внутриутробного развития при сроке гестации в 36-37 недель имели массу тела при рождении менее 2000 г.
Результаты исследования
Известно, что наиболее часто преждевременные роды обусловлены заболеваниями матери и наши исследования оказались не исключением. При анализе анамнестических данных соматического, гинекологического и акушерского статуса беременных женщин выявлено, что первое место среди причин невынашивания в 96,6% случаев занимают острые и хронические урогенитальные инфекции (токсоплазмоз, герпетическая и цитомегаловирусная инфекции, хламидийная и микоплазменная инфекции). Далее по частоте случаев следует гестоз (92%); экстрагенитальная патология (заболевания почек, сердечно-сосудистой системы, эндокринные нарушения) были выявлены у 73,6% матерей; иммунобиологический конфликт в системе мать-плацента-плод привел к преждевременным родам в 13% случаев. Особое значение имеют социально-экономические факторы, в том числе и возраст матерей. В наших исследованиях обращало на себя внимание превалирования слишком юного возраста (до 17 лет) и зрелого (старше 35 лет) у матерей. Отягощенный акушерский анамнез в виде угрозы прерывания беременности имел место в 78% случаев, предыдущие самопроизвольные аборты отмечались у 46,4% женщин, признаки фетоплацентарной недостаточности как первой так и второй половины беременности были выявлены у всех матерей.
Почти все новорожденные родились в состоянии средней степени тяжести и тяжелом и имели оценку по шкале Апгар 3-7 баллов при рождении. Тяжесть состояния была обусловлена асфиксией средней и тяжелой степени, синдромом угнетения ЦНС, кардио-респираторным дистресс-синдромом. После оказания адекватной реанимационной помощи в родильном зале недоношенные новорожденные были помещены в палату интенсивной терапии и на 3-5 сутки переведены на II этап выхаживания в отделение для недоношенных детей.
При поступлении в отделение у всех детей было диагностировано гипоксически-ишемическое поражение ЦНС различной степени выраженности; у большинства новорожденных – пневмопатии, обусловленные незрелостью легочной ткани и системы сурфактанта; у трети новорожденных – внутриутробные пневмонии. Из сопутствующих состояний – конъюгационные желтухи, синдром задержки внутриутробного развития и т. д. Клинически гипоксически-ишемические поражения ЦНС выглядели следующим образом: синдром угнетения ЦНС у%) новорожденных; синдром возбуждения ЦНС у,1%) детей; синдром ликворо-динамических нарушений выявлен в%) случаев и синдром вегето-висцеральных дисфункций у%) недоношенных детей. Кроме того, у%) недоношенных новорожденных при поступлении в отделение не исключались внутрижелудочковые и перивентрикулярные кровоизлияния на фоне гипоксически-ишемических поражений ЦНС.
В первые дни после поступления детей в отделение всем новорожденным проводилось ультразвуковое обследование головного мозга для уточнения топики поражения центральной нервной системы. Гестационный возраст ребенка определял возможный спектр гипоксически-ишемических повреждений, прежде всего по локализации. Особенности кровоснабжения мозга у недоношенных практически не позволяют развиться диффузному ишемическому поражению. В то время как у доношенного ребенка локализация ишемических поражений чаще сосредоточена в области серого вещества, то для недоношенных новорожденных характерно повреждение, в первую очередь, белого вещества головного мозга (ПВЛ). Гипоксия же играет ведущую роль в формировании перивентрикулярных некрозов.
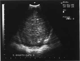
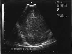
Кроме того, ишемический некроз проявляется повышением эхогенности обычно в острой фазе. В подострой и хронической фазах ведущую роль в диагностике играют неоднородность структуры, а также наличие участков с различной эхогенностью, в том числе кист. ПВЛ в подавляющем числе наблюдений является двусторонним процессом (рис. 1,2).
|
|
Рис. 1 Новорожденная Б 11 суток, СГ – 29 недель, ПВЛ III-IV степени на фоне повышенной эхогенности – мелкие анэхогенные образования (формирование кист). | Рис. 2. 10 суток, СГ – 30 недель, ПВЛ III степени, гиперэхогенность в перивентрикулярном пространстве (до образования кист). |
Всем новорожденным детям, поступившим в отделение, была назначена, так называемая «плановая» терапия гипоксически-ишемических поражений ЦНС, включающая по показаниям ноотропы: пирацетам, ноотропил в дозе 100 мг/кг массы тела в сутки. Более старшим детям с выраженным синдромом ликворной гипертензии назначался кальция гопантенат (пантогам) в дозе 30 мг/кг массы в сутки. При отсутствии геморрагических осложнений применялись сосудистые препараты: кавинтон в виде раствора для инъекций по 2 мл, содержащего винпоцетин 5 мг и 10 мг и актовегина также в растворе для инъекций по 2, 5 и 10 мл в дозе 0,1 мл/кг массы тела в сутки.
К комплексной «плановой» терапии гипоксически-ишемических поражений ЦНС с первых дней поступления недоношенных в отделение был подключен ЛЕЦИТИН ПРЕМИУМ компании ВИТАМАКС. Группу сравнения составили 60 недоношенных с самыми тяжелыми проявлениями гипоксически-ишемических поражений в виде ПВЛ, внутрижелудочковыми кровоизлияниями I-III степени тяжести.
Лецитин содержится в каждой клетке организма, выполняя широкий спектр жизненно важных функций. Лецитин является основным питательным веществом для нервных клеток, составляя 17% нервной системы, основным компонентом в образовании миелина, покрывающего нервные проводящие пути. С биохимической точки зрения, лецитин принадлежит к группе питательных веществ, известных как жиры и как фосфолипид носит название фосфатидилхолин.
Высококачественный ЛЕЦИТИН ПРЕМИУМ компании ВИТАМАКС содержит эссенциальные фосфолипиды высокой концентрации. Эссенциальные фосфолипиды (ЭФЛ) представляют собой высокоочищенные фракции фосфатидилхолина, фосфатидилэтаноламина, фосфатидилинозитола, выделенные из бобов сои. Несмотря на сходство с эндогенными фосфолипидами по химическому строению, ЭФЛ отличаются от них большим содержанием полиненасыщенных жирных кислот (линолевая, линоленовая кислоты и др.).
Лецитин является главным источником холина, основная задача которого состоит в переработке, разжижению и транспортировке молекул жира. Защитная оболочка клеток мозга и нервов маслянисто-влажная и холин участвует в поддержании этой консистенции. Без холина стенки клеток становятся плотными и питательные вещества с трудом проникают в клетку, а иногда и вообще не могут туда попасть, и клетка отмирает.
У холина есть еще одна важная функция в клетках мозга и нервов. В процессе обмена веществ из него вырабатывается нейротрансмиттер (ацетилхолин) – один из важнейших медиаторов мозга.
В лецитин, кроме холина входит витамин группы В – инозитол. Этот витамин демонстрирует свои уникальные возможности как одно из самых важных веществ для функционирования нервных клеток, стимулируя в них обмен веществ, выработку ионов кальция, ответственных за передачу нервных импульсов.
Самое важное свойство инозитола заключается в том, что он, так же как и холин, является исключительно натуральным продуктом, действуя так же надежно, как синтезированные химическим путем медикаментозные средства.
Именно мембрано - и ангиопротекторные свойства лецитина, а также его участие в обновлении структуры нервной ткани и улучшение метаболизма головного мозга, и послужили основанием для включения его в комплексную терапию гипоксически-ишемических поражений ЦНС у недоношенных детей. ЛЕЦИТИН ПРЕМИУМ назначался следующим образом: ½ кофейной ложки 2 раза в день в смеси или грудном молоке при нахождении в стационаре и продолжался после выписки.
Оценку лечения и динамику гипоксических изменений головного мозга мы проводили при помощи клинических методов и нейросонографии, которая назначалась каждые 10 дней от начала лечения и в конце первого месяца жизни детей.
На фоне проводимой терапии с дотацией Лецитина было отмечено прогрессивно улучшающееся состояние недоношенных новорожденных – дети начинали усваивать питание, регистрировались прибавка в массе тела. В неврологическом статусе – увеличивался объем спонтанной двигательной моторики; улучшался мышечный тонус, появлялись рефлексы орального автоматизма, начиная с сосательных и глотательных; нивелировались появления синдрома угнетения ЦНС, вегето-висцеральных дисфункций. Рефлексы спинального автоматизма появлялись несколько позже, выраженность их зависела от степени недоношенности и морфо-функциональной зрелости новорожденных.
Эхографическое выявление острой фазы ПВЛ в первые сутки жизни может быть затруднительным. Это обстоятельство диктует необходимость динамического эхографического наблюдения за недоношенными детьми независимо от наличия или отсутствия у них морфологической картины поражения ЦНС в первые трое или даже семь суток жизни. С момента начала некротического процесса в веществе мозга до образования кисты обычно проходит 10-14 дней (рис.1,2). Во всех случаях перивентрикулярный некроз со временем приводит к пассивной внутренней гидроцефалии, которая может развиться через 2-3 недели после рождения.
В нашем случае, осложнения со стороны головного мозга у детей получающих ЛЕЦИТИН ПРЕМИУМ были выявлены лишь в 4 случаях (6,7%) и выражались в кистозном перерождении мозга (status mormoratus) проявлениях внутренней гидроцефалии.
У остальных новорожденных, из группы детей получающих Лецитин, выявлена положительная ультразвуковая динамика процесса в головном мозге в виде уменьшения эхоплотности в перивентрикулярном пространстве, которое свидетельствовало об ишемическом страдании. Структуры мозга становились более четкими, а к концу первого месяца жизни исчезали очаги глиоза и мелкие кисты, нивелировались участки уплотнения борозд (рис. 3,4,5,6,).
|
|
Рис 3. В начале лечения новорожденная С. 34 недели гестации, эхоплотность повышена, структуры нечеткие, мелкие очаги глиоза в паренхиме. | Рис. 4. Через 20 дней от начала лечения. Уменьшение эхоплотности в п/в пространстве. П/в ишемия II ст. (не выражена) |
|
|
Рис. 5 Срок гестации 28 недель. | Рис.6. На 10-е сутки от начала лечения. В динамике отмечается уменьшение интенсивности п/в ишемии. |
В группе сравнения у детей, которые получали «плановую» терапию без Лецитина, отмечено большее количество случаев с осложнениями со стороны ЦНС. Из 25 новорожденных у 10 менее выражена динамика морфологических изменений со стороны головного мозга. Длительность нахождения таких детей в отделении составляла, в среднем 1 месяц, в то время, как недоношенные, получающие ЛЕЦИТИН ПРЕМИУМ компании ВИТАМАКС выписывались через 2-3 недели со значительным улучшением состояния.
Тяжесть поражения головного мозга, развитие возможных осложнений со стороны ЦНС и угроза инвалидизации недоношенных детей диктует необходимость наблюдения за детьми, перенесшими гипоксически-ишемическое поражение ЦНС в катамнезе. Кроме того новорожденные наблюдались через месяц после выписки из отделения, а затем каждые 2 месяца.
Динамическое наблюдение в катамнезе показало, что дети, получающие дополнительно к реабилитационной терапии Лецитин, демонстрировали более быстрое выздоровление, отсутствие осложнений со стороны ЦНС. Оценка их психомоторного и физического развития соответствовала возрасту.
Выводы
Таким образом, наши исследования показали, что ЛЕЦИТИН ПРЕМИУМ компании ВИТАМАКС является незаменимым в лечении и реабилитации недоношенных детей с гипоксически-ишемическим поражением ЦНС. И, по сути своей, исполняет роль природного, ноотропного средства с включением в него витамина группы В. Отсутствие осложнений со стороны ЦНС и инвалидизации в дальнейшем этих детей, доказывают высокую клиническую эффективность ЛЕЦИТИН ПРЕМИУМ как в первые дни после рождения, так и в периоде реабилитации тяжко страдающих новорожденных. Высококачественный ЛЕЦИТИН компании ВИТАМАКС может быть рекомендован к использованию у всех новорожденных, как доношенных, так и недоношенных с гипоксически-ишемическим поражением ЦНС.









