На правах рукописи
КРУГЛОВА ИРИНА ИОСИФОВНА
ОПТИМИЗАЦИЯ
УТОЧНЯЮЩЕЙ ДИАГНОСТИКИ РАКА ЖЕЛУДКА
С ИСПОЛЬЗОВАНИЕМ ЭНДОСОНОГРАФИИ
14.00.14 – онкология
АВТОРЕФЕРАТ
диссертации на соискание ученой степени
кандидата медицинских наук
Уфа – 2009
Работа выполнена в Государственном образовательном учреждении высшего профессионального образования «Самарский государственный медицинский университет Федерального агентства по здравоохранению и социальному развитию».
Научный руководитель: доктор медицинских наук, профессор
Официальные оппоненты: доктор медицинских наук, профессор
кандидат медицинских наук,
Ведущая организация: Федеральное государственное учреждение «Московский научно-исследовательский онкологический институт им. Федерального агентства по высокотехнологичной медицинской помощи»
Защита состоится « ____» ______________ 2009 года в ____ часов на заседании диссертационного Совета Д 208.006.04 при Государственном образовательном учреждении высшего профессионального образования «Башкирский государственный медицинский университет Федерального агентства по здравоохранению и социальному развитию» .
С диссертацией можно ознакомиться в библиотеке Государственного образовательного учреждения высшего профессионального образования «Башкирский государственный медицинский университет Федерального агентства по здравоохранению и социальному развитию» г. Уфа, ул. .
Автореферат разослан «____» ____________ 2009 г.
Ученый секретарь диссертационного совета,
доктор медицинских наук
ОБЩАЯ ХАРАКТЕРИСТИКА РАБОТЫ
Актуальность темы. Оптимизация диагностики рака желудка (РЖ) продолжает оставаться одной из важных проблем онкологии (, 2004; и соавт., 2005; Narisawa R. et al., 2008).
Одним из главных факторов, определяющих высокую летальность от рака желудка, является его поздняя диагностика, когда распространенность процесса соответствует III-IV стадиям. Пятилетняя выживаемость в этой группе пациентов составляет не более 12% (Rembacken B. J., Gotoda T., 2001), в то время как при I стадии процесса этот показатель колеблется в пределах 90-95% ( и соавт.,2000, Yoshida S.,1998). В этой связи важным является поиск новых подходов в области диагностики его ранних форм. Кроме этого, в современной онкологии остаются до конца не решенными вопросы максимально точной оценки степени распространения рака желудка и его дифференциации с новообразованиями других гистологических типов в целях выбора адекватного и эффективного метода лечения (, 2000).
Традиционные методы диагностики рака желудка, такие как рентгенологическое исследование с двойным контрастированием бариевой взвесью и гастроскопия с биопсией имеют определенные ограничения. Ими невозможно выявить внутристеночное распространение опухоли, её структуру и установить слой, из которого она исходит.
Прогресс в выявлении ранних форм и уточняющей диагностике распространенных форм РЖ связан с внедрением в практику таких перспективных методик, как видеогастроскопия, увеличительная и узкоспектральная эндоскопия, а также эндосонография (, 2005, и соавт., 2005; Dancygier H., 1994). Эндоскопическое ультразвуковое исследование может быть эффективным в определении глубины опухолевой инвазии стенки желудка. Оно позволяет выявить увеличение лимфатических узлов и по определенным критериям с высокой долей вероятности сделать предположение об их доброкачественной гиперплазии либо метастатическом характере (Catalano M. F., 1994, Van Dam J. et. al.,1999).
Однако в настоящее время эндосонография проводится, как правило, в крупных научно-исследовательских институтах онкологии, и в основном на стационарном этапе пребывания больного. Подобная ситуация, сложившаяся не только в России, но и в других странах (Mark Ingram et. al.,2004), объясняется тем, что этот метод является одним из наиболее трудно - и интеллектуальноёмких эндоскопических методик. Сложность обусловлена как техническими аспектами «идеального» выполнения (корректного выведения исследуемых объектов относительно анатомических ориентиров), так и необходимостью постоянного отделения патологических объектов от нормальных структур при динамически меняющейся в ходе исследования специфической, непривычной для врача-эндоскописта сонографической картины (, , 2009).
До настоящего времени многие вопросы, касающиеся применения эндосонографии в уточняющей диагностике рака желудка, не решены. В частности, ограничен или отсутствует анализ её возможностей в оценке границ и глубины инвазии при различных типах и формах роста рака желудка, нет исчерпывающих сведений об их эндосонографической семиотике. Не определена значимость этого метода в дифференциальной диагностике различных видов опухолевой и предопухолевой патологии желудка и её роль в выборе способа биопсии. Не рекомендован индивидуальный подход к выполнению эндосонографии различными методиками в зависимости от локализации и распространения опухоли.
Все вышеизложенное свидетельствует о необходимости проведения настоящего исследования для детального изучения возможностей ультразвуковой эндоскопии как уточняющего метода диагностики рака желудка.
Цель работы: повышение эффективности диагностики раннего и распространенного рака желудка эндосонографическим методом.
Задачи исследования:
1. Описать эндосонографическую семиотику при различных типах раннего и формах распространенного рака желудка.
2. Оценить возможности эндосонографии в диагностике раннего рака желудка.
3. Провести анализ диагностической эффективности эндосонографии при распространенном раке желудка в сравнении с результатами послеоперационного гистологического материала.
4. Определить роль эндосонографии в дифференциальной диагностике рака и других новообразований желудка.
5. Разработать алгоритмы диагностики раннего и распространенного рака желудка с применением эндосонографии.
Научная новизна исследования. Разработан и обоснован новый подход к диагностике злокачественных опухолей желудка путем применения эндосонографии. Созданы и апробированы алгоритмы диагностики раннего и распространенного рака желудка с использованием этого метода (внесено два рационализаторских предложения № 32 и №33 от 11.г.).
Описаны показания к использованию различных методик эндосонографии в зависимости от локализации и характера найденной патологии (рационализаторское предложение №34 от 11.г.).
На клиническом материале обобщена, проанализирована, сопоставлена с морфологическими данными и детально описана эндосонографическая семиотика различных типов раннего и форм распространенного рака желудка, а также других заболеваний желудка, с которыми следует проводить дифференциальную диагностику. Полученные данные позволили определить возможности эндосонографии в уточняющей и дифференциальной диагностике рака желудка, изучить основные причины недооценки или переоценки степени распространения опухолевого процесса. Проведено сопоставление диагностической ценности визуальной эндоскопии и эндосонографии в выявлении раннего рака, лимфом, полипов и опухолеподобных поражений желудка.
Практическая значимость работы. На основании проведенного исследования разработана тактика комплексного эндоскопического обследования больных с применением эндосонографии при опухолевой и предопухолевой патологии желудка. Использование полученной информации о предположительном типе, границах и глубине инвазии злокачественной опухоли дает возможность формировать потоки больных на стандартное хирургическое вмешательство, эндохирургические органосберегающие операции и специальное противоопухолевое лечение.
Уточняющая предоперационная эндосонографическая диагностика позволяет максимально адекватно выбирать способ получения верификации опухолевого процесса, а при хирургическом методе лечения - вариант оперативного вмешательства.
Основные положения, выносимые на защиту:
1. Различные новообразования желудка имеют характерную эндосонографическую семиотику, что является важной догоспитальной информацией для формирования потоков больных на специализированное лечение.
2. Эндосонография позволяет улучшить качество предоперационной диагностики рака желудка за счёт оценки глубины инвазии, границ распространения опухоли и состояния перигастральных лимфатических узлов, что необходимо для выбора оптимального метода лечения.
3. Эндоскопическое ультразвуковое исследование (ЭУЗИ) является обязательным методом уточняющей диагностики обследования больных с опухолевой и предопухолевой патологией желудка.
Внедрение результатов исследования. Результаты работы, вытекающие из них рекомендации и разработанные алгоритмы обследования больных с подозрением на злокачественные новообразования желудка, внедрены в практику ГУЗ «Самарский областной клинический онкологический диспансер» (СОКОД). Материалы диссертации включены в лекционный курс и практические занятия на кафедре онкологии и кафедре хирургии ИПО с курсом эндоскопии ГОУ ВПО «Самарский государственный медицинский университет».
Личный вклад автора заключается в самостоятельном выполнении стандартных гастроскопий и эндосонографических обследований желудка, а в необходимых случаях - биопсий опухоли и эндоскопических резекций слизистой оболочки (ЭРС). Также лично автором разработаны два диагностических алгоритма и произведена клинико-статистическая обработка полученных результатов исследования.
Апробация работы. Основные результаты диссертационной работы доложены и обсуждены на межрегиональной конференции «Современный этап внутрипросветной эндоскопии» (Пенза, 2007), на заседаниях Самарского областного общества онкологов (2008) и Самарского областного общества эндоскопистов (2009), на совместном заседании кафедр онкологии, хирургии ИПО с курсом эндоскопии, кафедры оперативной хирургии и клинической анатомии с курсом инновационных технологий ГОУ ВПО «Самарский государственный медицинский университет Федерального агентства по здравоохранению и социальному развитию» (2009), на заседании кафедры хирургии и онкологии с курсом ИПО ГОУ ВПО «Башкирский государственный медицинский университет Федерального агентства по здравоохранению и социальному развитию» (2009).
Публикации. По теме диссертации опубликовано 9 печатных работ, в том числе 2 в научных журналах, рецензируемых ВАК РФ. Оформлено 3 рационализаторских предложения (решением Отдела интеллектуальной собственности СамГМУ №32, № 33, №34 от 11.г.).
Структура и объем диссертации. Диссертация изложена на 198 страницах машинописного текста и состоит из введения, обзора литературы, пяти глав собственных наблюдений и исследований, заключения, выводов, практических рекомендаций и указателя литературы, включающего 242 источника, из которых 115 отечественных и 127 зарубежных. Содержит 34 таблицы и 55 рисунков.
СОДЕРЖАНИЕ РАБОТЫ
( материал, методы и объем исследования)
Исследование проводилось в два этапа. На предварительном этапе нами выполнен анализ качества визуальной эндоскопической диагностики, который проведен на основании ретроспективных данных обследования 267 больных с опухолевой патологией желудка, лечившихся в Самарском областном онкологическом диспансере за период с 2004 по 2005 г. Данные рутинной гастроскопии сопоставлялись с морфологическим биопсийным и послеоперационным материалом.
Основной этап работы, проведенный в соответствии с целью и задачами исследования, базировался на данных обследования и лечения 469 больных с различной опухолевой и предопухолевой патологией желудка с февраля 2006 по март 2009 года на базе СОКОД. Все пациенты были разделены на 6 групп в зависимости от характера визуальной макроскопической картины выявленной патологии, а также на основании Международной классификации опухолей и опухолеподобных поражений желудка (ВОЗ,1998) и классификации Японской ассоциации изучения рака желудка (1998).
В I группу вошли 32 (6,8%) пациента, которым при первичном визуальном осмотре был предположен диагноз раннего рака желудка. Во II группу были включены ,1%) пациента с визуальной картиной распространенного РЖ. III группу составили 29 (6,2%) пациентов, у которых при гастроскопии была диагностирована лимфома желудка. В IV группу вошли 42 (9,0%) пациента с различными видами неэпителиальных опухолей. В V группу включены,5%) больных с эндоскопическими признаками полипа, опухолеподобного поражения или карциноида. VI группу составили 16 (3,4%) пациентов с предположительной компрессией на стенку желудка извне. По таким параметрам, как пол и возраст пациенты выделенных групп были сопоставимы.
Всем пациентам основного этапа после видеогастроскопии осуществлялось внутриполостное сканирование найденной патологии, и далее производилась биопсия опухоли различными способами.
Эндоскопические исследования проводились при помощи видеоэлектронных систем EVIS EXERA I СV-160 и EVIS EXERA EU-M60 фирмы «Olympus». Визуальный осмотр выполнялся видеогастроcкопом GIF–XTQ160. Для эндосонографического обследования был использован видеоэхоэндоскоп GF-UM 160 с радиальным датчиком и изменяющейся частотой сканирования от 5 до 20 Мгц, а также ультразвуковые зонды UM-2R-3 и UM-3R-3 с частотой сканирования 12,5 и 20 Мгц соответственно. Для выполнения петлевой биопсии или резекции слизистой оболочки использовался двухканальный видеогастроскоп GIF-2T160, электрохирургический блок UES-40.
Нами обеспечено одновременное выведение на одном мониторе макроскопической картины, а на другом ультразвукового изображения, что позволило точно подводить ультразвуковой датчик к патологическому участку, сопоставлять визуальные и эндосонографические границы опухолевой инфильтрации, выбирать наиболее оптимальный способ биопсии.
В исследовании мы использовали две основные методики - сканирование эхоэндоскопом и ультразвуковыми зондами, которые выбирали в зависимости от локализации, макроскопической формы и распространенности опухоли. В работе нами детально уточнены показания к их индивидуальному применению.
Правильное расположение датчика подтверждало появление на экране равномерной слоистой структуры стенки, которая при нормальном желудке состоит из пяти слоев. Данные визуального осмотра и эндосонографического сканирования подвергнуты качественному и количественному анализу и сравнению, а также сопоставлены с дооперационным или послеоперационным гистологическим заключением.
Ценность диагностических методов рассчитывалась по стандартным формулам с использованием комплекса истинно и ложноположительных (ИПЗ, ЛПЗ), истинно и ложноотрицательных заключений (ИОЗ, ЛОЗ).
Применялись непараметрические методы статистики: критерий χ2 для таблиц сопряженности в целях определения достоверности показателей.
Статистические расчеты и графические построения выполнялись с помощью средств Microsoft v.6.0 c применением пакета компьютерных программ и электронных таблиц, специального программного обеспечения –VISIO.
РЕЗУЛЬТАТЫ ИССЛЕДОВАНИЯ И ИХ ОБСУЖДЕНИЕ
Проведенная на предварительном этапе визуальная эндоскопическая диагностика опухолевой патологии показала, что гипердиагностика раннего рака желудка (РРЖ) среди всех его форм составила 28,6%, а гипердиагностика полипов при РРЖ – 26,7%. Ошибки в определении границ опухолевой инфильтрации наблюдались в 10,2%, гипердиагностика рака желудка при эндофитных и экзофитных его поражениях была в 8,1%, ЛОЗ щипцовой биопсии среди инфильтративных и экзофитных новообразований выявлены в 24,4%, а среди неэпителиальных опухолей в 87,1%. У 28,6% пациентов, которым при РРЖ была произведена резекция желудка, имелась возможность выполнения органосохраняющей операции - ЭРС. К сожалению, стандартная гастроскопия не позволяет произвести предоперационную оценку глубины распространения опухолевой инфильтрации и определить показания к эндоскопической резекции слизистой оболочки. Приведенные результаты подчеркивают, что на современном амбулаторном этапе обследования рутинной гастроскопии и щипцовой биопсии недостаточно для адекватной уточняющей и дифференциальной диагностики рака и других новообразований желудка.
На основном этапе нами подробно описана и проиллюстрирована макроскопическая картина и эхосемиотика всех типов раннего рака, форм распространенного рака и лимфом, неэпителиальных опухолей, истинных полипов, опухолеподобных поражений, компрессионных состояний желудка.
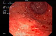
Ранний рак желудка. Общий эндосонографический критерий всех типов раннего рака желудка – это очаг неоднородного гипоэхогенного образования в пределах только слизистого слоя или занимающий слизистый и подслизистый слои стенки желудка (рис.1).
![]()
![]()

а б
Рис.1. 62 года. Ранний рак верхней трети тела желудка.
Гистология – высокодифференцированная аденокарцинома:
а - визуальная картина РРЖ, подтип IIa; б – эндосонограмма РРЖ, подтип IIa, гипоэхогенное образование с признаками инвазии опухоли в подслизистый слой.
Выполнение эндосонографии у больных с предположительным визуальным диагнозом РРЖ показало следующие результаты:
а) после сканирования из 32 больных I группы признаки раннего рака выявлены у,8%) человек, что после морфологического контроля оказалось правильным в 95,7% случаев;
б) во всех 4 (12,5%) наблюдениях обнаруженный распространенный рак желудка с инвазией в мышечный слой был подтвержден после гистологического исследования. Это было выявлено у 1 (3,1%) пациента в группе с подозрением на тип IIс и у 3 (9,4%) пациентов – на тип III, причем размер опухоли во всех случаях не превышал 28 мм в диаметре;
в) отсутствие критериев раннего рака желудка при эндосонографии у 5 (15,6%) больных подтвердилось в 80%. Эти пациенты относились к группе больных с подозрением на I, IIa и IIc типы РРЖ. Во всех этих случаях слизистая оболочка была несколько утолщена на ограниченном участке, слабогипоэхогенная или изоэхогенная, сохранялась четкая слоистость стенки желудка.
В целом уточняющее сканирование на этапе амбулаторной диагностики предопухолевой и ранней опухолевой патологии желудка позволило нам в 93,8% случаев поставить правильной диагноз. Оценка различий полученных результатов при визуальной и эндосонографической диагностике статистически достоверна (p<0,005).
На основании 22 ИПЗ и 2 ЛОЗ, а также 7 ИОЗ и 1 ЛПЗ чувствительность эндосонографии в идентификации раннего рака составила 91,6%, специфичность – 87,5%, диагностическая точность – 90,6%.
Далее мы оценивали диагностическую ценность (табл.1) эндосонографии в распознавании инвазии опухоли в стенке желудка у 28 прооперированных больных с морфологически подтвержденным раком. Недооценка глубины инвазии произошла в 2 (7,1%) случаях, когда нами был предположен рак в пределах слизистого слоя, а оказалась инвазия в начальные отделы подслизистого слоя. Переоценка у 1(3,6%) пациента обнаружена при I типе РРЖ.
Таблица 1
Ценность эндосонографии в определении локализации опухоли
в стенке желудка при раннем раке
Диагностический критерий | Инвазия в пределах слизистого слоя, % | Инвазия в подслизистый слой, % |
Чувствительность | 88,8 | 86,6 |
Специфичность | 89,5 | 92,3 |
Диагностическая точность | 89,3 | 89,3 |
Более низкие показатели чувствительности при идентификации опухоли в пределах подслизистого слоя, по нашему мнению, обусловлены его реакцией к пережатию баллоном или несоблюдением минимального фокусного расстояния.
Проведенное внутриполостное сканирование позволило тактически оправданно выполнить органосохраняющую эндоскопическую резекцию слизистой оболочки у 11 (34,4%) пациентов с ранним раком желудка в пределах слизистого слоя диаметром менее 28 мм без изъязвлений и у 4 (12,5%) пациентов с доброкачественными образованиями.
Распространенный рак желудка. Во II группе при визуальном осмотре 282 пациентов диагностирован распространенный рак желудка и согласно классификации указана его макроскопическая форма. У всех больных рак был подтвержден морфологически, причем дифференцированные аденокарциномы были у ,9%) пациентов, низкодифференцированные – у ,1%).Общий эндосонографический критерий всех форм распространенного РЖ – это наличие неоднородного гипоэхогенного образования, которое исходит из слизистой оболочки, с глубиной инвазии в мышечный или серозный слой, или выходит за пределы стенки желудка, с нарушением дифференцировки между слоями (рис.2).
![]()
![]()



а б
Рис.2. 71 год. Блюдцеобразный рак нижней трети тела желудка.
Гистология – умереннодифференцированная аденокарцинома:
а - визуальная картина блюдцеобразного рака; б - эндосонограмма блюдцеобразного рака, гипоэхогенное образование с инвазией в серозную оболочку.
Нами изучены возможности эндосонографии в детализации распространения опухолевой инфильтрации среди,8%) пациентов с полиповидной формой роста опухоли,,6%) – блюдцеобразной,,1%) – язвенно-инфильтративной, ,5%) – инфильтративной и%) – неклассифицируемой формой.
Анализ проведенного исследования показал, что в 14,9% наблюдений эндосонография улучшила по сравнению с гастроскопией оценку распространения опухолевой инфильтрации по отделам желудка. Эти данные были сопоставлены с послеоперационной гистологией. Различия полученных визуальных и ультразвуковых результатов статистически достоверны (p<0,001). Наиболее часто несовпадение границ опухолевого роста, когда при сканировании распространенность инфильтрации была более протяженной, мы наблюдали в случае инфильтративного (8,9%) опухолевого процесса, при котором опухолевые клетки инфильтрируют преимущественно подслизистый слой, а слизистая оболочка визуально изменяется позже. В 97,3% несовпадение происходило за счёт проксимальной границы опухоли. Особую ценность эти диагностические данные о местном распространении опухоли приобретали при обнаружении перехода опухолевой инфильтрации на кардиальную розетку или абдоминальный сегмент пищевода, что позволяло составить объективное представление о возможном объеме оперативного вмешательства и адекватном хирургическом доступе.
Предметом дальнейших исследований являлось изучение возможностей эндосонографии в определении глубины инвазии. Были проанализированы результаты сканирования всех макроскопических форм распространенного рака желудка. Полученные данные, представленные в табл.2., сопоставляли с заключениями гистологических исследований удаленного макропрепарата, а в случаях нерезектабельной опухоли – с результатами других методов обследования, таких как ультразвуковое исследование или рентгеновская компьютерная томография брюшной полости.
Таблица 2
Точность эндосонографии в определении глубины инвазии при распространенном РЖ
Макроскопический тип РЖ | Точность ЭУЗИ, % | Недооценка, % | Переоценка, % |
Полиповидный | 94,8 | 2,6 | 2,6 |
Блюдцеобразный | 88,6 | 6,8 | 4,6 |
Язвенно-инфильтративный | 94,1 | 3,9 | 2 |
Инфильтративный | 97,4 | 2,6 | - |
Неклассифицируемый | 96,8 | 3,2 | - |
Все формы распространенного РЖ | 94,34 | 3,82 | 1,84 |
Согласно приведенным в табл. 2 данным, при распространенном РЖ глубина инвазии оценена правильно в 94,3% случаев. Недооценка распространения опухоли вглубь стенки наблюдалась при всех макроскопических формах и составила в среднем 3,8 %. Самой высокой (6,8%) она была среди пациентов с блюдцеобразным раком и связана с наличием в дне язвы толстого слоя фибрина, создающего артефактную картину.
Переоценка глубины инвазии составила 1,8%. Наибольшей она отмечалась среди пациентов с блюдцеобразным (4,6%) и полиповидным (2,6%) раком, когда в послеоперационном материале имелась менее глубокая инвазия, чем было диагностировано при эндосонографии. В табл. 3 показана ценность эндосонографии в распознавании инвазии рака в стенку желудка при различных макроскопических формах. Специфичность как диагностический критерий мы не учитывали енного РЖ составила 95из-за отсутствия ИОЗ.
Таблица 3
Диагностическая ценность эндосонографии
в определении глубины инвазии при распространенном РЖ
Макроскопический тип РЖ | Чувствительность, % | Диагностическая точность, % |
Полиповидный | 97,3 | 92,3 |
Блюдцеобразный | 93 | 88 |
Язвенно-инфильтративный | 95,8 | 94 |
Инфильтративный | 97,4 | 97,4 |
Приведенные нами данные демонстрируют высокую диагностическую ценность эндосонографии в предоперационном определении глубины инвазии рака. Наибольшая чувствительность и диагностическая точность этого метода выявлена нами при инфильтративной форме распространенного рака, диагностика которой представляет наибольшие сложности. Самая низкая диагностическая ценность зарегистрирована при блюдцеобразной форме, где имеется язвенный компонент. Обусловлена она наибольшим количеством ложноположительных и ложноотрицательных заключений.
Отметим, что кроме определения границ и глубины инвазии опухоли эндосонография позволяет оценивать размеры, форму, контуры и эхогенность увеличенных регионарных лимфатических узлов. Нами выявлено, что у %) из 282 пациентов с распространенным раком желудка перигастральные лимфатические узлы были увеличены. У ,8%) предположительно они имели метастатический характер увеличения и характеризовались округлой формой, низкой эхогенностью, гомогенной структурой, их размеры превышали 6 мм. Гиперпластические узлы у,2%) были с повышенной эхогенностью, размером до 6 мм, овальной или плоской формы, однородной структуры. Результаты сравнения с послеоперационной гистологией увеличенных перигастральных лимфатических узлов представлены на рис. 3.
![]() |
а б
Рис.3. Результаты оценки лимфатических узлов:
а - по данным эндосонографии; б – по данным послеоперационной гистологии
Таким образом, гиподиагностика метастатических лимфоузлов составила 11,7%, гипердиагностика – 2,8%. У 8,9% пациентов имеющиеся метастатические лимфоузлы не были выявлены вовсе. В целом чувствительность эндосонографии в оценке перигастральных лимфоузлов составила 80%, специфичность – 93%, диагностическая точность – 85%. Различия полученных результатов статистически достоверны (p< 0,005).
Представляют интерес полученные нами данные о значении эндосонографии в дифференциальной диагностике рака и других новообразований желудка.
Лимфомы желудка. Нами при визуальном осмотре 29 пациентам III группы в утвердительной или предположительной форме был поставлен диагноз различных видов лимфом желудка согласно классификации и (1981). При инфильтративных формах их визуальная картина имела сходство с эндофитными формами РЖ, при экзофитных - с различными типами раннего и экзофитными формами распространенного рака. Язвенная форма лимфомы представляет большие трудности в дифференциальной визуальной диагностике с блюдцеобразной формой рака желудка.
По данным ЭУЗИ, эндосонограммы пациентов со всеми формами лимфом демонстрируют их отличительный признак - в области визуально измененной слизистой оболочки при сканировании стенка желудка утолщена за счет гиперэхогенного неоднородного подслизистого и глубоких слоев слизистого слоя, а между патологическими зонами визуализируются участки нормальной пятислойной стенки желудка (рис.4).
![]()
![]()

а б
Рис. 4. 58 лет. Язвенно-инфильтративная лимфома. Заключение иммуногистохимии: диффузная В-крупноклеточная лимфома желудка:
а - визуальная картина, требующая дифференциальной диагностики между язвенно-инфильтративным раком и язвенно-инфильтративной лимфомой тела желудка; б - эндосонограмма язвенно-инфильтративной лимфомы желудка, утолщенный гиперэхогенный подслизистый слой достигает 2,9 мм.
В результате сканирования у больных этой группы в 82,8% были найдены признаки лимфом, в 10,3% - признаки рака и в 6,9% мы не могли с полной уверенностью интерпретировать вид опухоли. Обнаруженные эхографические критерии в пользу лимфомы желудка являлись показанием для проведения петлевой или ступенчатой биопсии и выполнения иммуногистохимического исследования.
После морфологической верификации лимфома оказалась у,2%) больных, а рак у 4 (13,8%). Таким образом, эндосонографический осмотр у 6 (20,7%) пациентов уточнил спорный визуальный диагноз, у,4%) пациента – подтвердил. В целом при эндосонографии и визуальной эндоскопии ИПЗ было 24 и 21, ЛОЗ - 1 и 4, ИОЗ – 3 и 4, ЛПЗ – 1. Из-за отсутствия ЛПЗ при гастроскопии её специфичность не учитывалась. Различия полученных результатов статистически достоверны (p<0,01).
Данные сравнительного анализа ценности визуального и эндосонографического методов при диагностике лимфом желудка представлены в табл. 4.
Таблица 4
Показатели ценности визуального осмотра и эхоэндоскопии
в диагностике лимфом желудка
Диагностический критерий | Визуальная эндоскопия, % | Эндосонография, % |
Чувствительность | 84 | 96 |
Специфичность | - | 75 |
Диагностическая точность | 86,2 | 93 |
Более высокая чувствительность и диагностическая точность эндосонографии подчеркивают необходимость её широкого применения в дифференциально-диагностических затруднениях, поскольку схемы лечения лимфом и рака желудка имеют определенные отличия.
Неэпителиальные опухоли. В IV группе из 42 пациентов с визуальным диагнозом неэпителиального новообразованиями особую трудность в дифференциальной диагностике представляли опухоли, имеющие воспалительные изменения, изъязвления, сращения со слизистой оболочкой или её прорастания. Основным отличительным признаком неэпителиального образования являлась гипоэхогенная опухоль, исходящая из мышечного слоя, мышечной пластинки слизистой оболочки или расположенная на её границе с подслизистым слоем. Слизистый слой над опухолью истончен и четко прослеживался (рис.5).
![]()
![]()



а б
Рис. 5. 48 лет. Неэпителиальная опухоль желудка.
Заключение иммуногистохимии - GIST: а - визуальная картина неэпителиальной опухоли с признаками прорастания слизистой оболочки; б - эндосонограмма гипоэхогенной неоднородной неэпителиальной опухоли, исходящей из мышечного слоя, с анэхогенными включениями.
У всех пациентов эндосонография исключила эпителиальное происхождение образования, а в 95,2% данные о гистологическом типе были подтверждены. Это свидетельствует о высокой точности метода при данной патологии, поскольку он позволяет исключить эпителиальную природу опухоли, предположить её морфологическое строение на основе таких критериев, как слой, из которого исходит опухоль, характер контуров, эхоструктура. Далее появляется возможность детализировать эндоскопический диагноз и принимать активные решения в плане выбора способа биопсии.
Полипы и опухолеподобные поражения желудка. Результатом уточняющей диагностики 68 больных V группы с визуальной картиной различных полиповидных образований стало выявление среди них в 10,3% наблюдений эндосонографических признаков рака желудка (рис. 6), причем в 8,8% диагностирован ранний рак и в 1,5% распространенный. Различия полученных результатов статистически достоверны (p<0,001). Качественная ультразвуковая недооценка раннего рака желудка произошла в 2,9% случаев среди пациентов с очаговой гиперплазией и полипом.
![]()
![]()



а б
Рис. 6. 65 лет. Гистология – высокодифференцированная аденокарцинома:
а - визуальная картина полипа желудка, подозрительного в отношении малигнизации;
б – на эндосонограмме - гипоэхогенное образование, исходящее из слизистой оболочки,
с инвазией в мышечный слой. Эхографические признаки рака желудка.
Сравнительный анализ чувствительности, специфичности и общей точности визуального осмотра и эндосонографии представлен в табл.5.
Таблица 5
Ценность визуальной гастроскопии и эндосонографии
в диагностике полиповидных образований желудка
Диагностический критерий | Визуальная эндоскопия, % | Эндосонография, % |
Чувствительность | 86,8% | 97% |
Общая точность | 76,6 % | 94,3% |
Более высокие показатели диагностической ценности эндосонографии доказывают её уточняющее значение, когда в процессе обследований визуальная дифференциальная диагностика между ранним раком и полипами, карциноидами или опухолеподобными поражениями (гиперпластический полип, лимфоидная гиперплазия, хористома) затруднена. Отметим, что своевременная точная диагностика предопухолевой патологии и раннего рака является профилактикой развития распространенного рака желудка и расширяет возможности для эндохирургического лечения.
Компрессия стенки желудка. Проведенные нами исследования в VI группе, включающей 16 (3,4%) пациентов, показали, что при данной патологии во всех случаях, где не было врастания в стенку желудка, мы видели сохранение её пятислойного строения, толщина не превышала 3 мм, так как была истончена давлением прилежащего образования. За стенкой желудка определялось гипоэхогенное, анэхогенное, гетерогенное образование различной природы (рис.7). Эти признаки являются специфическими для компрессии желудка.
![]()
![]()



а б
Рис. 7. 43 года. Компрессия стенки желудка:
а - визуальная картина компрессии; б – эндосонограмма: стенка желудка пятислойная, истончена до 2 мм за счёт расположенного за ней анэхогенного образования.
Итак, как показали наши результаты, сочетание на догоспитальном этапе визуального и эндосонографического исследования в едином диагностическом процессе позволяет улучшить диагностику рака желудка в ранней стадии, детализировать степень распространения инвазивного рака, проводить дифференциальную диагностику рака с новообразованиями иного гистологического типа, повысить эффективность верификации опухолей выбором оптимального способа биопсии. Такой подход способствует снижению числа неоправданных дорогостоящих исследований (РКТ, МРТ желудка), уменьшению сроков постановки диагноза, а также обеспечивает возможность формирования адекватного подхода к лечению.
Дальнейший прогресс в области оптимизации уточняющей диагностики РЖ может быть достигнут за счёт включения эндосонографии в догоспитальный диагностический стандарт обследования больных с подозрением на злокачественную опухоль желудка. Мы придерживаемся следующих этапов комплексной эндоскопической диагностики новообразований желудка:
1. Видеоэзофагогастродуоденоскопия с целью визуального и функционального определения минимальных и выраженных изменений слизистой оболочки или стенки желудка.
2. Хромоскопия для улучшения визуализации структурных изменений слизистой оболочки желудка в зоне поражения и определения его предварительных границ при эпителиальных образованиях.
3. Эндосонографическое сканирование стенки желудка в зоне патологии наиболее оптимальным способом и необходимой частотой.
4. Сопоставление визуальной и эндосонографической картины для выбора адекватного способа биопсии.
5. Регистрация макроскопической, хромоскопической и эндосонографической картины, написание комплексного протокола исследования.
6. Сопоставление результатов гистологического заключения и эндоскопического диагноза.
При совпадении визуального и эндосонографического диагноза - направление к онкологу с рекомендациями об эндохирургическом или оперативном лечении. В случаях обнаружении вида опухоли, не указанной в комплексном эндоскопическом диагнозе - выяснение причин ошибок. При отсутствии в материале опухолевой ткани – выбор повторного способа биопсии.
Для оптимизации диагностики раннего и распространенного рака желудка с применением эндосонографии мы предлагаем два алгоритма, которые позволят существенно повысить точность эндоскопического исследования (рис.8 и рис.9).

Рис.8 Алгоритм комплексной эндоскопической диагностики раннего рака,
полипов, опухолеподобных поражений желудка:
a – гипоэхогенное образование неоднородной структуры, исходящее из слизистой оболочки, с нечеткими контурами, при a1 локализующееся в пределах слизистой оболочки, при a2 – инфильтрирующее слизистый и подслизистый слои с нарушением их дифференцировки;
b – гипоэхогенное неоднородное образование с глубиной инвазии в мышечный слой или на всю глубину стенки желудка;
с - однородное выступающее изоэхогенное образование в пределах слизистой оболочки, с ровными четкими контурами, без включений;
d – гипоэхогенное образование с гиперэхогенными участками около основания, расположенное частично в подслизистом слое, частично в слизистой оболочке;
е - однородное изоэхогенное образование с четкими контурами, расположенное на границе слизистой оболочки и подслизстого слоя, которые незначительно утолщены, дифференцировка слоев сохранена;
f - локально утолщенный подслизистый слой на фоне пятислойной стенки желудка с сохраненной дифференцировкой

Рис.9. Алгоритм комплексной эндоскопической диагностики распространенного рака, лимфом, неэпителиальных новообразований и компрессионных состояний стенки желудка:
a – гипоэхогенное образование, исходящее из слизистого слоя, с нечеткими, неровными бугристыми контурами, с различной глубиной инвазии;
b –выраженное утолщение гиперэхогенного подслизистого слоя более чем на 2-3 мм или вторичное нарушение его дифференцировки с глубокими слоями слизистой оболочки и мышечного слоя;
c – гипоэхогенное образование, исходящее из мышечного слоя или находящееся на границе с подслизистым слоем, с различной эхоструктурой и глубиной инвазии;
d – нормальная пятислойная стенка желудка с сохранением дифференцировки, истонченная за счёт давления извне образованиями различной эхоструктуры;
е – пятислойная стенка желудка с сохраненной дифференцировкой, слизистый слой однородной структуры, утолщен до 3-5 мм;
f – гипоэхогенное или гиперэхогенное образование, исходящее не из слизистой оболочки, с четкими ровными контурами, без включений, размером до 30 мм;
g – гипоэхогенное образование, исходящее из мышечного слоя, с нарушением дифференцировки до серозной оболочки, с нечеткими, неровными контурами, неоднородной эхоструктуры, с гипоэхогенными очагами и анэхогенными включениями, размером более 30 мм.
Разработанные алгоритмы обобщают основные аспекты применения эндосонографии при раке и других новообразованиях желудка. Они позволяют наиболее полно и эффективно использовать этот метод в повседневной практике для решения дифференциально-диагностических задач, для выбора способа биопсии и формирования потоков больных на соответствующее противоопухолевое лечение.
ВЫВОДЫ
1. На основе описания семиотики единым эндосонографическим признаком рака желудка является гипоэхогенное образование, исходящее из слизистой оболочки с различной глубиной инвазии. При раннем раке опухоль локализуется в слизистом слое или прорастает в подслизистый слой. При распространенном раке имеется инвазия в мышечный и серозный слой или выходит за пределы стенки желудка. Различные типы раннего и формы распространенного РЖ имеют не только общие, но и индивидуальные эхографические признаки.
2. Среди пациентов с визуальным диагнозом РРЖ применение эндосонографии позволило обнаружить признаки данной патологии у 71,8% с точностью в 95,7%, правильно выявить распространенный рак в 100% и верно исключить наличие рака в 80%, что является важной догоспитальной информацией для выбора способа биопсии и схемы лечения. Высокая диагностическая точность эндосонографии (89,3 %) в определении локализации опухоли в слизистом слое обеспечила возможность выполнения радикальных органосохраняющих операций при раннем раке желудка у 34,4% больных.
3. Эндосонография на 15% точнее, чем стандартная гастроскопия, установила границы распространения опухоли. Высокая диагностическая точность эндосонографии в распознавании глубины инвазии распространенного рака (94,3%) и оценке перигастральных лимфатических узлов (85%) обосновывает ее применение в уточняющем догоспитальном диагностическом стандарте.
4. Лимфомы, неэпителиальные опухоли, полипы и опухолеподобные поражения имеют отличительные эндосонографические критерии, которые позволяют проводить дифференциальную диагностику с раком желудка. Выявление рака желудка эндосонографическим методом среди полиповидных образований (10,3%) и лимфом (10,4%), высокая точность (95,2%) идентификации неэпителиальных опухолей обусловливают применение этого метода в стандарте уточняющей эндоскопической диагностики.
5. Разработанные оптимальные алгоритмы с использованием эндосонографии позволяют значительно повысить качество диагностики раннего и распространенного рака желудка и дифференцированно подходить к выработке врачебной тактики с достаточно высокой клинической эффективностью
ПРАКТИЧЕСКИЕ РЕКОМЕНДАЦИИ
1. С целью улучшения своевременной диагностики ранних форм рака желудка необходимо придерживаться разработанного диагностического алгоритма, при котором в арсенале уточняющих методик следует использовать эндосонографию, позволяющую в трудных случаях детализировать визуальный диагноз.
2. Решение о выполнении органосохранящей операции при раннем раке желудка рекомендуется принимать только после выполнения внутриполостного сканирования опухоли, убедившись в отсутствии инвазии в подслизистый слой и увеличенных перигастральных лимфоузлов.
3. Метод эндосонографии необходимо шире использовать в оценке степени местного распространения РЖ на этапе догоспитальной диагностики, так как правильная интерпретация глубины инвазии, границ опухоли и характера перигастральных лимфатических узлов позволяет объективизировать показания к расширенным комбинированным операциям или специализированному противоопухолевому лечению, а в некоторых случаях избирать адекватный хирургический доступ.
4. Целесообразно внедрение эндосонографии на амбулаторном этапе обследования больного, поскольку наличие отличительных эндосонографических признаков новообразований разных гистологических типов позволяет проводить их дифференциальную диагностику, выбирать оптимальный способ верификации, а также правильно формировать потоки больных на лечение.
5. Рекомендуемый нами выбор методик эндосонографического осмотра в зависимости от характера и локализации опухоли желудка обеспечивает получение высокоинформативной качественной картины сканирования.
СПИСОК РАБОТ,
ОПУБЛИКОВАННЫХ ПО ТЕМЕ ДИССЕРТАЦИИ
1.Малихова, диагностика и оценка эффективности лечения злокачественных новообразований желудка / , , //«Экспериментальная и клиническая гастроэнтерология» - М., 2008. - №1. - С.43-48.
2.Малихова, О. А. NBI – новые возможности эндоскопической диагностики патологических процессов пищевода и желудка / , , // «Экспериментальная клиническая гастроэнтерология» - М., 2008. - №2. - С.48-56.
3. Круглова, диагностика эпителиальных и неэпителиальных злокачественных новообразований желудка / , , // «Самарский медицинский журнал». – Самара, 2008. – №1(41). - С.57-60.
4.Круглова, опыт применения эндосонографии в оценке и дифференциальной диагностике подслизистых новообразований желудка / , , // Сборник тезисов III конференции «Дни РОНЦ им. Н. Н Блохина в Самарской области». – Самара, 2007. – С.61-63.
5. Козлов, коррекции дисфагии у больных раком пищевода и кардиального отдела желудка методом фотодинамической терапии / , , // Сборник тезисов III конференции «Дни РОНЦ им. Н. Н Блохина в Самарской области». – Самара, 2007. – С.65-66.
6. Козлов, уточняющей диагностики и коррекции дисфагии у больных раком пищевода и кардиального отдела желудка / , , // Сборник тезисов IV конференции «Дни РОНЦ им. Н. Н Блохина в Самарской области». – Самара, 2008. – С.48-49.
7. Круглова, в диагностике раннего рака желудка на поликлиническом этапе / , , // Сборник тезисов IV конференции «Дни РОНЦ им. Н. Н Блохина в Самарской области». – Самара, 2008. – С.72-74.
8. Круглова эндоскопического мониторинга больных со злокачественными новообразованиями желудочно-кишечного тракта после их радикального лечения. / , // Сборник тезисов конференции I «Дни РОНЦ им. в Самарской области». – Самара, 2005, С.163-164.
9. Блашенцева, опыт применения внутрипросветного эндоскопического ультразвукового исследования в сочетании с видеогастроскопией в диагностике лимфомы желудка (клинический пример). / , , // Сборник тезисов науч. – практ. конференции с международным участием «Актуальные вопросы эндоскопии». – Казань, 2008. – С.22-24.
СПИСОК АВТОРСКИХ СВИДЕТЕЛЬСТВ
1. Круглова оптимизации диагностики раннего рака желудка эндосонографическим методом. Рационализаторское предложение № 32 (Решением Отдела интеллектуальной собственности СамГМУ от 11.г.).
2. Круглова оптимизации диагностики распространенного рака желудка эндосонографическим методом. Рационализаторское предложение № 33 (Решением Отдела интеллектуальной собственности СамГМУ от 11.г.).
3. Круглова диагностики опухолей антрального отдела желудка ультразвуковым датчиком. Рационализаторское предложение № 34 (Решением Отдела интеллектуальной собственности СамГМУ от 11.г.).
СПИСОК СОКРАЩЕНИЙ
ИОЗ – истинно положительное заключение
ИПЗ – истинно отрицательное заключение
ИПО – институт постдипломного образования
ЛОЗ – ложноотрицательное заключение
ЛПЗ – ложноположительное заключение
РЖ – рак желудка
РКТ – рентгеновская компьютерная томография
РОНЦ – Российский онкологический научный центр
РРЖ – ранний рак желудка
СОКОД – Самарский областной клинический онкологический диспансер
УЗИ – ультразвуковое исследование
ЭРС – эндоскопическая резекция слизистой оболочки
ЭУЗИ – эндоскопическое ультразвуковое исследование
_____________________________________________________________________________________________
КРУГЛОВА Ирина Иосифовна
ОПТИМИЗАЦИЯ
УТОЧНЯЮЩЕЙ ДИАГНОСТИКИ РАКА ЖЕЛУДКА
С ИСПОЛЬЗОВАНИЕМ ЭНДОСОНОГРАФИИ
Автореферат диссертации на соискание ученой степени
кандидата медицинских наук
ГОУ ВПО «Самарский государственный медицинский университет»
Федерального агентства по здравоохранению и социальному развитию
Подписано в печать ………..2009 г.
Формат 60×84/16. Объем 1,0 уч.-изд. л.
Тираж 100 экз. Заказ №
Бумага офсетная
Отпечатано с оригинал-макета в типографии




