На правах рукописи
АХМЕТОВ ТИМУР ФАРИТОВИЧ
СОВЕРШЕНСТВОВАНИЕ ДИАГНОСТИКИ РЕГИОНАРНЫХ
МЕТАСТАЗОВ В ЛИМФАТИЧЕСКИЕ УЗЛЫ ПРИ РАКЕ ЯЗЫКА
14.01.12 – «Онкология»
Автореферат
диссертации на соискание ученой степени
кандидата медицинских наук
Уфа – 2010
Работа выполнена в Государственном образовательном учреждении высшего профессионального образования «Башкирский государственный медицинский университет Федерального агентства по здравоохранению и социальному развитию» Министерства здравоохранения и социального развития Российской Федерации.
Научный руководитель – доктор медицинских наук, профессор
Официальные оппоненты: доктор медицинских наук, профессор
;
доктор медицинских наук, профессор
Ведущая организация:
Государственное учреждение «Московский государственный медико-стоматологический университет»
( )
Защита состоится «____» _______________ 2010 г. в ____ часов на заседании диссертационного совета Д. 208.006.04 при Государственном образовательном учреждении высшего профессионального образования «Башкирский государственный медицинский университет Федерального агентства по здравоохранению и социальному развитию» Министерства здравоохранения и социального развития Российской Федерации ул. Ленина, 3.
С диссертацией можно ознакомиться в научной библиотеке Государственного образовательного учреждения высшего профессионального образования «Башкирский государственный медицинский университет Федерального агентства по здравоохранению и социальному развитию» Министерства здравоохранения и социального развития Российской Федерации.
Автореферат разослан «___» ___________ 2010 года.
Ученый секретарь
диссертационного совета
Список сокращений и условных обозначений
КТ – компьютерная томография
ЛГ – лимфография
ЛУ – лимфатические узлы
НЛСГ – непрямая лимфосцинтиграфия
РМ – регионарные метастазы
РФП – радиофармпрепарат
РЭС – ретикуло-эндотелиальная система
СГ – сцинтиграфия
TNM – T (tumor) – размер опухоли, N (nodus) – поражение регионар ных лимфатических узлов, M (metastasis) – наличие отдаленных метастазов
УЗИ – ультразвуковое исследование
ЦДС – цветное допплеровское сканирование
ЭКГ – электрокардиограмма
ЯМР – ядерно-магнитный резонанс
ОБЩАЯ ХАРАКТЕРИСТИКА РАБОТЫ
Актуальность проблемы
В структуре онкологической заболеваемости в Российской Федерации опухоли слизистой оболочки языка составляют в среднем 1,1 % [ и др., 2006], а в Республике Башкортостан – 0,8–1,0 % [, , 2009].
Результаты лечения злокачественных новообразований головы и шеи зависят от стадии заболевания [, 2002; , 2005]. Большая часть (70–80 %) пациентов поступают на лечение в III и IV стадии заболевания [, 2005; , 2007]. Несмотря на определенные успехи в области диагностики и лечения онкологических больных, улучшение организации онкологической помощи, ранняя диагностика метастазов рака слизистой оболочки языка остается неудовлетворительной [ и др., 2004].
Метастазирование опухолей является одной из главных причин смерти больных раком слизистой оболочки языка. Опухолевая диссеминация новообразований языка происходит лимфогенным путем у 35–60 % больных [, 1991]. По данным (1999), метастазы в клинически не увеличенных лимфатических узлах обнаруживаются в 13 % случаев.
В связи с этим, возникает необходимость своевременного лечебного воздействия на лимфатическую систему шеи больных раком слизистой оболочки языка в такие сроки, когда регионарные метастазы еще не проявляются клинически.
Одним из известных методов, позволяющих определить функциональное состояние лимфатических сосудов и узлов в онкологии, является метод прямой лимфографии. Однако этот метод не нашел широкого распространения из-за технических сложностей его применения в области головы и шеи, анатомических особенностей и недостаточной изученности лимфатической системы головы и шеи [, 1982].
Весьма информативным методом исследования регионарной зоны метастазирования при раке слизистой оболочки языка является метод непрямой лимфографии [, 1991; , 1992]. Известно, что данный метод отражает как структуру лимфатического узла, так и характеризует функциональное состояние лимфатической системы [, 1989]. Однако до сих пор в онкологии вопрос об этом методе не освещен в полной мере.
Имеются публикации о так называемых «сторожевых» лимфатических узлах, об избирательной лимфаденэктомии [, 1988; , 1999; , 2002; , 2005]. Тем не менее, вопрос об объеме лечения при метастазировании регионарной зоны лимфооттока слизистой оболочки языка остается до конца не изученным. Неудовлетворенность исходами лечения больных с метастазами рака слизистой оболочки языка привела к необходимости изучения возможностей улучшения диагностики и применения превентивных методов воздействия на их регионарные лимфатические узлы, что явилось основанием к проведению данного исследования.
Цель исследования
Усовершенствовать методику ранней диагностики регионарных метастазов рака слизистой оболочки языка.
Задачи исследования
1 Выявить в ходе эксперимента общую закономерность лимфообращения языка в норме.
2 Провести сравнительную оценку достоверности различных методов ранней диагностики регионарных метастазов в лимфатических узлах при раке языка.
3 Разработать и внедрить в практику алгоритм ранней диагностики метастазов рака слизистой оболочки языка Т1–3 NXМ0.
4 Разработать методику лечебно-диагностической операции – регионарной лимфодиссекции при раке языка.
Научная новизна
Впервые разработан алгоритм ранней диагностики метастазов рака слизистой оболочки языка на основе оценки эффективности различных методов выявления регионарных метастазов в лимфатических узлах при раке языка.
Впервые разработана лечебно-диагностическая операция – регионарная лимфодиссекция при раке языка, в зависимости от расположения первичной опухоли, в ходе хирургического лечения (по данным анатомо-топографических исследований).
Установлено, что функционирующие лимфатические узлы языка являются постоянными, находятся под глубоким листком собственной шейной фасции и группируются числом три–четыре вдоль внутренней яремной вены.
Практическая значимость работы
Разработанный алгоритм раннего выявления метастазов рака слизистой оболочки языка позволяет провести адекватное стадирование и, соответственно, выбор метода лечения.
Разработанная одномоментная шейная лимфодиссекция является высокоинформативной лечебно-диагностической операцией на первичном очаге при раке языка для определения наличия метастазов в лимфатических узлах.
Внедрение результатов исследования в практику
Разработанный алгоритм диагностики для раннего выявления метастазов рака слизистой оболочки языка внедрен в отделении опухолей головы и шеи Республиканского клинического онкологического диспансера г. Уфы и использован в обучении студентов и врачей-интернов ГОУ ВПО «Башкирский государственный медицинский университет Росздрава» при изучении анатомо-топографического расположения лимфатических узлов шеи.
По результатам экспериментальных исследований разработана и внедрена в отделении опухолей головы и шеи Республиканского клинического онкологического диспансера г. Уфы методика лечебно-диагностической операции – регионарной лимфодиссекции при раке языка, в зависимости от расположения первичной опухоли.
Основные положения, выносимые на защиту
1 В экспериментах на животных (крысах и собаках) установлено, что функционирующие глубокие лимфатические узлы языка являются постоянными, находятся под глубоким листком собственной шейной фасции и группируются числом три–четыре вдоль внутренней яремной вены.
2 Чувствительность ультразвукового исследования микрометастазов рака слизистой оболочки языка в регионарные лимфатические узлы шеи составила 30,5 %, компьютерной томографии – 38,9 %, лимфосцинтиграфии – 62,7 %.
3 Разработанный алгоритм диагностики раннего выявления метастазов рака слизистой оболочки языка, включающий ультразвуковую диагностику и компьютерную томографию в комплексе с лимфосцинтиграфией, является высокоинформативным неинвазивным методом исследования, который может применяться в диагностике поражения метастазами лимфатических узлов шеи при раке языка Т1–3 NхМо.
4 Разработанная методика лечебно-диагностической операции – регионарной лимфодиссекции при раке языка, в зависимости от расположения первичной опухоли, характеризуется высокой чувствительностью и позволяет более точно определять наличие метастазов в регионарных лимфатических узлах.
Апробация работы
Материалы диссертации работы доложены на VI научной сессии Ассоциации онкологов Башкортостана (Уфа, 2002); Республиканской научной конференции эндокринологов «Актуальные вопросы диагностики, лечения и профилактики заболеваний эндокринной системы» (Уфа, 2002) и I Сибирском съезде лимфологов с международным участием (Новосибирск, 2006).
Диссертация доложена и обсуждена на заседании Ученого совета ГОУ ВПО «Башкирский государственный медицинский университет Росздрава» (протокол от 01.01.01 г. № 9).
Диссертация апробирована на заседании диссертационного совета Д 208.006.04 при ГОУ ВПО «Башкирский государственный медицинский университет Росздрава» (протокол от 01.01.01 г. № 94а).
Соответствие диссертации паспорту научной специальности
Научные положения диссертации соответствуют формуле специальности 14.01.12 – «Онкология» (медицинские науки). Результаты проведенного исследования соответствуют области исследования данной специальности, конкретно пунктам 3 и 4 паспорта научной специальности.
Публикации
По теме диссертации опубликовано восемь научных работ, в том числе одна статья в журнале, включенном в перечень рецензируемых журналов и изданий, рекомендованных Высшей аттестационной комиссией Министерства образования и науки Российской Федерации для публикации основных результатов диссертаций на соискание ученой степени кандидата медицинских наук.
Объем и структура диссертации
Диссертация изложена на 120 страницах, содержит 13 таблиц и 30 рисунков. Она состоит из введения, обзора литературы (одна глава), собственных исследований (три главы), заключения, выводов и практических рекомендаций. Список литературы включает 224 источника, из них 104 отечественных и 120 зарубежных.
СОДЕРЖАНИЕ РАБОТЫ
Материалы и методы экспериментального исследования
В соответствии с целями и задачами исследования проведены эксперименты на 48 белых крысах-самцах линии «Вистар» массой 180–210 г и 32 беспородных собаках массой 30–40 кг.
Исследования проводились согласно решению экспертного совета по биомедицинской этике ГОУ ВПО «Башкирский государственный медицинский университет» Росздрава (приказ ректора от 01.01.2001 г. № 000) и в соответствии с положениями Хельсинкской декларации по вопросам медицинской этики (2000).
Подготовка животных к операции заключалась в отмене пищи и питья за 12 часов до опыта. За 15 мин до операции животным вводили внутримышечно атропина сульфат 0,1 % 0,04 мл/кг массы тела.
Эксперимент заключался в непрямой лимфографии и удалении лимфатических узлов вместе с клетчаткой, с последующим морфологическим изучением материала.
Морфологические исследования были проведены по общепринятым методикам: вырезанный участок клетчатки шеи с лимфатическими узлами фиксировали в 10 % нейтральном формалине, производили заливку материала в парафин, приготовленные срезы толщиной 5–6 мкм окрашивали гематоксилином и эозином. При световой микроскопии оценивали наличие и степень окрашивания лимфатических узлов.
Перед оперативным вмешательством проводилась непрямая лимфография.
В основе непрямой лимфографии лежит способность лимфатических капилляров всасывать водо - и жирорастворимые контрастные вещества, вводимые в кожу, в подслизистую или подкожную жировую клетчатку, где создается депо. Нами были определены четыре отдела полости рта, оптимальных для введения метиленовой сини, а также установлено, что лимфатическая сеть наиболее развита в подслизистом слое.
Метиленовая синь вводилась животным в среднюю треть языка, корень языка, дно полости рта ближе к корню языка. С целью визуализации подбородочных и подчелюстных лимфатических узлов была выбрана область переднего отдела дна полости рта.
Крысам вводили по 0,5 мл красителя, собакам – по 2 мл красителя.
Материалы и методы анатомического исследования
В основу анатомического материала, используемого в работе, положены результаты исследования на 28 трупах людей различных возрастных групп обоего пола (19 мужчин и 9 женщин) в возрасте от 30 до 60 лет. Отбирались трупы людей обычного телосложения, умерших от причин, не связанных со злокачественным поражением органов головы и шеи. Были использованы методы микро- и макропрепарирования.
Материалы и методы клинического исследования
Проанализировано 244 историй болезни пациентов со злокачественными новообразованиями языка, находившихся в 1997–2007 гг. на лечении в отделении головы и шеи Республиканского онкологического диспансера (РБ, г. Уфа).
Из указанного числа больных ,3 %) представлено мужчинами и,7 %) женщинами; средний возраст больных составил 57 лет.
В основу клинического материала, используемого в работе, положены результаты обследования и хирургического лечения 97 больных с новообразованиями слизистой оболочки языка, находившихся в 1997–2007 гг. на стационарном лечении в отделении опухолей головы и шеи (таблица 1). Под наблюдением находились пациенты с диагнозом: Рак языка Т1–3 NXM0 (рисунок 1). Критерием включения в исследование явилась клиническая интактность регионарной зоны лимфообращения.
Таблица 1 – Распределение больных раком слизистой оболочки языка по полу и возрасту
Возраст, лет | Мужчины | Женщины | Всего больных | |||
абс. | % | абс. | % | абс. | % | |
20–40 | 10 | 19,3 | 6 | 13,3 | 16 | 16,5 |
Св. 40–60 | 17 | 32,7 | 17 | 37,8 | 34 | 35,0 |
Св. 60–70 | 25 | 48,0 | 22 | 48,9 | 47 | 48,5 |
Рисунок 1 Распределение больных раком слизистой оболочки языка
по стадиям заболевания
Определение характеристик опухоли производилось согласно системе TNM в редакции Международного противоракового союза (2002). Все больные при поступлении проходили комплекс диагностических исследований. При изучении анамнеза особое внимание обращалось на давность заболевания, время первичного обращения к врачу, метод проводимого лечения.
Клинико-лабораторные исследования включали общий анализ крови и мочи, биохимическое исследование крови, коагулограмму, электрокардиографию.
Первая стадия рака языка диагностирована у,8 %), вторая стадия – у,0 %), третья стадия – у,2 %) больных. Различий по стадиям рака нет (X² = 3,0; p<0,22).
Из 97 больных раком языка экзофитная форма роста опухоли наблюдалась у,0 %), эндофитная форма – у%) пациентов.
По морфологическому строению у,1 %) больных установлен плоскоклеточный ороговевающий рак, у,9 %) – плоскоклеточный неороговевающий рак (p<0,001).
Клинико-лабораторные исследования включали общий анализ крови и мочи, биохимическое исследование крови, коагулограмму, электрокардиограмму.
После отбора 97 больных и назначения им обследования их состояние оценивалось по специально разработанной нами таблице.
Вслед за постановкой предварительного клинического диагноза пациенту проводилось оперативное вмешательство в объеме удаления первичной опухоли с одномоментной лимфодиссекцией шеи в зоне интереса по данным обзора материала клинического исследования.
С учетом данных научной литературы по проблеме исследования [, 1999; , 2000; , 2002; , 2006], нами был разработан и проведен в жизнь следующий порядок обследования регионарной зоны у больных раком языка, направленный на раннее выявление скрытых метастазов в лимфатических узлах, при пальпации которых не отмечается их увеличения.
Первый этап включал осмотр больного, пальпацию лимфатических узлов шеи, биопсию опухоли. На втором этапе проводилось ультразвуковое исследование шеи, компьютерная томография, непрямая лимфосцинтиграфия. После проведенных исследований все полученные данные анализировали. Регионарная лимфодиссекция выполнялась на одноименной стороне, обязательно с одновременным удалением первичного очага. На основании изучения вопроса о регионарном метастазировании рака языка нами был разработан лечебно-диагностический комплекс мероприятий по раннему выявлению и предупреждению регионарных метастазов рака языка.
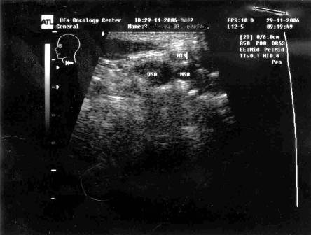
Ультразвуковое исследование лимфатических узлов шеи осуществлялось на аппарате HDI 1500 фирмы «Philips» линейным датчиком с рабочей частотой 3–5 МГц (рисунок 2).

Рисунок 2 – Сонограмма метастаза рака корня языка в прекаротидный
лимфатический узел
При дооперационном ультразвуковом исследовании использовался стандартный осмотр в В-режиме плюс методика допплерографии с изучением кровотока в лимфатических узлах.
Периферические лимфатические узлы (ЛУ) исследовали линейными датчиками с рабочей частотой 5–12 МГц. При подборе частоты датчика учитывали телосложение пациента и топографическое расположение групп исследуемых лимфатических узлов.
Компьютерная томография проводилась на аппарате Somatom AR. SHP, Siemens (ФРГ), шагом 3 мм в прямой и аксиальной плоскости, с последующей мультипланарной и трехмерной реконструкцией зоны интереса. Для КТ-исследования шеи предпочтительнее прямая сканограмма, на которой хорошо видна бифуркация трахеи, служащая ориентиром при планировании исследования (рисунок 3).
Для получения аксиальных сканов начальным уровнем сканирования служит уровень слуховых проходов, конечным – уровень бифуркации трахеи.
Непрямая лимфосцинтиграфия (НЛСГ) лимфатических узлов шеи основана на избирательном накоплении коллоидных частиц в РЭС-клетках лимфатических узлов. Радиофармпрепарат Тс-99 (Россия) характеризуется быстрым распространением по лимфатическим путям. Специальной подготовки больного не требуется. Радиофармпрепарат (РФП) нами вводился под слизистую основания опухоли в объеме 0,5 мл, а также в здоровую сторону. Сцинтиграфия выполнялась дважды, через 3 и 6 часов после введения радиофармпрепарата. Основной вид анализа – визуальная оценка сцинтиграмм. При этом учитывались топография, форма, четкость контуров лимфатических узлов, а также степень накопления в них радиофармпрепарата.

Рисунок 3 – Компьютерная томограмма шеи
1 – метастаз рака корня языка в яремно-двубрюшный лимфатический
узел; 2 – кивательная мышца; 3 – внутренняя сонная артерия.
При введении РФП в край корня языка, в этой области, вследствие обилия лимфатических сосудов, выведение коллоидных частиц происходило более быстро и в большем количестве, чем при других способах введения. Через 24 ч в области введения оставалось не более 40 % радиофармпрепарата, тогда как остальные 60 % распределялись в регионарных лимфатических узлах (рисунки 4 и 5).
|
|
Рисунок 4 – Поражение метастазами яремно-двубрюшного узла слева (сцинтиграмма) | Рисунок 5 – Поражение метастазами подчелюстных лимфатических узлов (сцинтиграмма) |
Методика регионарной лимфодиссекции как способ диагностики и профилактики метастазов рака слизистой оболочки языка
Учитывая закономерности лимфообращения головы и шеи по данным обзора литературы, анатомического исследования, результатов экспериментального исследования, нами разработана лечебно-диагностическая операция – регионарная лимфодиссекция, выполняемая на зонах регионарного метастазирования при раке языка при Nx.
Операцию лимфодиссекции проводили одномоментно с удалением первичного очага.
Методика операции заключалась в следующем. Под общим обезболиванием производили удаление первичного очага комбинированным доступом. Внутриротовым доступом определяли границы опухоли и уровень ее резекции, затем производили внеротовой продольный разрез кожи в подчелюстной области, медиальнее от края нижней челюсти на 1,5–2,0 см. Отсепаровывали кожно-жировые лоскуты, рассекали поверхностную фасцию, m. platуsma, двубрюшную мышцу отводили медиально, тем самым открывали доступ к подчелюстному футляру. При хирургическом лечении рака Т2–3 слизистой оболочки языка разрез кожи продолжали по переднему краю грудино-ключично-сосцевидной мышцы. Производили лимфодиссекцию верхней, средней и нижней югулярной цепи.
Статистическая обработка полученных данных выполнялась с помощью компьютерных программ «Еxcel 5.0» и «Word 6.0» с использованием стандартных методов вариационной статистики, включая корреляционный анализ, а также вычисление t-критерия Стьюдента для оценки значимости различия при парных измерениях значений показателей. Результаты представлены в виде M±m, различия считались статистически значимыми при P<0,05 [ 1999; , 2003]. В работе приведены точные значения критерия X² и уровня значимости р.
РЕЗУЛЬТАТЫ СОБСТВЕННЫХ ИССЛЕДОВАНИЙ И ИХ ОБСУЖДЕНИЕ
Результаты экспериментального исследования
Все лабораторные животные были поделены на 8 групп, в каждую входило по 6 крыс и по 2 собаки. В первой группе через 2 ч после введения контрастного вещества в передний отдел языка визуального и микроскопического окрашивания лимфатических узлов не обнаружено. Во второй группе спустя 24 ч после введения контрастного вещества у 5 крыс отмечено окрашивание подбородочных лимфатических узлов, у обеих собак окрасились подбородочные и передние подчелюстные лимфатические узлы.
В третьей группе спустя трое суток у всех крыс наблюдали окрашивание подчелюстного и подбородочного лимфатических узлов, а у собак предыдущее
окрашивание лимфатических узлов сохранилось.
В четвертой группе собак спустя пять суток после введения контраста в передний отдел языка у 4 крыс обнаружено окрашивание первых двух групп лимфатических узлов, а у собак дополнительно и яремно-двубрюшного лимфатического узла.
В пятой группе спустя 2 ч после введения метиленовой сини в область задней трети языка визуального и микроскопического окрашивания лимфатических узлов не обнаружено.
В шестой группе спустя 24 ч после введения контраста в заднюю треть языка у крыс обнаружено окрашивание подчелюстного лимфатического узла, у собак – среднего подчелюстного и яремно-двубрюшного узлов.
В седьмой группе спустя трое суток после введения контрастного вещества в заднюю треть языка у крыс обнаружено окрашивание подчелюстных и яремно-двубрюшного лимфатических узлов, а у собак – окрашивание среднего и заднего подчелюстных и яремно-двубрюшного лимфатических узлов.
В восьмой группе спустя пять суток после введения контраста в заднюю треть языка у крыс и собак сохранилось ранее имеющиеся окрашивание упомянутой группы лимфатических узлов, у собак добавилась окраска яремно-лопаточно-подъязычного узла.
Проведение экспериментальных исследований на лабораторных крысах и собаках с применением непрямой лимфографии показало, что данный метод является объективным методом изучения тока лимфы челюстно-лицевой области.
Таким образом, данные экспериментального исследования свидетельствуют, что для слизистой оболочки полости рта существует определенная закономерность оттока лимфы по сосудам в лимфатические узлы первого, второго, третьего порядка – так называемые функционирующие узлы, а затем в резервные. Данный факт имеет особую актуальность при злокачественных новообразованиях слизистых оболочек полости рта, когда происходит процесс метастазирования в регионарные лимфатические узлы.
Из приведенных данных следует, что лимфообращение языка в зависимости от места введения контрастного вещества имеет определенные закономерности. При введении метиленовой сини в передней отдел языка окрасились подбородочные и подчелюстные лимфатические узлы как у крыс, так и у собак; при введении красителя в среднюю и заднюю треть языка окрашивалась задняя группа подчелюстных лимфатических узлов, яремно-двубрюшные лимфатические узлы у всех животных, а у собак и яремно-лопаточно-подъязычный лимфатический узел.
Результаты анатомического исследования
Путем анатомического препарирования трупов людей обоего пола, умерших от неонкологических заболеваний, в околоушной области обнаружены поверхностно расположенные лимфатические узлы: впереди наружного слухового прохода, непосредственно под околоушно-жевательной фасцией; глубокие узлы (1–2) – между дольками околоушной железы; позадиушные узлы (1–2) – в области сосцевидного отростка. Исследования показали, что поверхностные лимфатические сосуды головы начинаются из лимфатических сетей кожи и делятся на две группы: переднюю и заднюю. Направление крупных лимфатических сосудов соответствует ходу кровеносных сосудов.
Лимфатические сосуды из кожных сетей внутренних половин верхнего и нижнего века, носа, щеки и верхней и нижней губ, а также глубокие сосуды от мышц, костей, слизистой оболочки преддверия рта и носа, направляются соответственно ходу vasa facialia в подчелюстной треугольник, где вступают в поднижнечелюстные лимфатические узлы, nodi lymphatici submandibulares. Поднижнечелюстные лимфатические узлы выявляются постоянно числом от трех до шести. Для удобства изучения процесса метастазирования мы их разделили на передние, средние и задние. Чаще они располагались в области, ограниченной нижним краем тела нижней челюсти и передним брюшком двубрюшной мышцы, в ложе поднижнечелюстной слюнной железы, но вне ее капсулы.
Лимфатические сосуды от нижней губы и подбородка направляются к подподбородочным лимфатическим узлам, nodi lymphatici submentales, которые находятся над телом подъязычной кости; они принимают также лимфу от лимфатических сосудов кончика языка. Подбородочные лимфатические узлы были выявлены у 23 из 28 трупов, что составило 82,1 % случаев, их число колеблется от двух до пяти. Эти узлы находились на фасции подбородочно-подъязычной мышцы между передними брюшками двубрюшных мышц и подъязычной костью.
Лимфатические сосуды языка делятся на поверхностные, которые начинаются в сети лимфатических сосудов слизистой оболочки, и на глубокие. Глубокие лимфатические узлы шеи, числом 3–4, располагаются вдоль внутренней яремной вены. Они находятся под глубоким листком собственной шейной фасции и группируются вдоль внутренней яремной вены по ходу наружной ветви добавочного нерва. Эти лимфатические узлы являются постоянными. Выделение трех групп узлов, расположенных возле внутренней яремной вены, связано с тремя ее отделами (уровнями): верхним, средним, нижним. Верхней границей является основание черепа (у яремного отверстия вокруг верхнего отдела яремной вены). Нижней границей является место пересечения лопаточно-подъязычной мышцы с внутренней яремной веной. Граница между верхней и средней группами проходит по условной линии, соединяющей тело подъязычной кости и бифуркацию общей сонной артерии.
Верхняя группа яремных лимфатических узлов расположена возле верхней трети внутренней яремной вены и ограничена сверху нижним краем заднего брюшка двубрюшной мышцы, а снизу – местом впадения лицевой вены во внутреннюю яремную вену. Средняя группа внутренних яремных лимфатических узлов находится вдоль средней трети этой вены. Нижняя группа внутренних яремных лимфатических узлов находится на уровне слияния яремной вены с подключичной веной.
Лимфатические сосуды от прекаротидой области проходят в лимфатические узлы, расположенные у латеральной или на передней поверхности внутренней яремной вены, под нижним краем заднего брюшка на двубрюшной мышце, называются яремно-двубрюшными. Другой лимфатический узел встречается у медиальной поверхности внутренней яремной вены (в жировой клетчатке), у места впадения в нее общей лицевой вены, и называется яремно-лицевым (ангулярный лимфатический узел по ).
Нижняя группа лимфатических узлов внутренней яремной вены располагается от уровня пересечения лопаточно-подъязычной мышцы до яремной вены вверху и до слияния ее с подключичной веной – надключичные лимфатические узлы.
Результаты клинического исследования
Работа посвящена анализу точности диагностических методов (УЗИ, компьютерная томография, лимфосцинтиграфия). Для оценки эффективности этих методов выполнялось сравнение результатов диагностики с результатами, полученными методом «золотого стандарта» (послеоперационная гистология).
По данным проанализированных 244 случаев можно сказать, что регионарное метастазирование до 83 % случаев по данным ультразвукового исследования наблюдается в течение первого года с момента заболевания. У 107 из 244 больных, что составило 43,8 %, обнаружены метастазы в регионарные лимфатические узлы. Чаще метастазирование наблюдалось при раке языка Т4 – у,7 %) человек.
Подбородочные лимфатические узлы при Т1 поражались в 1,79 %, при Т2 – в 3,28 %, при Т3 – не поражались, при Т4 – в 6,67 % случаев.
Передний подчелюстной лимфатический узел поражался при Т1 в 8,93 %, при Т2 – в 8,06 %, при Т3 – в 4,55 %, при Т4 – в 10,00 % случаев.
Средний подчелюстной лимфатический узел при Т1 поражался в 16,07 %, Т2 – в 22,58 %, Т3 – в 30,3 %, Т4 – в 38,33 % случаев (X² = 8,2; р=0,04).
Задний подчелюстной лимфатический узел поражался при Т1 в 12,5 %, при Т2 – в 14,52 %, при Т3 – в 13,64 % и при Т4 – в 25,42 % случаев
Яремно-двубрюшный лимфатический узел поражался при Т1 в 3,57 %, при Т2 – в 9,68 %, при Т3 – в 19,7 % и при Т4 – в 28,33 % случаев (X² = 16,05; р=0,001). Это позволяет утверждать, что полученный результат исследования значимый.
Верхнеяремный лимфатический узел при Т1 не поражался, при Т2 поражался в 3,23 %, при Т3 – в 21,21 % и при Т4 – в 30,00 % случаев (X² = 30,82; р<0,05).
Средний яремный лимфатический узел при Т1 поражался в 1,79 %, при Т2 – в 1,61 %, при Т3 – 7,58 % и при Т4 – в 30,00 % случаев (X² = 35,35; р<005).
Нижний яремный лимфатический узел при Т1и Т2 не поражался, при Т3 поражался в 1,52 % и при Т4 – в 10,00 % случаев (X² = 14,86; р=0,001).
В соответствии с задачами настоящей работы проведено изучение анатомо-топографического расположения лимфатических узлов шеи, в том числе пораженных метастазами, их органной принадлежности и связи со слизистой оболочкой языка.
Наибольшее число больных было с локализацией рака в средней и задней трети слизистой оболочки языка. При расположении опухоли Т1–3 в переднем отделе языка наблюдалось метастазирование в 58,2 % случаев в одноименную регионарную зону – подчелюстные лимфатические узлы. При расположении опухоли в среднем отделе языка метастазы определялись в подчелюстном футляре, возрастало число метастатических узлов в средней группе глубокой яремной цепи. При расположении опухоли в задней трети языка наблюдалось превалирование метастазов в югуло-дигастральном и лимфатическах узлах средней глубокой яремной цепи одноименной стороны, в запущенных стадиях – с контрлатеральной стороны.
Если при локализации опухоли в переднем и среднем отделах частота контрлатерального метастазирования во всех лимфатических узлах составила 12,3 %, то в последнем случае эта цифра составила 17,4 %, с вовлечением верхних и средних групп глубоких яремных лимфатических узлов, со значительным уменьшением метастазирования в подчелюстной и увеличением метастазирования в средней шейной зоне соответственно. При поражении нескольких отделов языка эта закономерность сохранялась.
Всего за период исследований (2001–2007 гг.) с указанными локализациями зарегистрировано и пролечено 97 больных. Наибольшее число больных пришлось на возрастную группу от 60 до 70 лет.
По данным послеоперационной гистологии у больных, которым проведена одномоментная регионарная лимфодиссекция с удалением первичной опухоли языка, в,8 %) случаях в клинически неизмененных лимфатических узлах найдены метастазы плоскоклеточного рака, причем наибольшее число при третьей стадии – у,3 %) больных, при второй стадии – у,2 %) и при первой стадии – у 5 (8,5 %) больных.
Подбородочный лимфатический узел поражался при Т1 в 7,69 % случаев, при Т2 и Т3 – не поражался (X² = 5,57; р=0,06). Передний подчелюстной лимфатический узел поражался при Т1 в 7,69 %, при Т2 – в 14,71 %, при Т3 – в 10,8 % случаев. Средний подчелюстной лимфатический узел при Т1 поражался в 7,69 %, при Т2 – в 29,41 %, при Т3 – в 54,05 % случаев (X² = 15,14; р=0,00051). Задний подчелюстной лимфатический узел поражался при Т1 в 3,85 %, при Т2 – в 23,53 %, при Т3 – в 40,54 % случаев (X² = 11,00; p=0,00392).
Яремно-двубрюшный лимфатический узел поражался при Т1 в 3,85 %, при Т2 – в 27,27 %, при Т3 – в 43,24 % случаев (X² =12,00; p = 0,00248), это позволяет утверждать, что полученный результат исследования значимый.
Верхнеяремный лимфатический узел при Т1 не поражался, при Т2 поражался в 5,88 %, при Т3 – в 45,95 % случаев (X² = 26,7; p<0,05). Средний яремный лимфатический узел при Т1не поражался, при Т2 поражался в 2,94 %, при Т3 – в 27,03 % случаев (X² = 14,7; p = 0,0062). Нижний яремный лимфатический узел при Т1и Т2 не поражался, при Т3 поражался в 10,8 % случаев (X² = 6,7; p = 0,03).
Таким образом, в ходе проведенных нами исследований были обоснованы показания к выполнению операции регионарной лимфодиссекции при раке языка Т1–3 NхМо.
Совершенствование методов диагностики метастазов при раке языка Т1–3NхМо
C целью раннего выявления регионарных метастазов при раке языка нами предложен алгоритм диагностики, включающий УЗИ, КТ, непрямую лимфосцинтиграфию.
По данным ультразвукового исследования из 59 больных у,5 %) были диагностированы метастазы рака.
Послеоперационная лимфодиссекция с гистологическим исследованием подтвердила наличие метастазов в лимфатических узлах шеи в 59 случаях. В 14 случаях из 38 результаты УЗИ оказались ложноположительными, что составило 36,84 %.
В результате анализа полученных нами результатов ультразвукового исследования шеи больных раком языка Т1–3NхМо чувствительность метода составила 0,30, специфичность – 0,60 и эффективность – 0,46. Ошибки при УЗИ пришлись на лимфатические узлы диаметром менее 1 см, при которых не удалось оценить васкуляризацию, включающую следующие параметры: проходимость сосуда, состояние просвета, сосудистый рисунок, состояние периваскулярных тканей. Это позволяет утверждать, что метод УЗИ повышает диагностику метастазов в лимфатические узлы шеи в комплексе с другими методами.
По данным компьютерной томографии число диагностируемых метастазов составило,9 %) случая, в 9 (23,68 %) случаях результат был ложноположительным. Исходя из полученных данных, чувствительность компьютерной томографии составила 0,38, специфичность – 0,76, эффективность – 0,57.
Дифференцировать по данным КТ воспалительную или другую природу поражения при мелких единичных узлах не всегда представляется возможным. Одиночный лимфатический узел воспалительной или метастатической природы небольших размеров (0,5–1,0 см) при КТ-исследовании не имеет отличительных признаков.
Таким образом, при злокачественных образованиях головы и шеи КТ-изображение может помочь в стадировании процесса. Компьютерная томография шеи используется для определения скрытых метастазов или для оценки операбельности пальпируемых метастазов. Определение метастазов небольших размеров при КТ имеет ограничения, а микрометастазы не могут быть обнаружены. Тем не менее, использование КТ играет важную роль в уменьшении риска скрытых метастазов у пациентов с новообразованиями языка.
По данным проведенных нами исследований непрямой лимфосцинтиграфии, доля диагностированных метастазов в лимфатические узлы шеи составила,71 %) случаев. В 9 (23,68 %) случаях результаты лимфосцинтиграфии оказались ложноположительными. По нашим результатам, чувствительность лимфосцинтиграфии составила 0,62, специфичность – 0,76, эффективность – 0,69.
В ходе экспериментальных исследований было выявлено, что лимфообращение языка в зависимости от места введения контрастного вещества имеет определенные закономерности. При введении метиленовой сини в передний отдел языка окрасились подбородочные и подчелюстные лимфатические узлы как у крыс, так и у собак, при введении красителя в среднюю и заднюю треть языка окрашивалась задняя группа подчелюстных лимфатических узлов, яремно-двубрюшные лимфатические узлы у всех животных, а у собак и яремно-лопаточно-подъязычный лимфатический узел..
Таким образом, анализ проведённых нами исследований свидетельствует о важности проблемы лимфатической системы и лимфообращения языка. Прохождение лимфы через регионарные и отдалённые лимфатические узлы, коллекторные лимфатические сосуды приобретает особую актуальность при злокачественных новообразованиях, когда происходит перенос раковых клеток вместе с лимфой к ближайшим лимфатическим узлам, где в этом случае развиваются метастазы.
Проведенные исследования показали, что в обнаружении метастазов при расположении опухоли в передней трети языка информативны были все методы, в большей степени УЗИ (чувствительность составила 61,5 %). В средней трети языка использование всех трех методов позволило обнаружить наличие метастазов лишь в половине случаев относительно данных послеоперационной гистологии. В задней трети языка метод лимфосцинтиграфии являлся наиболее точным (чувствительность составила 43,3 %) (таблицы 2 и 3).
Таблица 2 – Выявление больных с метастазами рака языка по данным различных методов исследования в сравнении с результатами послеоперационной гистологии
Локализация рака в языке | УЗИ | КТ | НЛСГ | Послеоперационная гистология |
Передняя треть | 8 | 6 | 7 | 13 |
Средняя треть | 5 | 11 | 14 | 19 |
Задняя треть | 5 | 6 | 16 | 27 |
Таблица 3 – Распределение больных с метастазами рака языка по данным различных методов исследования
Локализация рака в языке | УЗИ | КТ | НЛСГ | |||
абс. | % | абс. | % | абс. | % | |
Передняя треть | 8 | 61,5 | 6 | 46,1 | 7 | 53,8 |
Средняя треть | 5 | 26,3 | 11 | 57,9 | 14 | 73,6 |
Задняя треть | 5 | 18,5 | 6 | 22,2 | 16 | 59,25 |
В ходе проведенных нами экспериментальных исследований на животных, анатомо-топографических исследований на трупном материале, клинических исследований (УЗИ, КТ, НЛСГ в сочетании с регионарной лимфодиссекцией с последующим гистологическим исследованием материала) удалось повысить до 84 % эффективность диагностики регионарных метастазов рака языка.
На основании изучения вопроса о регионарном метастазировании рака языка нами был разработан лечебно-диагностический комплекс мероприятий по раннему выявлению и предупреждению регионарных метастазов рака языка (рисунок 6).
|
| ![]() | ||
| |||
|
| ||
| |||
Рисунок 6 – Диагностические этапы обследования больных раком языка
ВЫВОДЫ
1 В ходе экспериментов на животных (крысах и собаках) выявлена общая закономерность лимфообращения языка. Функционирующие лимфатические узлы языка являются постоянными, находятся под глубоким листком собственной шейной фасции и группируются числом 3–4 вдоль внутренней яремной вены.
2 Достоверность результатов ультразвукового исследования микрометастазов в регионарных лимфатических узлах шеи составила 30,5 %, компьютерной томографии – 38,9%, сцинтиграфии – 62,7 %.
3 Разработанный алгоритм ранней диагностики метастазов рака слизистой оболочки языка, включающий ультразвуковое исследование, компьютерную томографию и непрямую лимфосцинтиграфию, является высокоинформативным неинвазивным методом исследования и позволяет выявить скрытые метастазы рака языка со значением Nх до 84 % случаев.
4 Лечебно-диагностическая операция – регионарная лимфодиссекция при раке языка, в зависимости от расположения первичной опухоли Т1–3, при хирургическом лечении позволяет определить наличие невыявленных микрометастазов рака с помощью дополнительных методов исследования (ультразвуковое исследование, компьютерная томография и непрямая лимфосцинтиграфия).
5 При патогистологическом подтверждении наличия микрометастазов рака языка в лимфатических узлах шеи регионарная лимфодиссекция является основанием для проведения комплексного лечения, включающего операцию Крайля.
ПРАКТИЧЕСКИЕ РЕКОМЕНДАЦИИ
1 С целью ранней диагностики регионарных метастазов и предупреждения миграции опухолевых клеток при раке языка разработанный алгоритм диагностики рекомендован для применения в комплексе, включающем ультразвуковое исследование, непрямую лимфосцинтиграфию, компьютерную томографию.
2 При первичных хирургических вмешательствах по поводу рака языка рекомендовано применение регионарной лимфодиссекции шеи с целью определения наличия метастазов в клинически интактных лимфатических узлах.
3 Проведение комплекса мероприятий, включающего ультразвуковое исследование, непрямую лимфосцинтиграфию и компьютерную томографию, рекомендуется для выявления больных раком языка с метастазами в лимфатические узлы шеи и головы, с целью обеспечения максимального эффекта лечения.
4 При обследовании больных для прогнозирования дальнейшего пути метастазирования рекомендуется руководствоваться анатомо-топографическими и функциональными связями слизистой оболочки языка с регионарной зоной лимфообращения.
СПИСОК РАБОТ, ОПУБЛИКОВАННЫХ ПО ТЕМЕ ДИССЕРТАЦИИ
1 Ахметов, Т. Ф., Буляков -анатомические параллели метастазирования рака органов головы и шеи // Материалы VI научной сессии Ассоциации онкологов Башкортостана / МЗ РБ; БГМУ. – Уфа : Здравоохранение Башкортостана, 2002. – С. 16–18 (лично автора – 1,0 п. л.).
2 , , Бакиров метастазирования при раке гортани // Актуальные проблемы диагностики, лечения и профилактики заболеваний эндокринной системы : материалы Республиканской научно-практической конференции эндокринологов. – Уфа : БГМУ, 2002. – С. 105 (лично автора – 0,2 п. л.).
3 , , Бакиров неинвазивных методов диагностики патологии лимфатических узлов головы и шеи // Там же. – С. 107 (лично автора – 0,2 п. л.).
4 , Вагапова особенности органного лимфообращения языка в эксперименте // Морфология. – 2006. – Т. 129, № 4. – С. 13 (лично автора – 0,1 п. л.).
5 , , Бакиров метастазирования как модель для изучения топического и количественного расположения лимфатических узлов шеи // Проблемы экспериментальной, клинической и профилактической лимфологии : материалы I Сибирского съезда лимфологов с международным участием / под ред. . – Новосибирск : «Редакционно-издательский центр, 2006. – С. 24 (лично автора – 0,2 п. л.).
6 , , Ахметов при раке органов головы и шеи // Там же. – С. 28 (лично автора –0,3 п. л.).
7 , , Тихонова оценка эффективности методов визуализации метастазов в лимфатические узлы шеи при раке языка Т2–3 NxM0 // Пермский медицинский журнал. – 2009. – Т. 26, № 3. – С. 77–81 (лично автора – 2,0 п. л.).
8 Ахметов диагностики, профилактика и преимущества комбинированного лечения метастазов в регионарные лимфатические узлы шеи при раке языка / // Креативная хирургия и онкология (перечень ВАК Минобрнауки России). – 2009. – № 2. – Приложение. – С. 15–17 (лично автора – 2,6 п. л.).
Подписано в печать ……….2010 г. Формат 60·84/16.
Гарнитура Times New Roman. Бумага офсетная.
Усл. печ. л. 1,4. Уч.-изд. л. 1,5.
Тираж 100. Заказ № ...
Отпечатано на ризографе.
Издательская лицензия № …….…... от …………..20.. г.
«Здравоохранение Башкортостана»
РБ, , тел. (3,






