Федеральное государственное бюджетное образовательное
учреждение высшего профессионального образования
Медицинский Институт
Факультет «Стоматология»
Курсовая работа
По дисциплине «Детская челюстно-лицевая хирургия »
на тему: «Одонтогенные воспалительные кисты челюстей»
Группа:
Выполнил: студент
Приняла: ассистент кафедры
Введение
Одонтогенные кисты челюстей являются весьма распространенной патологией. В настоящее время хирургическое лечение данной патологии является наиболее эффективным, что не маловажно, т. к. все околокорневые одонтогенные кисты являются очагами хронической инфекции, оказывающей неблагоприятное воздействие на организм.
В данной работе пойдет речь об этиологии, патогенезе, методах диагностики, показаниях и методиках хирургического лечения.
Этиология и патогенез
Одонтогенные кисты - внутрикостные полостные ретенционные образования, появление которых обусловлено либо нарушением развития зубного фолликула, либо хроническим воспалительным процессом в пародонте.
Эпителий, выстилающий полость кисты, происходит из остатков зубообразующей эпителиальной пластинки (островки Маляссе) под воздействием хронического воспаления или из эпителия зубного фолликула. Между эпителиальной выстилкой и костной тканью имеется соединительнотканная прослойка.
Составными элементами кисты являются : оболочка, состоящая из соединительнотканной части и эпителиальной выстилки и полость.
Полость одонтогенной кисты заполнена жидким или полужидким содержимым - скапливающимися продуктами жизнедеятельности эпителиальной выстилки в виде коллоидов и кристаллоидов ( в частности, кристаллов холестерина)

Накопление продуктов жизнедеятельности эпителиальной выстилки ведет к повышению онкотического давления, что сопровождается увеличением гидростатического давления в полости кисты. Как следствие увеличивается давление на окружающую кость, происходит остеолиз, что ведет к увеличению объема костной полости (росту кисты) и деформации челюсти.

В этом схематичном рисунке, стрелка А указывает на соединительно-тканную стенку, которая ограничивает кисту. Стрелки B указывают на различные типы эпителия, который может выстилать кисту, развивающуюся в пределах полости рта.
Классификация
По морфо - и патогенезу, а также локализации различают следующие виды одонтогенных кист:
1) Кисты, образующиеся из эпителия зубообразующей пластинки (радикулярные)
А) апекальная киста - периодонтальная киста, охватывающая верхушку корня зуба
Б)латеральная периодонтальная киста, прилежащая или охватывающая боковую поверхность корня прорезавшегося зуба
В) резидуальная киста, оставшаяся после удаления зуба
2) Кисты, развивающиеся из эмалевого органа или фолликула
А) Фолликулярная киста,
Б) Примордиальная киста,
В) Гингивальная киста.
3) Кисты, развивающиеся из эмалевого органа или остравков Маляссе
А) Кератокиста.
Клиническая картина
Определяется видом, размерами кисты, наличием или отсутствием осложнений в виде нагноения, возникновения патологического перелома челюсти.
Жалобы при кистах небольшого размера, как правило, отсутствуют, и обнаружение кисты является случайной находкой при рентгенологическом исследовании по поводу заболеваний соседних зубов.
При увеличении размеров кисты может возникать деформация челюсти и у пациентов возникают жалобы на выбухание слизистой оболочки. В случае, когда киста исходит от зубов верхней челюсти, увеличиваясь в размерах, она оттесняет верхнечелюстную пазуху, вызывая хроническое воспаление выстилающей ее слизистой оболочки и, как следствие, возможны жалобы на головную боль чувство тяжести в средней зоне лица. Прорастание кисты в нижний носовой ход сопровождается затруднением носового дыхания.
При локализации кисты в нижней челюсти возможна компрессия нижнего альвеолярного нерва. Следствием этого могут возникать жалобы на онемение кожи и слизистой в области угла рта, слизистой оболочки альвеолярного отростка. При значительном увеличении размеров кисты возможно возникновение патологического перелома.
При обследовании возможно обнаружении деформации челюсти, при пальпации наличие симптома «пергаментного хруста» (симптом Дюпюитрена).
Чаще поводом для обращения к врачу является обострение заболевания – нагноение кисты, сопровождаемое болью – самым лучшим мотиватором необходимости лечения.
Клинические симптомы при обострении
При обследовании больных с нагноившейся кистой выявляется асимметрия лица вследствие отека околочелюстных мягких тканей, гиперемия кожных покровов. Открывание рта может как в полном объеме, так и ограниченное в случаях нагноения кист, исходным пунктом которых явились третьи моляры. При внутриротовом осмотре отмечается гиперемия слизистой оболочки над местом локализации кисты, возможна отслойка периоста гноем, что будет сопровождаться симптомом флюктуации. Перкуссия причинного зуба, как правило, болезненная. Также может наблюдаться подвижность причинного зуба.
Диагностика
При сборе анамнеза больные с одонтогенными околокорневыми кистами обычно указывают на проведенное ранее эндодонтическое лечение «причинного» зуба, после чего отмечалось стихание болей. Часть отмечает периодическое обострение заболевания, которое проходило после проведения внутриротового разреза.
Основное место в диагностике принадлежит рентгенологическому исследованию.
При кистах верхней челюсти элементами рентгенологического исследования являются:
1) Внутриротовая контактная рентгенограмма.
Позволяет оценить степень резорбции костной ткани альвеолярного отростка (при снижении высоты на 1/3 и ниже проведение зубосохраняющей операции нецелесообразно). Состояние канала корня зуба, степень и качество его пломбирования. Наличие отломков инструментов в канале, наличие перфораций. Взаимоотношение кисты с корнями соседних зубов. Взаимоотношение корней соседних зубов с кистозной полостью может варьировать. Если корни вдаются в полость кисты, на рентгенограмме периодонтальная щель отсутствует вследствие рассасывания замыкательной пластинки лунок этих зубов. Если же периодонтальная щель определяется, то такие зубы только проецируются на область кисты, а на самом деле корни их располагаются в одной из стенок челюсти.
2) Ортопантомограмма.
Позволяет оценить сразу обе челюсти, возможна оценка состояния верхнечелюстных пазух.
3) Обзорная рентгенограмма черепа в носоподбородочной проекции.
Для оценки состояния верхнечелюстных пазух. Истончение костной перегородки и ее куполообразное смещение характерны для кисты, оттесняющей пазуху. Киста, проникающая в пазуху, характеризуется отсутствием костной стенки, при этом определяется куполообразная мягкотканная тень на фоне верхнечелюстной пазухи
Однако, в случае наличия больших кист проникающих или оттесняющих верхнечелюстную пазуху, лучшим из методов лучевой диагностики следует признать компьютерную томограмму, позволяющую наиболее точно оценить состояние верхнечелюстной пазухи, ее соотношение с кистой, локализацию кисты (щечная, небная)
При рентгенологическом исследовании нижней челюсти применяются:
1) Внутриротовая контактная рентгенограмма.
2) Ортопантомограмма.
3) Рентгенограмма нижней челюсти в боковой проекции.
4) Компьпьютерная томограмма.

Из других методов диагностики следует отметить электроодонтодиагностику, применяемую с целью установить витальность зубов, прилежащих к кисте. При повышении порога электровозбудимости зубов, прилежащих к кисте, свыше 60мА рекомендуется их эндодонтическое лечение.
Цитологическое и гистологическое исследование.
При подозрении на малигнизацию обязательно проведение цитологического исследования пунктата кисты и гистологическое исследование удаленного образования.
Наиболее часто встречающиеся виды кист челюстей
Радикулярная киста.
Наиболее часто локализуется в области боковых резцов, несколько реже – в зоне центральных резцов, премоляров, первых моляров.


До появления деформации челюсти клиническая картина околокорневой кисты аналогична клинической картине, наблюдаемой при хроническом периодонтите, - периодически появляющиеся болевые ощущения в области причинного зуба, усиливающиеся при накусывании.
Зуб имеет глубокую кариозную полость, пломбу или покрыт коронкой, перкуссия его может вызывать боль. У ряда ольных в области альвеолярного отростка на уровне проекции корня причинного зуба выявляется свищевой ход или рубец. Данные электроодонтометрии указывают на некроз пульпы зуба: порог болевой чувствительности превышает 100мА.
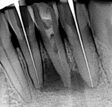
Рентгенологическая картина.
При рентгенологическом исследовании, поимо выявления околокорневой кисты в виде просветления округлой или овальной формы, окружающей корень зуба, важно оценить состояние самого причинного зуба, в частности степень разрушения связочного аппарата (периодонта), состояние канала корня, которое может характеризоваться следующими признаками:
- канал корня не запломбирован;
- канал корня заломбирован не до верхушки;
- канал корня запломбирован до верхушки с выведением пломбировочного материала;
- в канале корня находится обломок инструмента;
- перфорация стенки корня зуба;
- добавочное ответвление от основного канала;
- перелом корня зуба.
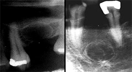
Резидуальные кисты
В случае удаления причинного зуба без удаления оболочки кисты формируется резидуальная киста.
Рентгенологически эта киста выглядит как четко отграниченное округлое просветление костной ткани, локализующееся в непосредственной близости к лунке удаленного зуба.

Зубосодержащая киста
Чаще причиной возникновения ее является радикулярная киста временного зуба. Увеличиваясь в размерах, киста захватывает формирующийся постоянный зуб. Приводя к ретенции и дистопии последнего, а при полном включении зачатка постоянного зуба в кисту происходит его гибель.

Также не исключён вариант включения ретинированного зуба в полость кисты, исходящей от постоянного зуба.
Первичная киста (кератокиста)
Развивается в основном в нижней челюсти, наблюдается сравнительно редко, начинается незаметно и длительное время не проявляется. При осмотре обнаруживается незначительное безболезненное выбухание участка челюсти в области одного из больших коренных зубов. У части больных кисту выявляют вследствие присоединения воспалительного процесса, иногда находят случайно при рентгенологическом обследовании по поводу других заболеваний.
Кератокиста распространяется по длиннику челюсти и не приводит к выраженной деформации кости. Поэтому определяют ее при достижении больших размеров. Киста распространяется на тело, угол и ветвь челюсти. Рентгенологическая картина характеризуется наличием обширного разрежения костной ткани с четкими полициклическими контурами, при этом неравномерное рассасывание кости создает впечатление многокамерности. Нередко в процесс вовлекаются венечный и мыщелковый отростки. Кортикальная пластинка истончается и иногда на некоторых участках отсутствует. На рентгенограмме обычно определяется периодонтальная щель корней зубов, проецирующихся на область кисты (рис. 3). Первичную одонтогенную кисту диагностируют на основе характерных клинико-рентгенологических проявлений. Ее следует дифференцировать от амелобластомы. При последней наблюдается выраженное вздутие челюсти. Окончательный диагноз устанавливают после морфологического исследования биопсийного материала. Проводится открытая биопсия с обязательным иссечением костной ткани и оболочки ее кисты по типу цистотомии. Биопсия одновременно является первым этапом хирургического лечения кисты. Макроскопическипервичная одонтогенная киста представляет единую полость с бухтообразными вдавлениями в окружающую кость, покрытую оболочкой и выполненную аморфной массой грязно-белого цвета. Микроскопически она характеризуется тонкой фиброзной капсулой, выстланной ороговевающим многослойным плоским эпителием. Лечение хирургическое. Так как киста способна к рецидивированию и озлокачествлению, показано при сохранении костных стенок полное удаление ее оболочки. В других случаях применяют двухэтапный метод операции.
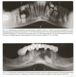
Фолликулярная киста
Эта киста развивается из эмалевого органа непрорезавшегося зуба, преимущественно третьего большого коренного на нижней челюсти, клыка и третьего большого коренного зуба на верхней челюсти. Клинические симптомы фолликулярной кисты сходны с проявлениями других кист челюстей, однако при осмотре зубов характерно отсутствие одного из них в области локализации кисты, за исключением случая образования ее от сверхкомплектного зуба. Отмечена возможность развития амелобластомы из фолликулярной кисты. Рентгенологически определяют разрежение костной ткани с четкими ровными границами по типу монокистозного очага и наличие ретенированного сформированного зуба, коронка которого либо обращена в полость кисты, либо прилегает к ее стенке. Фолликулярную кисту необходимо дифференцировать от амелобластомы и первичной одонтогенной кисты. Макроскопически определяется однокамерная полость, выстланная оболочкой и содержащая желтоватую прозрачную жидкость с кристаллами холестерина. Микроскопически оболочка кисты представлена тонким слоем соединительной ткани, покрытым многослойным плоским эпителием, толщиной в 2–3 клетки. Лечение заключается в цистэктомии с удалением ретенированного зуба или в двухэтапной операции.
Лечение
Существует два основных вида оперативных вмешательств по поводу одонтогенных кист челюстей:
цистотомия – удаление (иссечение) части стенки кисты и создание условий для длительного сообщения (с полостью рта, полостью носа, верхнечелюстной пазухой), устраняющего основной механизм роста кисты - это повышение гидростатического давления. Некоторые авторы (, , 2004г) называют этот способ цистостомией, а под операцией цистотомии понимают рассечение стенки кисты с целью эвакуации ее содержимого. Эту операцию производят по экстренным показаниям при остром гнойном воспалительном процессе;
цистэктомия - удаление всей эпителиально-соединительнотканной выстилки (оболочки кисты) костной полости. Операцию завершают сближением краев раны слизистой оболочки альвеолярного отростка (закрытый способ ведения костной раны) либо костную полость заполняют тампоном ( открытый способ).
Цистэктомия ( Операция PARTSCH-I)
-это полное одномоментное удаление кисты вместе с ее оболочкой.
Показания к цистэктомии:
1) Киста, как следствие порока развития одонтогенного эпителия;
2) Киста небольших размеров, расположенная в пределах 1-2 интактных зубов;
3) Обширная киста, при которых отсутствуют зубы в ее зоне и сохранен достаточный объем костной ткани
(для верхней челюсти - кисты прилегающие или оттесняющие верхнечелюстную пазуху без явлений воспаления пазухи).
Следует подчеркнуть, что в задачу операции входит не только удаление, но и сохранение зубов, явившихся причиной развития кисты и прилегающих к ней (). Однокорневые зубы, вызвавшие развитие корневой кисты, пломбируют с выведением цемента за верхушку корня. Однако, если киста располагается близко к шейке зуба, сохранение зуба нецелесообразно, так как после резекции верхушки и части корня культя не выдерживает нагрузки и быстро расшатывается. Многокорневой зуб, как правило, сохранить не удается (вследствие непроходимости каналов), и его удаляют. Либо, если киста исходит от одного из корней возможно проведение операции цистэктомии с ампутацией корня или гемисекции зуба. Интактные зубы, проецирующиеся в зоне кисты и имеющие на рентгенограмме периодонтальную щель, обязательно должны подвергаться ЭОД. При отсутствии реакции на электроток проводят соответствующее лечение. Пониженная реакция зуба на электроток после операции может нормализоваться. Если на рентгенограмме периодонтальная щель не видна и отсутствует реакция зубов на ток, то перед цистэктомией зубы должны быть депульпированы и вылечены.
Операцию проводят под проводниковым и инфильтрационным обезболиванием. На вестибулярной поверхности альвеолярного отростка челюсти разрезом слизистой оболочки до кости полуовальной или трапециевидной формы выкраивают слизисто-надкостничный лоскут с основанием, обращенным в сторону переходной складки. Конец лоскута при наличии зубов не должен доходить до десневого края на 0,5–0,7 см, при одномоментном удалении зуба разрез проходит через его лунку. Если киста расположена близко к шейке зуба, в лоскут включают десневой край с зубодесневыми сосочками. По величине лоскут должен быть больше кисты: выкраивают его с таким расчетом, чтобы он свободно перекрывал будущий костный дефект и линия швов не совпадала с ним. Слизисто-надкостничный лоскут отслаивают от кости распатором, используя при этом марлевый тампон. Его подводят под распатор и затем обнажают кость над кистой. При отсутствии кости требуется осторожность при отслаивании надкостницы от оболочки кисты. Отделенный лоскут удерживают крючками или на лигатурах. Над кистой в проекции верхушки причинного зуба с помощью трепана высверливают отверстия по периметру будущего дефекта и соединяют их между собой фиссурным бором. Полученную костную пластинку округлой формы удаляют, обнажают переднюю стенку кисты. При наличии костной узуры последнюю расширяют кусачками или фрезой. Размеры костного дефекта должны сделать возможным обзор кисты и произвести резекцию верхушки корня. С помощью распатора, углового элеватора и хирургической ложки отслаивают оболочку кисты, которая легко отходит от подлежащей кости, но сохраняется связь с корнем причинного зуба. Для выделения оболочки отпиливают верхушку корня до уровня окружающей кости и кисту вместе с корнем извлекают.


После резекции верхушечного отдела корня на уровне кости удается выскоблить остатки оболочки в этом участке, что предупреждает рецидив кисты.
При осмотре культи корня необходимо определить наличие цемента в корневом канале, при отсутствии его требуется ретроградное пломбирование амальгамой либо специальным цементом (ProRoot MTA). Такое действие предупреждает воспаление костной раны вследствие проникновения инфекции из корневого канала. После удаления оболочки кисты обнажаются корни ранее подготовленных соседних зубов, верхушки которых также резецируют. Затем проводят ревизию костной полости, удаляют оставшиеся кусочки пломбировочного материала. Полость заполняется кровяным сгустком, что является надежным биологическим фактором в заживлении раны. Промывание антисептиками такой полости, а также введение в нее антибиотиков не показано. Для активизации остеогенеза большой костной полости целесообразно во время операции заполнить ее костным трансплантатом в виде щебенки, муки и др. В случае сокращения лоскута требуется его мобилизация путем линейного рассечения надкостницы у основания. Лоскут укладывают на место, края раны ушивают узловатыми швами из кетгута, иногда из шелка. Наружно накладывают давящую повязку – «мышку» для ограничения движения щеки и губы и создания покоя послеоперационной области не менее чем на 4–5 дней. Назначают обезболивающие, антигистаминные средства, по показаниям проводят противовоспалительную терапию. Больной нетрудоспособен в течение 6–7 дней. Заживление костной полости происходит путем организации кровяного сгустка, как после удаления зуба. При наличии полости больших размеров рентгенографическое обследование в течение длительного времени (до 1–2 лет) выявляет участок просветления, имеющий тенденцию к уменьшению и в последующем к полному восстановлению кости. В случае инфицирования кровяного сгустка развивается воспалительный процесс. При этом необходимо создать отток экссудата между швами или пунктировать полость вне линии швов и промывать ее растворами антисептиков. Ежедневные промывания в течение 3–4 дней нередко купируют воспаление. При продолжающемся гнойном процессе разводят края раны, промывают ее, в полость вводят рыхло йодоформный тампон, вворачивая лоскут внутрь. По мере гранулирования раны (2-3 нед) тампон вытесняется, его постепенно подрезают и удаляют. Часто киста, развивающаяся от верхнего второго резца, распространяется на небо и приводит к рассасыванию небной пластинки. Выделение кистозной оболочки на небе при больших его дефектах (более 2 см) затруднено, так как стенка кисты спаивается непосредственно с надкостницей неба. При отслаивании кистозной оболочки распатором часто возникают разрывы ее, и поэтому удаление производят отдельными частями. Инструментальное обследование полости рта не позволяет отличить оболочку кисты от тканей слизисто-надкостничного лоскута. Оставление участков стенки кисты всегда ведет к рецидиву.
Цистотомия (Операция PARTSCH-II)
-это метод хирургического лечения кисты, при котором удаляют переднюю стенку кисты и сообщают ее полость с преддверием или с собственно полостью рта.
Показания к проведению цистотомии:
1) Киста, в полость которой проецируется 3 и более интактных зубов, на рентгенограмме у корней последних не определяется периодонтальная щель;
2) Сопутствующие заболевания;
3) Большие кисты верхней челюсти с разрушением костного дна полости носа и небной пластинки;
4) Обширные кисты нижней челюсти с резким истончением (толщиной кости менее 1-0,5 см) основания челюсти.
Предоперационная подготовка зубов для цистотомии в отличие от цистэктомии касается только причинного зуба, остальные, хотя и вовлечены в зону кисты, после операции остаются прикрытыми ее оболочкой.
Операцию осуществляют под местной анестезией. Так же как при цистэктомии, выкраивают полуовальной формы слизисто-надкостничный лоскут величиной не более будущего костного дефекта. При сохранении причинного зуба основание лоскута может быть (что желательно) обращено в сторону десневого края для последующего закрытия культи резецированного корня.

После обнажения костной стенки над кистой создают трепанационное отверстие, размеры которого не должны быть менее диаметра кисты, так как в процессе заживления происходит сужение костного дефекта.
При обширных кистах, особенно занимающих ветвь челюсти, размеры костного дефекта должны быть достаточными для поддержания сообщения с полостью рта. Кистозную полость промывают, слизисто-надкостничный лоскут ввертывают внутрь и непосредственно у входа в полость удерживают йодоформной марлей. Некоторые авторы фиксируют швами ввернутый лоскут к оболочке кисты, применяют и подшивание кистозной стенки к краю раны слизистой оболочки преддверия полости рта. Цистотомия со стороны неба в случаях костного дефекта его заключается в иссечении слизисто-надкостничного лоскута и оболочки по диаметру кисты; иногда в полости оставляют тампон. Через 6–8 дней после операции производят смену йодоформного тампона, к этому времени он ослизняется и начинает отторгаться. Такую смену осуществляют до 3, реже 4 раз. К концу 3-й недели обычно края раны эпителизируются и образуется добавочная полость, сообщающаяся с преддверием или полостью рта. Больной самостоятельно промывает ее антисептическими растворами. В некоторых случаях прибегают к изготовлению обтуратора из самотвердеющей пластмассы. В противном случае разрастание костной ткани и слизистой по краю отверстия приведет к закрытию сообщения. Обтуратор, по мере нарастания костной ткани стачивают фрезой, не уменьшая, однако, его диаметра. Сроки заживления, особенно при больших послеоперационных полостях, до 1,5–2 лет. Трудоспособность больных после операции нарушается в среднем на 5–6 дней.
Осложнения при оперативном лечении кист челюстей
Осложнения во время операции.
1. Кровотечения, угрожающие жизни пациента. Кровотечения из мягких тканей останавливают тампонадой марлевым тампоном. В случае травмы нижней альвеолярной артерии осуществляют тампонаду нижнечелюстного канала.
2. Перфорация дна верхнечелюстной пазухи. В этом случае проводят цистосинусотомию с последующим тщательным ушиванием раны мягких тканей.
3. Перелом челюсти. С целью профилактики данного осложнения следует до оперативного вмешательства наложить индивидуальную проволочную шину. В случае возникновения перелома необходимо произвести шинирование челюстей и обеспечить полноценный дренаж полости кисты. Назначение антибактериальной терапии. Окончательное удаление кисты произвести после консолидации отломков челюсти.
Послеоперационные осложнения.
1.Воспалительная реакция. После операции цистэктомии в случае несоблюдения пациентом рекомендаций (прием антибактериальных препаратов) возможно нагноение послеоперационной раны. В этом случае необходимо удалить швы, промыть костную полость и ввести йодоформную турунду. Далее ведение раны по типу цистотомии.
2. Парестезии являются следствием травмы нервов. В послеоперационном периоде пациент отмечает онемение в зоне иннервации соответствующего нерва. Лечение: применяют физио - и витаминотерапию.
3. Ороантральное или ороназальное сообщение. Для предотвращения необходимо герметичное ушивание краев раны, соблюдение пациентом рекомендаций ( не чихать, не курить).
Заключение
Не смотря на то, что хирургическое лечение одонтогенных кист челюстей является эффективным, следует помнить, что болезнь легче предупредить, чем лечить.
Список литературы
одонтогенная киста челюсть
1. Робустова стоматология. Медицина, М, 2008 г.
2. , Лившиц лечение околокорневых кист челюстей. Медицина, М., 2009.
3. , Аржанцев в стоматологии. МИА, М, 1999.
4. , , Галецкий лечение одонтогенных кист. СпецЛит, СП-б, 2006.
5. , , «Справочник хирурга – стоматолога диагностика, клиника, хирургическое и медикаментозное лечение», Москва, «Книга плюс» 2006 г.
6. хирургия: учебник Зеленский Ф. С. 2008 г. 208 с.
7. Бернадский челюстно-лицевой (Ред) Хирургическая стоматология. – М.: Медицина, 2000. – С. 495–508.
8. Титова лечение микрогении в детском и юношеском возрасте. – Л.: Медицина, 1975. – 183 с.
9. Харьков стоматология и челюстно-лицевая хирургия детского возраста / Под ред. . Пер. с укр. – М.: Книга плюс, 2005. – 470с
10. Детская хирургическая стоматология и челюстно-лицевая хирургии и хирургической стоматологии. М., Мед. литература, 3-е изд. 2007. 408 с.
Размещено на



