В 93 случаях из 250, повреждения СКА сочетались с изменениями костных структур сустава, 48 из которых - переломы, диагносцированные по месту первичного обращения.
Появление современных методов лучевого исследования продемонстрировало новые, широкие возможности диагностики травм ГС, однако пока практически повсеместно применяется РГ, что связано с ее доступностью и технической простотой использования.
Основными проекциями при выполнении РГ снимков области ГС, являются прямая и боковая. Но могут быть дополнены произвольными проекциями. Т. е. основным правилом при выполнении рентгенологического исследования ГС является полипозиционность.
МРТ обладает высокой степенью контрастного разграничения мягких тканей и высокой точностью демонстрации анатомических структур ГС как в норме, так и при патологии. По сравнению с другими методами исследования в диагностике различных патологий, МРТ обладает целым рядом преимуществ – «подавление» жировой ткани, использование контрастного исследования, увеличивающим точность диагноза при посттравматических изменениях.
Патологические изменения ГС при МРТ выявляются на основании различий интенсивности сигнала нормальных и патологических тканей. Главные элементы являются пространственное разрешение и размер пиксела. Параметрами, обуславливающими размер пиксела, и основные технические параметры сканирования являются:
· три плоскости: аксиальная, коронарная (фронтальная) и саггитальная;
· импульсные последовательности: SE Т2, TR = 2000 мс, TE = 30 мс (первое эхо) TE = 140 мс (второе эхо) SE T1, GE, FAT-SAT, FSE, STIR;
· FOV =17-20 см, матрица = 256х192;
· толщина срезов = 3 мм;
· интервал между срезами = 0,5 мм в аксиальной, фронтальной и саггитальной плоскостях.
Использование 3 плоскостей сканирования, дополняя друг друга, позволяют избежать ошибок, связанных с артефактами, обусловленными малыми размерами исследуемых структур. Иногда исследование дополнялось произвольными плоскостями сканирования.
Количество срезов выбиралось в зависимости от размеров исследуемого ГС, зоны интереса и толщины самого среза. Принятая толщина среза - 3-3,5 мм. Число срезов в одной плоскости сканирования достигало 14-16.
Суммарное время сканирования не зависит от типа МРТ (высокопольная или низкопольная система) и находится в пределах 15-25мин. Оно может быть сокращено за счет использования срезов большей толщины (3,5 - 4 мм) и/или увеличения интервалов между срезами (1,5мм).
КТ - высокочувствительнй метод исследования, обеспечивающим аксиальное изображение ГС как в костном, так и в мягкотканом режимах. При обследовании использован спиральный рентгеновский компьютерный томограф (КТ) "HiSpeed NSi" производства GE. Условия сканирования:
· аксиальная проекция;
· спиральное сканирование (helical scan);
· толщина сканируемого слоя 3 мм, перекрытие 1,5 мм;
· использование костного и/или мягкотканного фильтра;
· при обработке результатов выполнялась 2D и/или 3D реконструкция.
Развитие электронных датчиков на современном этапе увеличило возможности УЗИ. УЗИ ГС в последние годы приобрело особое внимание специалистов. В настоящее время признаётся роль этой технологии в оценке и выявлении целого ряда патологий ГС, и нередко заменяющей МРТ в диагностике повреждений сухожилий и суставов.
В данной работе использованы ультразвуковые аппараты Aloka 5000 и Kretz Technik.
Третья глава – «Лучевая визуализация структур голеностопного сустава в норме».
На основе комплексного лучевого обследования структур ГС установлено, что РГ является достаточно информативным методом для визуализации костных составляющих ГС. За пределами возможности этого метода остается отображение мягкотканых структур.
УЗИ с применением современных методик позволяет хорошо визуализировать практически все отделы ГС, за исключением губчатого вещества костей, а также внутрисуставные элементы сустава.
Спиральная КТ открывает широкие возможности детального изучения костных структур, а также крупных сухожилий. Данный метод имеет явное преимущество перед классической рентгенографией в плане исследования костной структуры благодаря возможности получения послойных срезов, но уступает своими возможностями МР-исследованию.
Наиболее важным методом лучевой диагностики, который зачастую может заменить РГ, УЗИ и КТ, является МРТ. Высокая контрастность и чувствительность, а также возможность получения серии послойных изображений в различных плоскостях сканирования, ставят МРТ на первое место для визуализации in vivo мягкотканых структур ГС.
Четвертая глава «Лучевая семиотика травматических повреждений структур голеностопного сустава»
Для наглядности изложения материала, все наблюдаемые нами повреждения сустава объедены в группы:
ГРУППА 1 - ОСТРЫЕ ТРАВМАТИЧЕСКИЕ ПОВРЕЖДЕНИЯ ГС
1. повреждения связочного аппарата ГС
2. повреждения костных структур (контузионные изменения, импрессионные переломы, оскольчатые переломы)
3. тендовагинит
4. синдром таранного синуса
5. посттравматический рассекающий остеохондрит
ГРУППА 2 – ПОВРЕЖДЕНИЯ АХИЛЛОВА СУХОЖИЛИЯ
ГРУППА 3 – ДРУГИЕ ИЗМЕНЕНИЯ, СВЯЗАННЫЕ КАК С ТРАВМОЙ, ТАК И С ЗАБОЛЕВАНИЯМИ В ОБЛАСТИ ГС.
1. объемные образования костей, образующих ГС.
2. костные деформации – как следствие хронических или острых заболеваний.
Повреждения связок.
Полные и частичные разрывы связок одно из самых часто встречающихся повреждений опорно-двигательного аппарата, проявление которых связано с нарушением двигательной функции сустава и нередко патологическая подвижность. Следует отметить, что при переломах костей, при вывихах в суставе, связки неотъемлемо повреждаются.
Наиболее информативными плоскостями сканирования для диагностики повреждения боковых связок являются аксиальная и коронарная; саггитальная - дает лишь возможность предположить повреждение.
|
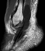
| РИС 1. Саггитальная плоскость сканирования. Т1 и Т2 ВИ. Стрелками указаны повышенное скопление жидкости в переднем и заднем заворотах, в полости суставов – большеберцово-таранном и таранно-пяточном. |
Наиболее часто повреждаются наружные боковые связки. Но и внутренние связки так же нередко являются объектом внимания врачей-травматологов, особенно если внутренние связки комбинируются с разрывами наружных.
При МР-томографии интенсивность сигнала задней малоберцово-таранной связки повышена на Т2 ВИ, контуры прерывисты.
|
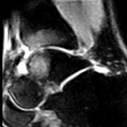
| Рис 2. Аксиальная и коронарная плоскости сканирования. Т2 ВИ. Стрелкой показан полный разрыв задней малоберцово-таранной связки. В коронарной плоскости (б) можно лишь предположить наличие повреждения, а на аксиальной (а) это полностью подтверждено. | ||||
|
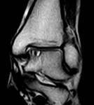
| Рис 3. Саггитальная плоскость сканирования. Т2 и Т1 ВИ. Стрелками указаны повышенное скопление жидкости в переднем и заднем заворотах, в полости суставов – большеберцово-таранном и таранно-пяточном. Повреждение каких-либо связок можно лишь предположить. |
|
|
Рис. 4. Левый – полный разрыв задней малоберцово-таранной связки (стрелкой показана часть связки в точке фиксации к малоберцовой кости). Правый – гематома в зоне повреждения (×). |
|
Как было указано во второй главе -,2 %) пациентам дообследование в ДКЦ№1 выполнялось с уже установленным ранее переломом и по окончании лечения, т. е. после консолидации перелома, но с выраженными жалобами на боли в области ГС.
|
|
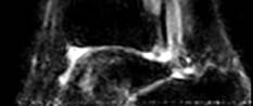
| Рис. 5. Разрыв передней большеберцово-таранной связки; признаки консолидации перелома внутренней лодыжки (белая стрелка). |
Повреждения костей, образующих голеностопный сустав.
В структуре костных повреждений выделены две основные группы. Первая - контузионные изменения губчатого вещества кости, без нарушения целостности замыкательной кортикальной пластинки. Вторая - повреждения костей, сопровождающиеся нарушением целостности кортикальной пластинки.
Контузионные изменения костей.
Рентгенография позволяет выявлять лишь грубые повреждения кости в виде явного перелома, тогда как контузионные изменения остаются за пределами возможности метода.
При КТ, в зависимости от степени выраженности отёка, определяется умеренное понижение плотности (градиент плотности 80-100 ед. Н) губчатого вещества кости. Часто столь низкая разница в плотности не позволяет заподозрить патологические изменения губчатого вещества при КТ. И только зная результаты предварительно проведенного МР-исследования, можно обратить внимание на зону интереса и выявить данные изменения.
При МР-исследовании в 45 случаях нами были выявлены явления посттравматического отёка губчатого вещества костей, выражающиеся в негомогенном повышении МР-сигнала в Т2 ВИ. В 28 случаях эти изменения отмечены в условиях отсутствия нарушения целостности костной кортикальной пластинки, а в 17-ти - в сочетании с переломом, как правило импрессионным и не выявляемым при РГ. Чаще всего контузионные изменения были выявлены в области таранной кости.
| Рис 6. Структура таранной кости (внутренняя часть) неоднородна за счет включений диффузного сигнала высокой интенсивности на Т2 ВИ (стрелки), кортикальный слой сохранен. а – б/берцовая кость, б – таранная кость. |
Оскольчатые переломы.
Сложность интерпретации при РГ оскольчатых переломов ГС объясняется эффектом «суммации» изображения, т. е. наслоением на рентгенограмме различных отделов костей.
Деформация и нарушение целостности кортикальной пластинки с перифокальным субкортикальным отёком губчатого вещества, заключающегося в изменении МР-сигнала, являются основными признаками оскольчатых переломов костных составляющих ГС.
|
Наружный край суставной поверхности таранной кости содержит субкортикальный сигнал высокой интенсивности на Т2 (низкий - на Т1 ВИ), округлой формы, диаметром до 2мм., без четких контуров (белая стрелка). Синовиальные оболочки длинного сгибателя большого пальца и сухожилия короткой малоберцовой мышцы утолщены, содержат сигнал высокой интенсивности на Т1 и Т2 ВИ (красные стрелки). а – таранная кость; б – малоберцовая кость. Импульсные последовательности: SE, Gre-Stir, TSE нативно, с плоскостями сканирования: ax, cor, sag. |
При выявлении на МРТ костных изменений, следующим этапом диагностического поиска являлось использование КТ, а также 2 и 3D реконструкции полученных данных.
|
| Рис 8. СРКТ HiSpeed с шагом томографа 3 мм и 3D реконструкция. По передне-наружной поверхности (стрелка) большеберцовой кости визуализируется свободнолежащий костный отломок размером 15х15.4х7.2 мм. а – малоберцовая кость. б – большеберцовая кость. |
Тендовагинит.
Воспаление синовиальной оболочки сухожильного влагалища, причиной развития которого обычно являются периодические небольшие травмы или серьезная единичная травма сухожилия (Рис).
При МР-томографии выявляется в синовиальном влагалище сухожилия м/берцовой мышцы значительное скопление жидкости.
Синдром таранного синуса.
При травмах, вследствие отека, большеберцовый нерв может ущемляться.
Заболевание не проявляется при рентгенологическом исследовании.
|
|
| ||||||||
Рис 10. Саггитальная (Т1 и Т2 ВИ) и аксиальная плоскости сканирования. Интенсивность сигнала межкостных связок таранного синуса (стрелка) повышена на Т2 ВИ (снижена на Т1). а – большеберцовая кость. б – таранная кость. в – пяточная кость. |
Посттравматический рассекающий остеохондрит.
Основанием для диагноза явилось выявление локальных очагов деструкции суставных поверхностей, свободных костных и хрящевых фрагментов в суставной полости. С целью уточнения распространенности процесса в костной ткани всем этим больным была проведена КТ. При этом у 11 пациентов изменения были обнаружены только в таранной кости, у 4 - в большеберцовой, а у двух больных изменения наблюдались как в таранной, так и в большеберцовой костях.
|
|
|
| |||
Рис 11. По переднему краю б/б и тела таранной костей (стрелка) - сигналы высокой интенсивности на Т2 (низкий - на Т1 ВИ), округлой формы, с четкими контурами и 2D реконструкция, где виден участок костной деструкции (а). |
По нашему опыту, методом выбора в диагностике РО является МРТ и не зависит от степени напряженности магнитного поля
Кисты костей.
Костная киста - патологическое состояние, характеризующееся образованием полости в костной ткани, в основе которого - локальное нарушение внутрикостного кровообращения, возникающее нередко в результате травмы.
|
|
|
Рис 12. Выявлено: по внутренней поверхности таранной кости дефекты в виде наличия полостей овальной конфигурации, с четкими плотными краями (стрелки). СРКТ HiSpeed с шагом томографа 3 мм |
Для оценки степени распространенности процесса в костной ткани произведена КТ.
В результате комплексного исследования 250 больных выявлено, что рентгенография – информативный метод исследования костных компонентов голеностопного сустава, исключая его мягкотканые и хрящевые структуры. Ультразвуковое исследование позволяет визуализировать наружный кортикальный слой костных составляющих и внесуставные стабилизаторы, кроме гиалинового хряща сустава. Рентгеновская компьютерная томография обеспечивает максимальные возможности изучения костных составляющих сустава. Магнитно-резонансная томография является универсальным методом визуализации всех структур голеностопного сустава.
Информативность методов лучевой диагностики.
Для изучения информативности методов ЛД при исследовании ГС у 250 пациентов с различными клинико-морфологическими проявлениями, была определена частота травматических повреждений анатомических структур сустава и возможность их выявления с помощью каждого метода.
В качестве референтного метода при повреждениях костных структур сустава использовали КТ, а при повреждениях мягкотканых структур МРТ.
Проводилась сравнительная оценка информативности методов лучевой диагностики для выявления травматических повреждений ГС. Для этого использовались критерии оценки информативности методов: чувствительность и специфичность. Расчет этих критериев производился по формулам:
1. Чувствительность – ИП/(ИП+ЛО)
2. Специфичность - ИО/(ИО+ЛП)
ИП - истинно-положительные результаты
ИО - истинно-отрицательные результаты
ЛП – ложно-положительные результаты
ЛО – ложно-отрицательные результаты
Область ГС условно поделена нами на 3 основных составляющих: костный комплекс, суставная полость, а также комплексы внесуставных стабилизаторов – внутреннего и наружного.
Краевые оскольчатые переломы, переломы импрессионного типа суставных поверхностей таранной и большеберцовой кости выявляются только при комплексном использовании МРТ и КТ. При этом чувствительность КТ в диагностике данной патологии равна 100%, а МРТ - 96%. Отметим, что из 202 пациентов, у которых в результате комплексного дообследования на втором этапе лучевого исследования была выявлена патология костной ткани, ни у одного при РГ не были обнаружены костные повреждения. Причем, даже ретроспективный анализ имеющихся рентгенограмм с имеющимися результатами КТ и МРТ не обнаружил каких-либо признаков нарушения кортикального слоя кости. У 48 пациентов костные повреждения были выявлены на этапе первичного обследования, т. е. в травматологическом пункте. Таким образом, чувствительность классической рентгенографии для визуализации данных видов повреждения костной ткани составила 48%. Отметим, что чувствительность РГ оказалась нулевой в распознавании стадий рассекающего остеохондрита и посттравматической хондромаляции.
При совместном использовании МРТ и УЗИ у 48 пациентов повышенный уровень жидкости в полости сустава был выявлен в 100%. Чувствительность КТ при выявлении выпотов в полости сустава составила 93%, специфичность 66%. РГ в данной ситуации оказалась неинформативной.
В диагностике травматических повреждений комплекса наружных стабилизаторов чувствительность МРТ составила 100%, специфичность 100%. Соответствующие характеристики УЗИ при применении режима тканевой гармоники и трехмерной реконструкции с ультразвуковой ангиографией составили 97% и 88%. Результативность КТ и РГ в этих случаях, по нашим данным, равны нулю. При травматических повреждениях внутренних стабилизаторов информативность МРТ составила: чувствительность 100%, специфичность 88%; УЗИ при применении режима тканевой гармоники и трехмерной реконструкции с ультразвуковой ангиографией составила: чувствительность 97%, специфичность 89%. Чувствительность и специфичность КТ и РГ в той ситуации оказались предельно низкими.
Полученные данные представлены в виде сводной таблицы (таб. 6).
Таблица 6. Информативность методов ЛД в визуализации травматических изменений структур ГС:
| РГ | КТ | УЗИ | МРТ | ||||||
| ч | с | ч | с | ч | с | ч | с | ||
Костные составляющие | 48% | 98% | 100% | 100% | 18% | 23% | 96% | 92% | ||
Внесуставные стабилизаторы | 0% | 22% | 6% | 31% | 93% | 89% | 100% | 100% | ||
СГХ | 1,1% | 12% | 5% | 18% | 85% | 64% | 100% | 100% | ||
С - специфичность. Ч – чувствительность. | ||||||||||
В таблице 6 приведены средние арифметические показатели информативности методов ЛД при визуализации костных составляющих, СГХ сустава и внесуставных стабилизаторов.
Достоверность выявления травматических повреждений составляющих ГС различными методами ЛД можно представить в виде таблицы 7.
Таблица 7. Достоверность методов ЛД в визуализации травматических изменений структур КС
РГ | КТ | УЗИ | МРТ | |
Костные составляющие сустава | ||||
Контузионные изменения костей | - | - | - | + + + |
Импрессионные переломы | + + | + + + | - | + + + |
Оскольчатые переломы | + + | + + + | + | + + + |
Травматические изменения СГХ | ± | + | ± | + + + |
Посттравматический РО | - | + + | ± | + + + |
Повреждения боковых статических и динамических стабилизирующих структур ГС | ||||
Комплекс внутренних боковых стабилизаторов | - | - | + + | + + + |
Комплекс наружных боковых стабилизаторов | - | - | + + | + + + |
Суммируя представленные в таблице сведения, можно заключить, что среди всех методов ЛД МРТ является наиболее информативным и универсальным для выявления повреждений всех структур ГС.
Предлагаемая программа первичного лучевого обследования пациентов с травмой области голеностопного сустава.
Разработка диагностического алгоритма предусматривала определение показаний в оптимальной последовательности применения лучевых методов исследования при травмах области ГС в зависимости от клинических проявлений. На основании анализа результатов проведенных исследований складывается общая схема последовательности действий при обследовании пациентов, перенесших травму области ГС (см. схему).
Таким образом, основываясь на данных первичного врачебного осмотра и выявления ведущего симптома, дальнейшее целенаправленное применение наиболее достоверного в данном клиническом случае из существующих в настоящее время методов лучевой диагностики обуславливает максимальную эффективность диагностического процесса. Использование «Оттавских правил» на этапе первичного клинического осмотра позволило снизить количество неоправданных рентгенографий ГС.


Таким образом оснащение структурного подразделения, занимающегося диагностикой травматических повреждений области ГС, УЗИ аппаратом, МРТ, а также КТ обеспечивает максимальную результативность обследования больных данного профиля.
Пятая глава - «Использование цифровых технологий для повышения эффективности диагностики при травмах голеностопного сустава» - показана роль цифровых технологий в повседневной работе врача лучевой диагностики, возможность сети Интернет для оказания консультативной помощи при травмах ГС.
В процессе работы выполнено следующее:
1. Оборудовано дополнительное АРМ врача отделения компьютерной томографии ДКЦ №1 с цифровым архивом обследованных пациентов.
2. На сайте НПЦ медицинской радиологии (www. rpcmr. *****) существует специальный раздел «Наши консультации», на котором в подразделе «Травматические повреждения голеностопного сустава» представлен ряд клинических случаев.
В состав дополнительно оборудованного АРМ на базе персонального компьютера IBM Think Centre в отделении лучевой диагностики ДКЦ №1 входят:
§ системный блок в составе: материнская плата с процессором Intel Pentium-4, тактовая частота которого 2,66 Ггц, и модулем оперативной памяти 512 Мб, винчестер емкостью 120 Гб;
§ оптический DVD-RW привод, предназначенный для записи изображений и сопутствующей информации на CD-R или DVD-R диски;
§ монитор IBM Think Vision с пространственной разрешающей способностью 1600х1200 точек и экраном размером 21˝;
Дополнительно установленный АРМ работает под управлением операционной системы Microsoft Windows XP. Для протоколирования данных исследования используется пакет прикладных программ Microsoft Office XP Professional.
Полученные изображения, а также заключения могут архивироваться на жестких дисках ПК или основного сервера ДЦ, а также на оптических CD-R дисках. Хранение медицинских изображений осуществляется в соответствии с требованиями международного стандарта DICOM 3.0. Печатающее устройство - мультиформатная камера “Kodak Dry view 8100” фирмы “Kodak”, предназначенная для печати изображений «сухим способом». Носителем информации является фотопленка “Kodak Dry view” фирмы “Kodak”.
Для того, чтобы снизить суммарные затраты на оборудование и программное обеспечение электронного архива, предлагается его строить по двухуровневой схеме. Архив верхнего уровня должен хранить информацию, используемую в ЛПУ, которая хранится на носителях, обеспечивающих максимально быстрый доступ к данным, например, на жестких дисках рабочих станций ввиду их ограниченной емкости. Дополнительно необходимо использовать внешние накопители CD-R/RW или магнитооптические диски.
В случаях использования пленочного рентгеновского аппарата помимо МРТ или РКТ, целесообразно представить результаты в цифровом виде для быстроты и удобства использования. Для этого в состав оборудования входит устройство оцифровки рентгеновских пленок всех типоразмеров Vidar VXR-12 plus Film Digitizer. При использовании специализированных программ, отсканированные изображения подвергались математической обработке с целью повышения их диагностической информативности и, после этого, помещались в базу данных.
Подобный подход позволяет объединить данные исследования и записать сформированный архив на CD-диск, который остается у пациента. Цифровой архив позволяет существенно уменьшить время врача на анализ медицинских изображений и использовать его в различных телеконференциях.
При последующих обращениях пациенту достаточно иметь при себе данный CD-диск вместо большого количества данных на рентгеновской пленке. По мере уменьшения диагностической значимости информации ее переносят на более низкий уровень хранения с более дешевыми носителями на магнитной основе (магнитные диски и лента). На нижнем уровне архивирования целесообразно использовать устройства считывания/записи для магнитных лент с последовательным доступом (стримеры), которые позволяют создавать архивы емкостью до нескольких гигабайт на одной ленте. По истечении директивного срока хранения информации, ее переносят в постоянный архив второго уровня, из которого изображения можно быстро восстановить. В случае уточнения диагноза приходится использовать ресурсы сети Интернет.
Под телемедициной понимают передачу на расстояние медицинской информации. Одним из её разделов является «телерадиология», где переданная из одного ЛПУ информация принимается и анализируется в другом ЛПУ.
Сеть Интернет предоставляет большие возможности для проведения дистанционных консультаций. Информация выкладывается на сайт учреждения, и все заинтересованные получают к ней доступ. Подобный проект реализуется и в НПЦ медицинской радиологии Департамента здравоохранения г. Москвы с 1999 года. Данный подраздел сайта может быть полезен как в повседневной практике врача любой специализации, так и в процессе обучения студентов и переподготовки специалистов.
Т. о. можно выделить следующие ключевые моменты:
§ цифровые технологии и автоматизированные рабочие места значительно повышает эффективность диагностики, снижая время проведения исследования;
§ двухуровневый электронный архив позволяет снизить затраты на его создание и ускоряет доступ к необходимой информации для специалистов любого профиля;
§ использование сети Интернет для решения задач дифференциальной диагностики, удаленных консультаций, а также в интересах педагогического процесса и переподготовки специалистов подтвердило перспективность и эффективность данного направления.
ВЫВОДЫ
1. Анализ эффективности I этапа обследования больных, перенесших травму области ГС (травматологический пункт), показал, что рентгенография – информативный метод исследования костных компонентов голеностопного сустава, исключая его мягкотканые и хрящевые структуры. Ультразвуковое исследование позволяет визуализировать наружный кортикальный слой костных составляющих и внесуставные стабилизаторы, кроме гиалинового хряща сустава. Рентгеновская компьютерная томография обеспечивает максимальные возможности изучения костных составляющих сустава. Магнитно-резонансная томография является универсальным методом визуализации всех структур голеностопного сустава. На стадии дообследования 250 больных с травматическими повреждениями голеностопного сустава определена диагностическая эффективность каждого метода лучевой диагностики. Установлено, что чувствительность и специфичность рентгенографии составляет 48% и 98%, ультразвукового исследования – 64% и 59%, рентгеновской компьютерной томографии – 100% и 100%, магнитно-резонансной томографии – 100% и 100% соответственно.
2. Среди больных с выявленными на I первом этапе костными повреждениями, исключенных из дальнейшего дообследования, часто обнаруживаются травматические повреждения мягкотканых компонентов ГС. Будучи «пропущенными» эти изменения являются причиной ухудшения качества жизни пациентов вплоть до их инвалидизации.
3. Разработан алгоритм обследования при травме голеностопного сустава, основанный на данных первичного клинического осмотра и «Оттавских правилах», позволяющий выбирать наиболее эффективную последовательность применения методов лучевой диагностики и минимизировать необоснованное назначение рентгенографии. Использование алгоритма расширяет сферу своевременного выполнения артроскопических вмешательств и в целом повышает результативность хирургического лечения.
4. Создан электронный архив, в составе которого объединена медицинская информация обо всех выполненных исследованиях при травмах голеностопного сустава, а также сформирован консультативный раздел на официальном Интернет-сайте НПЦ медицинской радиологии, посвященный визуализации данной патологии с детальным разбором клинических наблюдений.
Практические рекомендации
1. В подразделениях лучевой диагностики лечебно-профилактических учреждений, занимающихся первичным обследованием пациентов с травмой области голеностопного сустава, целесообразно использование предложенного диагностического алгоритма.
2. Табель оснащения этих подразделений должен включать в себя следующие рабочие места:
- аппарат для выполнения рентгенографии, желательно цифровой;
- УЗИ – аппарат с возможностями панорамного и трехмерного сканирования;
- рентгеновский компьютерный томограф, желательно с возможностью спирального сканирования;
- магнитно-резонансный томограф (общего типа или специализированный).
3. Требования к лицензированию травматологических лечебно-профилактических учреждений в части работы подразделений лучевой диагностики должны выйти за рамки предоставления документов, свидетельствующих о профессиональной безопасности, и распространиться на вопросы кадрового и материально-технического соответствия обслуживаемому клиническому направлению.
4. Существующие учебные планы и учебные программы профессиональной переподготовки и усовершенствования специалистов по лучевой диагностике целесообразно дополнить сведениями о современных возможностях распознавания травматических изменений голеностопного сустава.
Список опубликованных работ по теме диссертации:
«Роль рентгенографии, компьютерной рентгеновской томографии и магнитно-резонансной томографии в диагностике рассекающего остеохондрита голеностопного сустава». Скорая медицинская помощь. Российский научно-практический журнал. 2003г. №3. Стр. 72. , «Диагностическая информативность классической рентгенорафии, спиральной компьютерной томографии и магнитно-резонансной томографии в диагностике травматических повреждений голеностопного сустава». НПЦ МР ДЗ г. Москвы КДЦ №1 г. Москвы. V научно-практическая конференция. Современные тенденции комплексной диагностики и лечения скелетно-мышечной системы. 10-11 июня 204г. с. 189. «Сравнительная оценка эффективности магнитно-резонансной томографии, спиральной рентгеновской компьютерной томографии и рентгенографии при травматических повреждениях голеностопного сустава». Москва, издательство Российского университета дружбы народов.Травматология и ортопедия: современность и будущее. Материалы международного конгресса Стр 382.
«Диагностическая информативность рентгенографии, спиральной рентгеновской компьютерной томографии и магнитно-резонансной томографии в диагностики травм голеностопного сустава». Актуальные вопросы лучевой диагностики в травматологии, ортопедии и смежных дисциплинах Материалы научно-практической конференции, г. Курган, 2003г. Стр. 140. «Использование цифровых технологий для повышения эффективности диагностики при травмах голеностопного сустава». «Радиология и практика», №4, 2008г.
|
Из за большого объема этот материал размещен на нескольких страницах:
1 2 |
























