Кафедра хирургических болезней № 1
Зав. каф. - профессор
Тема лекции: Хронический панкреатит
Цель лекции: обучение, воспитание.
Актуальность: Частота хронического панкреатита в последние годы неуклонно растет и составляет по разным данным от 9 до 14% среди взрослого населения. Рост числа больных хроническим панкреатитом и кистами поджелудочной железы, значительные трудности диагностики, несмотря на такие эффективные методы, как ультразвуковое сканирование, компьютерная томография, а также трудности в выборе методов оперативного лечения при малой эффективности консервативной терапии требуют от врача серьезного изучения данной темы.
Материалы:





КЛАССИФИКАЦИЯ
Первичный:
алкогольный лекарственный (длительное лечение стероидными гормонами) идиопатический травматический (в том числе послеоперационный)
Вторичный
холангиогенный (холедохолитиаз, стриктура холедоха, стеноз БСДК, парапиллярный дивертикул) холецистогенный заболевания органов ЖКТ: язвенная болезнь (с пенетрацией в поджелудочную железу), дуоденостаз орагнический, функциональный висцеральный ишемический синдром инфекционный (токсоплазмоз)n ДИАГНОСТИКА
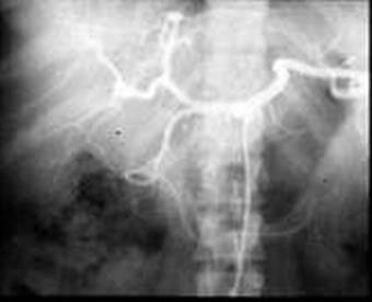
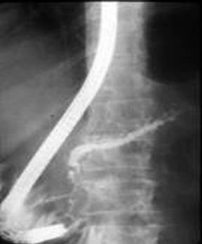
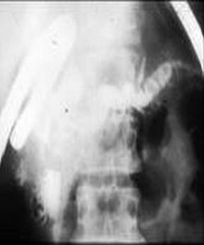
БИОХИМИЯ – инсулин (вторичный диабет), амилаза, холестерин УЗИ – камни, псевдокалькулез, расширение вирсунгова протока, кисты, разрастание стромы R-ГРАФИЯ – кальцификаты, разворот подковы 12-ПК, состояние слизистой желудка и 12-ПК по задней стенке, дивертикулы
ПОМОГАЕТ НАЛИЧИЕ В АНАМНЕЗЕ:
- АЛКОГОЛИЗМА
- САХАРНОГО ДИАБЕТА (КЛИНИКА ВНЕШНЕСЕКРЕТОРНОЙ ГИПОФУНКЦИИ)





n Позитронно-эмиссионная томография
n В основе метода оценка клеточного метаболизма в связи с усиленным метаболизмом глюкозы в раковых клетках.
n Рабочий препарат FDG-флюородиоксиглюкоза
n Позволяет определять нарушение функции до появления структурных анатомических изменений.
n Оптическая когерентная томография
n Имеет пространственное разрешение на 2 порядка больше ультразвука.
n Черно-белые двухмерные изображения представляют собой срезы живых тканей с микроскопическим разрешением.
n Возможность интраоперационной оптической биопсии без удаления тканей (подобное гистологическому)
n Уровень опухолевых маркеров
n Карбогидратный антиген СА-19-9
- чувствительность 90%
- специфичность 95%
n Канцероэмбриональный антиген СЕА
КЛИНИЧЕСКИЕ ФОРМЫ
n РЕЦИДИВИРУЮЩИЙ
n БОЛЕВАЯ ФОРМА
n ЛАТЕНТНАЯ ФОРМА (ПРОЯВЛЯЕТСЯ СЕКРЕТОРНОЙ НЕДОСТАТОЧНОСТЬЮ).
n ПСЕВДОТУМОРОЗНАЯ ФОРМА.
ЛЕЧЕНИЕ
ФАЗА ОБОСТРЕНИЯ:
n ДИЕТА – ГОЛОД
n УСТРАНЕНИЕ СПАЗМА ГЛАДКОЙ МУСКУЛАТУРЫ - СПАЗМОЛИТИКИ
n СНИЖЕНИЕ СЕКРЕЦИИ - Н-2 БЛОКАТОРЫ, ИНГИБИТОРЫ ПРОТОННОЙ ПОМПЫ, М-ХОЛИНОЛИТИКИ, АТРОПИН
n ПРЕПАРАТЫ СОМАТОСТАТИНА (САНДОСТАТИН),
n АНТИФЕРМЕНТНАЯ ТЕРАПИЯ - ГОРДОКС, КОНТРИКАЛ, ТРАСИЛОЛ
n ЦИТОСТАТИКИ - 5-ФТОРУЛАЦИЛ, ФТОРАФУР
n АНТАЦИДНЫЕ ПРЕПАРАТЫ (Т. К. КИСЛОТНЫЙ ФАКТОР ЯВЛЯЕТСЯ СТИМУЛЯТОРОМ СЕКРЕЦИИ PANCREAS)

ФАЗА РЕМИССИИ
n СИНДРОМ ЭКЗОКРИННОЙ НЕДОСТАТОЧНОСТИ - КРЕОН, ПАНЗИНОРМ, ФЕСТАЛ, ПАНКРЕАТИН, ЛИПАЗА, ЛИПАЗИМ (ПРЕПАРАТЫ ПРИМЕНЯЕТСЯ В ОБОЛОЧКАХ ТАК КАК ДЕЗАКТИВИРУЕТСЯ СОЛЯНОЙ КИСЛОТОЙ)
n ПАРЕНТЕРАЛЬНОЕ ПИТАНИЕ (ОСОБОЕ ВНИМАНИЕ СЛЕДУЕТ УДЕЛИТЬ БЕЛКОВЫМ КРОВЕЗАМЕНИТЕЛЯМ В ВИДЕ РАСТВОРОВ АМИНОКИСЛОТ—ИНФУКОЛ И Т. Д.)
n ПРИ ЛАТЕНТНОЙ И ПСЕВДОТУМОРОЗНОЙ ФОРМАХ (КОГДА НЕТ ОБОСТРЕНИЯ) СЛЕДУЕТ ПРОВОДИТЬ СТИМУЛИРУЮЩУЮ ТЕРАПИЮ ПАНКРЕОЭНЗИНОМ.
n САНАТОРНО-КУРОРТНОЕ ЛЕЧЕНИЕ (ЖЕЛЕЗНОВОДСК)
n ОПЕРАТИВНОЕ ЛЕЧЕНИЕ
Первичный панкреатит:
n вирсунготомия эндоскопическая, операционная (редкоприменяемое вмешательство, вследствие технической сложности и редкости стеноза вирсунгова протока изолированно в его устье), ЭПСТ
n панкреатоеюностомия:
а) продольная (Пестова-Джильсби)
б) терминальная (Дюваля)

n ОККЛЮЗИЯ ПРОТОКОВ PANCREAS; ЭНДОСКОПИЧЕСКАЯ ОПЕРАЦИОННАЯ (РЕТРОГРАДНАЯ И АНТЕГРАДНАЯ)
n ОПЕРАЦИИ НА ВЕГЕТАТИВНОЙ НЕРВНОЙ СИСТЕМЕ – ЛЕВОСТОРОННЯЯ СПЛАНХНИКОТОМИЯ (СНЯТИЕ СПАЗМА БСДК И СНИЖЕНИЕ СЕКРЕЦИИ)
n РЕЗЕКЦИИ PANCREAS
n КОРПОРОКАУДАЛЬНАЯ
n ПАНКРЕАТОДУОДЕНАЛЬНАЯ
n ПАНКРЕАТЭКТОМИЯ (ПРИМЕНЯЕТСЯ ПРИ ПРОДОЛЖИТЕЛЬНОМ БОЛЕВОМ СИНДРОМЕ И ПРИЗНАКАХ ОЗЛОКАЧЕСТВЛЕНИЯ ПРОЦЕССА)









КИСТЫ ПОДЖЕЛУДОЧНОЙ ЖЕЛЕЗЫ. КЛАССИФИКАЦИЯ
n ВОСПАЛИТЕЛЬНЫЕ:
- РЕТЕНЦИОННЫЕ
- ПСЕВДОКИСТЫ (СТЕНКИ КИСТЫ - САЛЬНИКОВАЯ СУМКА)
n ВРОЖДЕННЫЕ (ДЕРМОИД)
n ПАРАЗИТАРНЫЕ
n ОНКОКИСТЫ
Стадии развития кисты
n ДО 1,5 МЕСЯЦЕВ (КОНСЕРВАТИВНОЕ ЛЕЧЕНИЕ) ДО ДО 3 MEC (КOHCEPBATИBHOE ЛЕЧЕИЕ, A ПРИ НАГНОЕНИИ НАРУЖНОЕ ДРЕНИРОВАНИЕ)
n 3 МЕСЯЦА-- ГОД - ВНУТРЕННЕЕ ДРЕНИРОВАНИЕ (ЦИСТО-ЭНТЕРО, ЦИСТОГАСТРОАНАСТОМОЗ)
n МИНИИНВАЗИВНОЕ ДРЕНИРОВАНИЕ И СКЛЕРОХИРУРГИЯ
n БОЛЕЕ ГОДА - ВОЗМОЖНО УДАЛЕНИЕ КИСТЫ.



ПАНКРЕАТИЧЕСКИЕ СВИЩИ КЛАССИФИКАЦИИ
n ЛОЖНЫЕ - НАЛИЧИЕ СЕКВЕСТРОВ TКAHИ PANCREAS ПОСЛЕ ПЕРЕНЕСЕННОГО ПАНКРЕОНЕКРОЗA
n ИСТИННЫЕ СВИЩИ - ПРИ ПОВРЕЖДЕВИИ ПРОТОКОВОЙ СИСТЕМЫ PANCREAS
n НАРУЖНЫЕ
n ВНУТРЕННИЕ
ЛЕЧЕНИЕ
n РЕЗЕКЦИЯ СВИЩА (КАК ПРАВИЛО МАЛОЭФФЕКТИВНА)
n РЕЗЕКЦИЯ PANCREAS (ПРИ ЛОКАЛИЗАЦИИ В ХBOCTE ИЛИ TEЛЕ PANCREAS)
n АНАСТОМОЗЫ С ПОЛЫМИ ОРГАНАМИ
n ВТОРИЧНЫЙ ПАНКРЕАТИТ
n (В ЗАВИСИМОСТИ ОТ ЭТИОЛОГИЧЕСКОГО ФАКТОРА): ПРИ ЖКБ И ЕЕ ОСЛОЖНЕНИЯХ ХОЛЕЦИСТЭКТОМИЯ С ДРЕНИРОВАНИЕМ ВНЕПЕЧЕНОЧНЫХ ПРОТОКОВ
n ВНУТРЕННЕЕ ДРЕНИРОВАНИЕ ВНЕПЕЧЕНОЧНЫХ ЖЕЛЧНЫХ ПРОТОКОВ:
n БИЛИОДИГЕСТИВНЫЕ АНАСТОМОЗЫ
n ПАПИЛЛОСФИНКТЕРОТОМИЯ
n ВТОРИЧНЫЙ ПАНКРЕАТИТ
ПРИ 3AБОЛЕВАНИЯХ ЖКТ:
n ЯЗВЕННАЯ БОЛЕЗНЬ - РЕЗЕКЦИЯ ЖЕЛУДКА, ВАГОТОМИЯ В РАЗЛИЧНЫХ МОДИФИКАЦИЯХ,
n ДУОДЕНОСТАЗ – ДУОДЕНОЕЮНОСТОМИЯ, ОПЕРАЦИЯ СТРОНГА (НИЗВЕДЕНИЕ ДВЕНАДЦАТИПЕРСТНО-ТОНКОКИШЕЧНОГО ИЗГИБА)
n ДИВЕРТИКУЛЫ (ЭФФЕКТИВНОСТЬ ДО 40 %)
А) РЕКОНСТРУКТИВНЫЕ ОПЕРАЦИИ (ГЕПАТИКО-ДУОДЕНО ИЛИ -ЕЮНОСТОМИЯ)
Б) ВЫКЛЮЧЕНИЕ ИЗ ПАССАЖА ПИЩИ DUODENUM
Средства: мультимедийное оснащение, кодограммы, демонстрация больных.
Рекомендуемая литература:
1. Хирургические заболевания органов брюшной полости. Гастроэнтерологический модуль: учебно-метод. пособие для студентов 5 курса лечеб., педиатр. и медико-профилакт. фак. / под ред. ; ГОУ ВПО КГМУ Федерал. агентства по здравоохранению и соц. развитию, Каф. хирург. болезней №1. – Курск: КГМУ, 2006. – 103 с.: ил.
2. , Федоров поджелудочной железы. М., Медицина, 1995.
3. Бэнкс. Панкреатит (перевод с английского).М., 1982
4. с соавт. Заболевания поджелудочной железы. М., 1995



