На правах рукописи
Хушвахтов Додарджон Иззатович
УСОВЕРШЕНСТВОВАНИЕ
ХИРУРГИЧЕСКИХ МЕТОДОВ ЛЕЧЕНИЯ БОЛЬНЫХ
С ОДОНТОГЕННЫМИ КИСТАМИ ЧЕЛЮСТЕЙ
– Стоматология
Автореферат
диссертации на соискание ученой степени
кандидата медицинских наук
Самара 2012
Работа выполнена в Таджикском институте последипломной подготовки медицинских кадров
Научный руководител: доктор медицинских наук, Шакиров Мухаммеджан Нигматович
Официальные оппоненты: доктор медицинских наук, профессор
, ГБОУ ВПО
СамГМУ Минздравсоцразвития России
Ведущая организация: «Центральный научно-исследовательский институт стоматологии и челюстно-лицевой хирургии» Федерального агентства по высокотехнологичной медицинской помощи Российской Федерации, г. Москва
Защита диссертации состоится «____» 2012 г. в 10.00 часов на заседании диссертационного совета Д 208.085.02 при Государственном бюджетном образовательном учреждении высшего профессионального образования «Самарский государственный медицинский университет» Минздравсоцразвития России.
г. Самара, проспект К. Маркса 165 «Б»
С диссертацией можно ознакомиться в библиотеке ГБОУ ВПО СамГМУ Минздравсоцразвития России (443001 71).
Автореферат разослан «___» _____________2012 года
Ученый секретарь
диссертационного совета
доктор медицинских наук, доцент
ОБЩАЯ ХАРАКТЕРИСТИКА РАБОТЫ
Актуальность проблемы
В структуре доброкачественных новообразований челюстно-лицевой области больные с одонтогенными кистами не имеют тенденции к снижению.
По данным литературных источников последних лет ( с соавт., 2011) среди доброкачественных опухолей костей лица кисты челюстей составляют 80 %.
Большинство авторов солидарны в том, что кистообразование происходит из эпителиальных элементов кости (островки Маляссе) и периодонта под влиянием раздражающего воздействия воспалительного процесса ( 2005; Sakuma 2010 и др.).
В настоящее время основным методом лечения этой категории больных является цистэктомия – вылущивание образования с заполнением образовавшейся костной полости различными остеопластическими материалами. Разница в подходах определяется, каким остеопластическим материалом «запечатывается» образовавшийся дефект костной ткани. С целью улучшения остеогенной регенерации и восстановления утраченных костных структур все шире используются биологические, синтетические и имплантационные материалы, обладающие остеоиндуктивными, остеокондуктивными и остеоинтеграционными направлениями действия.
Внедрение этих материалов, пришедших на смену кровяному сгустку, гемостатической губке, сухим антибиотикам, было обосновано недостаточной их эффективностью в стимулировании костеобразовательного процесса.
Из биологических материалов в клинической практике многие авторы (, 2004; , 2006; , 2006; , 2007; , 2008; -Асатуров, 2011; Pinborg G., 2010; Anitua E., 2011 и др.) с целью стимулирования остеогенной регенерации заполняли костные полости челюсти алло-ксеногенными материалами, консервированными различными методами, в том числе аллогено-аутологичными мультипептидными стромальными клетками (, 2010; Abu-Serrion M., 2010; Zheng L., 2010).
Другим направлением стимуляции костной регенерации в полостных образованиях челюстей является заполнение их минерально-синтетическими коллагенсодержащими материалами. Многочисленные публикации последних лет свидетельствуют об актуальности указанного направления (, 2007; , 2008; , 2009; , 2009; Eteoglu C., 2009; Zucchell G., 2011 и др.).
В настоящее время в клинической практике широко используют различные остеопластические материалы синтетического ряда, начиная от коллапола, коллапана, гидроксиапатита, остеопласта до современных Bioss, Bio-gald, Medpor, эластомед и др., обладающих в основном остеокондуктивными качествами.
Использование этих материалов для устранения костных полостей и стимуляции регенеративных процессов показали свою целесообразность и эффективность. Однако снижение регенераторной активности удлиняют сроки формирования костного регенерата. Если у первой группы материалов выражены антигенные, токсические и аллергические свойства которые способствуют их резорбции или вызывают элиминацию, то у второй группы регенерация костных структур носит пристеночный характер и сроки завершения этого процесса зависят от способностей к резорбции самого пересаженного материала (, 2009).
В последние годы в НИИ медицинских материалов и имплантатов с памятью формы при Сибирском физико-техническом университете (СФТУ) разработан новый класс биосовместимых материалов пористо-проницаемых на основе никелида титана, обладающих свойствами сверхэластичности и памятью формы (, ). В основу настоящего исследования положены результаты наработок по применению мелкогранулированного никелида титана в комбинации с тромбоплазменной массой и антибиотиками для заполнения костных полостей, а также тканевых мембран из этого же материала для осуществления направленной тканевой регенерации при лечении больных с одонтогенными кистами.
Цель исследования: повысить эффективность хирургического лечения больных одонтогенными кистами челюстей на основе использованием гранулированного пористо-проницаемого никелида титана.
Задачи исследования:
1. Изучить распространенность одонтогенных кист среди доброкачественных кистоподобных образований челюстно-лицевой области по данным Республики Таджикистан.
2. Определить в эксперименте влияние пористого проницаемого никелида титана на жизнеспособность, пролиферативную активность, подвижность и фенотипические изменения в мезенхимальных клетках.
3. Разработать и внедрить в клиническую практику новые методы хирургического лечения одонтогенных кист с использованием наполнителей и металлических мембран направленного действия из гранулированного и пористо-проницаемого никелида титана.
4. Провести сравнительный анализ результатов лечения одонтогенных кист челюстей традиционными и разработанными новыми методами остеопластики.
Научная новизна
Доказано, что при пластике дефектов челюстей гранулированным никелид-титаном создаются оптимальные условия для регенерации костной ткани, что проявляется в энхондральном и перихондральном остеогенезе. Наблюдается полное восстановление костной ткани органотипичного строения.
Для оценки морфологических признаков биосовместимости гранулированного пористого никелида титана была проведена компьютерная обработка каждой группы и серии экспериментов на 3, 15 и 25 сутки культивирования мезенхимальных мультипотентных клеток. Исследования показали большое процентное отношение «зрелых» и «гигантских» клеток в культурах, в которых присутствует исследуемый материал, однако они не влияют на скорость роста молодых клеток.
Проведена оценка способности клеток к миграции (таксис) методом сравнения траекторий движения их между сериями «контроль» и «Нитинол». Исходя из результатов исследования установлено наличие некоторого негативного влияния материала на способность клеток к миграции. Однако это не препятствовало размножению клеток.
Иммунофенотипическое исследование показало стабильную линейную принадлежность исследуемых клеток в присутствии «Нитинола» к группе мультипотентных мезенхимальных стромальных клеток, отсутствие гемопоэтической трансформации и изменений линейного происхождения.
Практическая значимость работы
В практику здравоохранения внедрен новый вид костно-пластического материала – гранулированный никелид титана, используемый для заполнения остаточных костных полостей после цистэктомий с целью создания оптимальных условий для репаративного остеогенеза и предупреждения атрофических процессов.
Разработаны новые методы лечения больных с одонтогенными кистами челюстей [Евразийский патент № TJ 175 МПК (2008) А 61 В 17/00 и № TJ 441 МПК (2011)].
В зависимости от величины новообразования, его локализации, наличия и состояния стенок костной полости, присоединения воспалительного процесса разработаны новые методы цистэктомии с использованием гранул никелида титана и полупроницаемых мембран. У больных с сохраненной кортикальной пластинкой – цистэктомия с применением надкостнично-костного покрова. С разрушенной кортикальной пластинкой – цистэктомия с использованием мембран из никелида титана. У больных с присоединением острого воспалительного процесса – цистэктомия на фоне внутрикостного заполнения дефекта гранулами никелида титана, пропитанного антибиотиками.
Внедрение новых методов хирургического лечения одонтогенных кист челюстей и костно-пластического материала позволило, снизить количество осложнений до 3,08% (р≤0,05) и повысить экономическую эффективность операций. Предложенные методы могут использоваться в условиях стационара и поликлиники.
Внедрение результатов диссертационного исследования
Разработанные и предложенные способы устранения остаточных костных дефектов у больных с одонтогенными кистами с применением мелкогранулированного, сетчатого и тканевого никелида титана, а также методы хирургических вмешательств внедрены в Городской стоматологической поликлинике №2 г. Душанбе, отделениях детской и взрослой челюстно-лицевой хирургии Национального медицинского центра Республики Таджикистан, отделениях челюстно-лицевой хирургии областной клинической больницы и в центре стоматологии и эстетической хирургии г. Худжанда, на кафедре челюстно-лицевой хирургии 1-го Ташкентского медицинского института (ТашМИ), в клинике челюстно-лицевой хирургии и стоматологии Самарского государственного медицинского университета.
Опубликованные материалы по теме диссертации используются в учебном процессе на кафедрах челюстно-лицевой хирургии с детской стоматологией ТГМУ им. Абуали ибн Сино, Таджикском институте последипломной подготовки медицинских кадров (ТИППМК).
Материалы работы были опубликованы в трудах международных конференций и симпозиумов, международной ассоциации стоматологов Республики Таджикистан и Российской Федерации, в периодическом издании «Стоматология Таджикистана», «Вестник Авиценны», «Здравоохранение Таджикистана».
Получено 2 Евразийских патента: № TJ 175 МПК (2008) А 61 В 17 / 00 – «Способ устранения полостных образований костной ткани» и № TJ 441 МПК (2011) А 61 М 19 / 00 – «Способ обезболивания у онкостоматологических больных».
Личный вклад автора
Автор диссертации , выполнивший работу на тему «Усовершенствование хирургических методов лечения больных с одонтогенными кистами челюстей», самостоятельно проводил осмотр и клиническое обследование всех курируемых больных, направлял их на дополнительные лабораторные методы исследования.
Самостоятельно выполнил все хирургические вмешательства, как в поликлинических, так и в стационарных условиях. Принял непосредственное участие в разработке метода заполнения костных полостей мелкогранулированным никелидом титана и мембранной технологии, стал обладателем патентов.
Осуществляя медикаментозное лечение больных, проводил динамическое клинико-рентгенологическое наблюдение за оперированными больными. Статистическую обработку полученных материалов выполнял самостоятельно.
Публикации. По теме диссертации опубликовано 12 печатных работ, из них три в научных журналах и изданиях Перечня ВАК Министерства науки и образования РФ для публикации результатов кандидатских диссертаций. Получено 2 Евразийских патента.
Связь исследования с проблемными планами
Работа выполнена по плану научно-исследовательских работ Таджикского института последипломной подготовки медицинских кадров (ТИППМК). Номер государственной регистрации № 15/341.
Структура и объем диссертации
Диссертация изложена на 157 страницах компьютерного текста и состоит из введения, пяти глав, заключения, выводов, списка литературы.
Работа содержит 52 рисунка, 18 таблиц, библиографический указатель включает 183 работы, из них 69 иностранных.
Положения, выносимые на защиту
1. Тактика комплексного лечения больных с одонтогенными кистами челюстей.
2. Экспериментальные обоснования влияния мелкогранулированного никелида титана на клеточную культуру в условиях in vitro.
3. Новые методы хирургического лечения больных одонтогенными кистами челюстей с использованием мелкогранулированного пористого никелида титана.
4. Сравнительная оценка анатомических и функциональных результатов лечения больных одонтогенными кистами челюстей с использованием известных и разработанных в клинике новых методов цистэктомий.
Апробация работы
Основные положения работы доложены на научно-практической конференции «Биосовместимые материалы с памятью формы и новые медицинские технологии» (Томск, Россия, 2007), международной ассоциации стоматологов Республики Таджикистан (Душанбе, 2008), помещены в материалах VII съезда травматологов-ортопедов Узбекистана (Ташкент, 2008), конференции «Материалы с памятью формы и новые технологии в медицине» (Томск, Россия, 2010), на заседаниях ассоциации стоматологов Согдийской области Республики Таджикистан, на кафедре челюстно-лицевой хирургии и детской стоматологии Таджикского института последипломной подготовки медицинских кадров (ТИППМК), а также на межкафедральном совещании кафедр челюстно-лицевой хирургии и стоматологии, терапевтической, ортопедической и детской стоматологии ГБОУ ВПО СамГМУ Минздравсоцразвития России.
СОДЕРЖАНИЕ РАБОТЫ
Материал и методы исследования
Для заполнения костных полостей, образующихся после удаления одонтогенных кист применяли гранулированный никелид титана. При воспалении гранулы никелида титана насыщали антибиотиками.
Основанием для разработки и применения предлагаемой нами методики служили экспериментальные и клинические научные публикации по использованию никелида титана при лечении различных деструктивных патологий опорно-двигательного аппарата. Благодаря биологической совместимости мелкогранулированного никелида титана, тканевых мембран с тканями организма – по биохимическим, биофизическим, биомеханическим качествам и особым характеристикам, которые выражены в эффекте смачиваемости и сверхэластичности, они обладают высокими интеграционными свойствами. Однако данных по применения гранул никелида титана для заполнения полостей после цистэктомий на челюстях мы не нашли.
Мелкогранулированный никелид титана получают из одноименного сплава на основе технологии порошковой металлургии. Указанный материал разработан в НИИ медицинских материалов и имплантатов с памятью формы при Сибирском физико-техническом университете, г. Томск.
Выпускается в виде мелких пористо-проницаемых гранул с размером частиц от 1 до 2000 мкм (рис. 1).

Рис.1. Мелкогранулированный пористо-проницаемый никелид титана
Большинство частиц такого материала содержит систему мелких взаимосвязанных пор аналогично пористо-проницаемому никелиду титана, что позволяет улучшить биосовместимость с тканями организма за счет большой площади взаимодействия, которая складывается из площади поверхности гранул и площади их открытых пор. Кроме того, в наших исследованиях в качестве барьерной мембраны использована сверхэластичная ткань из никелида титана, которая разработана в НИИ медицинских материалов и имплантатов с памятью формы (г. Томск). Указанная ткань изготавливается из никелид-титановой нити диаметром 50-60 мкм, размер ячеек от 10 до 100 мкм (рис. 2).

Рис.2. Тканевая мембрана из никелида титана
Уникальность мембраны заключается в том, что она представляет собой открытую пористую микроструктуру, в которой задерживается соединительная ткань, препятствуя проникновению под нее эпителия.
Для внедрения гранул из пористого никелида титана в клиническую практику были проведены специальные исследования влияния материала на клеточную культуру в условиях in vitro.
При этом решали следующие аспекты:
- определение влияния материала на жизнеспособность клеток (токсичность);
- определение влияния материала на пролиферативную активность клеток (скорость удвоения);
- определение фенотипических изменений в клетках (фенотип);
- определение подвижности клеток (таксис).
Использовали следующие необходимые исследования:
- фенотип клеток при каждом посеве/пересеве;
- подсчет клеток при каждом посеве/пересеве;
- фотодокументирование клеток;
- видеодокументирование клеток;
- «Эксплант»-тест (пересев предварительно культивированного с клетками материала на «новую» посуду и регистрация клеток на пластике.
Исследования проведены на базе Государственного учреждения здравоохранения Самарской области «Клинический центр клеточных технологий». Директор центра – . Непосредственный исполнитель к. м.н. . Раздел исследований выполнен при участии профессора , старшего научного сотрудника Самарского института ФИАН, который занимается медицинскими изделиями из никелида титана.


Рис. 3. Клетки после внесения материала. Рис. 4. Серия «Нитинол». 25-е сутки
День 2-6 эксперимента эксперимента
По морфологическим признакам был проведен анализ и отдельная выборка клеток на разных этапах созревания, характеризующая процесс старения.
В ходе исследования было установлено, что в контрольной группе на всех сроках культивирования преимущественно преобладали клетки первой и второй группы. В процентном отношении распределение составило:
Таблица 1
Процентное отношение классов, контрольная группа

В целом по проведенному исследованию можно отметить большее процентное отношение «зрелых» и «гигантских» клеток в культурах, в которых присутствует исследуемый материал, однако это негативно не влияет на скорость роста молодых клеток.
Оценка способности к миграции (таксис) проводилась методом сравнения траекторий движения клеток между сериями «контроль» и «Нитинол». Видео записывали на аппаратном комплексе AxioObserver A1 с сиcтемой инкубации, длительностью 4 часа для каждой серии, при увеличении 50х (рис. 5, 6).

Рис. 5. Траектория движения и Рис. 6. Траектория движения и расчет
расчет дистанции клеток. дистанции клеток. «Нитинол».
Контрольная группа. Длительность 4 часа. Увеличение 50 х
Длительность 4 часа.
Увеличение 50х
Траектория движения клеток и дистанция представлены на графике (рис. 7).

Рис. 7. График дистанций: ось Х – время; Y – дистанция
Исследование иммунофенотипа проводилось на проточном цитофлюориметре FACS Canto фирмы Becton Dickinson с использованием реагентов и расходных материалов этого же производителя. В эксперименте была проведена оценка экспрессии поверхностных антигенов (CD90,44,106,45,HLA-ABC, HLA-DR, 73,34,144,105,117,62L,133,14), характерных для мультипотентных мезенхимальных клеток в контрольной группе и всех сериях с материалами.
В целом, иммунофенотипическое исследование показывает стабильную линейную принадлежность исследуемых клеток к группе мультипотентных мезенхимальных стромальных клеток, отсутствие гемопоэтической трансформации и изменений линейного происхождения.
Таким образом, основываясь на данных исследования пористого гранулированного никелида титана с клеточными культурами, признаков токсического или негативного действия на мезенхимальные клетки не выявлено.
Это дало возможность внедрить гранулы пористого никелида титана в клиническую практику.
Характеристика клинических исследований
Нами проведено лечение больных с одонтогенными кистами челюстей. Всего было прооперировано 214 больных. Все больные были разделены на две группы. Основная группа составила 104 больных. Контрольная – 110 пациентов.
У 38,8% больных наружная кортикальная пластинка была разрушена, у 16,1% –истончена и ее использование во время оперативного вмешательства было затруднено и у 45,1% больных – сохранена.
В зависимости от состояния наружной кортикальной пластинки нами разработано два метода цистэктомии: с использованием надкостнично-костного аутотрансплантата с применением гранул никелида титана, смешанных с кровяным сгустком и с тромбоцитарной массой.
Суть их заключается в следующем. Цистэктомия с заполнением костной полости мелкогранулированным пористо-проницаемым никелидом титана, смешаным с кровяным сгустом, применяется при целой кортикальной пластинке челюсти. Проводится трапециевидный разрез слизистой оболочки полости рта и надкостницы, основанием, обращенным к переходной складке. Распатором отслаивается слизисто-надкостничный лоскут до линии костной трепанации. Размеры трепанируемой кости меньше, чем размеры разреза на слизистой оболочке. Фиссурным бором выпиливается трапециевидный надкостнично-костный лоскут, обращенный основанием к переходной складке. Наносятся отверстия для последующей его фиксации. Бор устанавливается под углом 45º к кости. При рассечении кости костный лоскут приобретает форму «крышки». Гладилкой и распатором надкостнично-костный лоскут отводили по направлению к переходной складке. Удаляли оболочку кисты, резецировали верхушки корней зубов. Костную полость обрабатывали фрезой, промывали растворами антисептиков и заполняли гранулами пористого никелида титана, смешанными с кровью (1:1). Рану ушивали полипропиленовой нитью наглухо.
Цистэктомия с заполнением костной полости гранулированным пористо-проницаемым никелидом титана, обогащенным тромбоцитарной массой.
Для направленной остеоинтеграции и повышения остеоиндукции в зоне образовавшейся костной полости гранулы пористого никелид-титана смешивали с тромбоцитарной массой с повышенным содержанием фибрина. Всего было прооперировано 47 больных (45,2%).
Для получения тромбоцитов с повышенным содержанием фибрина использовали центрифугу FRP, стандартно выпускаемую медицинской промышленостью со специальными пробирками. Для этих целей кровь в количестве 5,0-10,0 мл непосредственно перед операцией забирали в пробирку путем пункции кубитальной вены и подвергали центрифугированию на скорости 2.600 об/мин в течение 12 минут. При этом в пробирке образовывались три фракции (рис. 8).

Рис. 7. Тромбоцитарная масса
В нижней части осаждались эритроциты, в верхней – плазма с низким содержанием тромбоцитов. Между этими двумя фракциями находился сгусток с высоким содержанием тромбоцитов. Последний извлекали пинцетом и помещали в стеклянный тигелек. В отличие от других методик, кровь не подвергалась вибрации, обработке антикоагулянтами, что являлось необходимым для содержания фибрина в мембранной форме.
В стеклянный тигелек добавляли гранулы пористого никелида титана в аналогичном объеме. С помощью специальной пластмассовой лопаточки всё перемешивали и заполняли полученной смесью костную полость.
Наличие в структуре гранул никелида титана многочисленных мелких взаимосвязанных пор придает им новые качества, заключающиеся в эффекте смачиваемости биологическими жидкостями организма, которые обеспечивают им высокие интеграционные свойства. Благодаря этим качествам они играют в организме активную роль и ведут себя подобно живым тканям. На данную методику нами получен патент «Способ устранения полостных образований», № TJ 175 от 01.01.2001 г. Евразийского союза.
Цистэктомия с применением тканевой мембраны из никелида титана.
При наличии у больных дефектов костной ткани в области наружной кортикальной пластинки челюсти нами разработан способ цистэктомии с использованием тканевой мембраны из никелида титана. Всего прооперировано 57 больных (54,9%).
Это сделано в целях повышения эффективности проводимых вмешательств у больных с одонтогенными кистами при отсутствии кортикальной пластинки для получения собственного костного регенерата в образованных костных полостях после вылущивания новообразований.
Предварительно перед операцией проводили стерилизацию тканевой мембраны в сухожаровом шкафу при температуре 120±5ºС в течение 60 минут. Далее интраоперационно из нее с помощью хирургических ножниц вырезали мембрану любой конфигурации в зависимости от топографии и геометрической формы костных дефектов. Для более точной адаптации к сформированному окошечку костной полости предварительно изготавливали шаблон из полиэтиленовой пленки с учетом перекрытия периферии костного дефекта на 3-4 мм. Затем по шаблону изготавливали мембрану, фиксацию которой осуществляли путем введения ее краев под периост. Следует отметить, что при этом имеется возможность растянуть мембрану пальцами во всех направлениях. Мягкие ткани над мембраной ушивали одноименными шовными материалами толщиной нити 3/0. Швы снимали через 12-14 дней.
Цистэктомия с использованием антибиотика, депонированного в пористых гранулах из никелида титана.
По нашим данным 3,9% больных с одонтогенными кистами челюстей обращаются в лечебные учреждения с нагноением и клинической картиной острого воспалительного процесса. Нами разработан новый способ хирургического лечения инфицированных кист челюстей. Всего было прооперировано 17 больных (16,3%).
В основу были положены экспериментальные исследования, проведенные автором. Было установлено, что если насытить пористый никелид титана антибиотиком, то он, обладая капиллярным эффектом, способен удерживать и постепенно отдавать раствор антибиотиков в течение 8 ± 1 суток (р<0,05).
При этом, несмотря на то, что концентрация антибиотиков в пористом металлическом имплантате значительно превышает максимально допустимую дозу, благодаря его постепенному поступлению в операционную рану исключается возможность создания токсической концентрации.
Под проводниковой и инфильтрационной анестезией трепанировали костную полость заполненную оболочкой кисты с гнойным содержимым. Нагноившуюся кистозную жидкость удаляли с помощью отсоса. Оболочку кисты вылущивали кюретажной ложкой. Костную полость обильно промывали и обрабатывали раствором антисептиков. Насыщенные антибиотиками гранулы никелида титана смешивали с кровью и слоями заполняли полость. Заполнив полость гранулами никелида титана, пропитанными антибиотиком и смешанными со сгустком крови, наружную кортикальную пластинку и слизисто-надкостничный лоскут укладывали на прежнее место и наглухо ушивали. Общесоматическое лечение в послеоперационном периоде было стандартным.
При выполнении настоящего исследования у контрольной группы с целью устранения дефектов костных структур у больных одонтогенными кистами использованы синтетические остеопластические материалы коллагенового ряда: остеоиндуцин №1, гидроксиапол или ГАП-99, коллапол КП-2, а в качестве барьерной мембраны парадонтокол. Указанные материалы выпускаются Омега-Дент», г. Москва. Всего прооперировано 110 больных. Операции выполнены по стандартной методике.
Сравнительный анализ результатов клинических наблюдений
Для оценки эффективности результатов сравнительную их оценку у наблюдаемых больных проводили по следующим выбранным параметрам:
1.Сроки формирования костного регенерата в оперируемой зоне.
2. Экономические затраты.
3. Простота и надежность.
4. Наличие осложнений.
Как показывают проведенные исследования, у больных с одонтогенными кистами, в зависимости от применяемых остеопластических материалов, сроки остеогенной регенерации и восстановления утраченных костных структур после проведенных хирургических вмешательство различны.
Остеопластические материалы синтетического ряда, в основном, выполняют остеокондуктивные функции при слабо выраженном остеоиндуктивном действии. В этой связи костная регенерация в полостях у этой категории больных начинается с периферии, так называемая пристеночная регенерация. При этом происходит медленная резорбция синтетического остеопластического материала с его замещением костным регенератом. Процесс этот носит длительный характер и при больших кистах время регенерации занимает более 2,5 ±0,5 лет (р <0,05).
У 2,3% больных этой группы в различные сроки после хирургического вмешательства были отмечены появления свищей в области операции со значительным гнойным выделением. Из этого количества у 6% больных рецидив наступил через 2,5±0,5 мес. после операции.
У 1,4% больных рецидивы наступили через 6±2 мес. после проведенных операций по вылущиванию кистозных образований.
Рецидивы проявлялись появлением свищевых ходов по переходной складке и на кожных покровах соответствующих зон челюстно-лицевой области с наличием небольшого количества сукровично-гнойного отделяемого.
Результаты контрольных рентгенологических исследований свидетельствовали о наличии вялой пристеночной регенерации и сохранении полостного образования. При этом нами не была выявлена существенная разница регенераторных процессов, а также сроки их завершения в зависимости от вида применяемых синтетических остеопластических материалов.
Все больные, у которых были выявлены рецидивы, подвергнуты повторным хирургическим вмешательствам, причем троим больным с радикулярной кистой производили повторные операции по вылущиванию образования с «запечатыванием» костной полости предлагаемым нами методом. У двух других больных патологический процесс ликвидирован путем иссечения свищей, кюретажа остаточной костных полостей и назначения остеотропных средств (остеогенон, структум и др.).
При проведении повторных хирургических вмешательств, у всех наблюдаемых нами больных обнаружено наличие остаточной полости, что свидетельствовало о вялых регенераторных процессах в костной полости, отсутствии их завершения, присоединении вторичной инфекции к содержимому полостного образования.
Таким образом, применение остеопластических материалов синтетического ряда следует использовать при сравнительно небольших костных полостях (2±1см). При больших размерах костных полостей, образующихся после вылущивания кистозного образования, они оказываются недостаточно эффективными.
Разработанная нами методика в большинстве случаев использовалась при больших размерах кистозных образований (свыше 5±1 см).
У всех оперированных больных этой группы получены стойкие положительные результаты. Однако у 1,2% в сроки от 3 до 6 мес. отмечено появление свища в оперированной области.
У остальных больных результаты проведенных исследований показали полное восстановление костных структур в полостях за счет формирования костного регенерата у всех наблюдаемых больных. Свидетельством тому явились результаты морфологического исследования биоптата, взятого из костного регенерата в оперированной зоне при иссечении свища у наблюдаемых нами больных, а также визуального наблюдения во время указанного вмешательства.
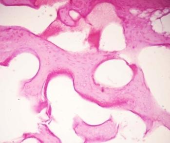
Через 6 мес. гистологическая картина в области установки никелид-титанового имплантата характеризовалась формированием в области дефекта элементов губчатой кости. При микроскопическом исследовании, наряду с плотной оформленной соединительной тканью, имеющей толстостенные питающие артерии, полнокровные вены, определялись участки хрящевидной ткани неправильной формы, местами подвергающиеся обызвествлению. Дистрофически измененные хрящевые клетки были расположены параллельными рядами, формируя так называемые зоны «столбчатого хряща» с мелкими очагами обызвествления, в непосредственной близости к ним находились формирующиеся костные трабекулы. Новообразованные костные балки имели на продольных срезах неправильную форму, слабо базофильную окраску основного вещества, в котором были заключены отдельно расположенные остеоциты (рис. 10, 11). На поперечных срезах костные балки были представлены концентрически расположенными пластинками, формирующими остеоны, в центре которых определялись каналы для прободающих кость сосудов (рис. 8).
![]() |
Рис.8. Зона «столбчатого хряща» (ЗСХ), формирующиеся костные трабекулы (указаны стрелками) через 6 месяцев после пластики пористо-проницаемым мелкогранулированным никелидом титана в области дефекта. Окраска
гематоксилином и эозином. Увел. 150

Рис. 9. Новообразованные костные балки через 6 месяцев после пластики пористо-проницаемым мелкогранулированным никелид-титаном в области дефекта.
Окраска гематоксилином и эозином. Увел. 150
![]() |
Рис. 10. Формирование остеонов: концентрически расположенные костные пластинки (указаны стрелками), каналы остеонов (КО). Поперечный срез новообразованной кости через 6 мес. после пластики пористо-проницаемым мелкогранулированным никелидом титана в области дефекта. Окраска гематоксилином и эозином.
Увел. 400
В целом, у всех наблюдаемых нами больных этой группы получены стойкие положительные результаты и отмечено полное клиническое выздоровление.
Таким образом, применение мелкогранулированного никелида титана в комбинации с тромбоцитарной массой и тканевого никелида титана в качестве мембраны для «запечатывания» костных полостей у больных с кистозными образованиями челюстей позволяет эффективно восстанавливать утраченные костные структуры в короткие сроки.
Образованию собственного костного регенерата при этом способствуют высокие интеграционные свойства гранул никелида титана, содержание сети мелких капилляров и фактор роста, а также используемая нами мембрана, в комплексе создающие оптимальные условия для процесса направленной тканевой регенерации.
Другая сторона проблемы лечения этой категории больных это экономические затраты, производимые при проведении хирургических вмешательств по заполнению костных полостей с применения остеопластических материалов. Нами подсчитано, что на устранение дефекта костной ткани после удаления кистозных образований размером 2-3 мм3 в среднем расходуется 1 табл. коллапола КП-2 и 1 пластина пародантакола, что в денежном выражении в условиях Таджикистана составит 60 сомони, в то же время при «запечатываний» костных полостей такого же размера при использовании предлагаемой нами технологии требуется всего лишь 10 сомон.
В случае больших размеров утраченных костных структур, как это приведено в нашем исследовании, стоимость проведения хирургических вмешательств резко возрастает за счет значительного объема применения таких материалов. Эти и другие факторы сдерживают специалистов от использования остеопластических материалов синтетического ряда при проведении хирургических вмешательств.
Таким образом, разработанная и предложенная нами методика по «запечатыванию» костных полостей у больных с одонтогенными кистами проста, удобна и надежна в применении, не требует специальной подготовки хирурга и длительного наблюдения за оперированными больными. Кроме того, разработанная методика, по сравнению с другими, при которых используются остеопластические материалы биологического и синтетического происхождения, является экономически выгодной.
Выводы
1. Структурный анализ распространенности одонтогенных кист среди доброкачественных кистоподобных образований челюстных костей обследованных жителей Республики Таджикистан показал, что среди всех кистозных образований челюстно-лицевой области, одонтогенные кисты составляют 63,4%. Больные данной категории нуждаются в разработке новых методов хирургического вмешательства.
2. В эксперименте на мезенхимальных мультипотентных клетках in vitro доказана биологическая совместимость гранулированного пористо-проницаемого никелида титана.
3. Разработаны и внедрены в хирургическую практику в зависимости от состояния наружной кортикальной пластинки и наличия воспаления в кисте следующие новые методики цистэктомий: цистэктомия с заполнением костной полости мелко гранулированным пористо-проницаемым никелидом титана, смешанным с кровяным сгустком; цистэктомия с заполнением костной полости гранулированным пористо-проницаемым никелидом титана, обогащенным тромбоцитарной массой; цистэктомия с применением тканевой мембраны из никелида титана; цистэктомия с использованием антибиотика, депонированного в пористых гранулах из никелида титана.
4. Сравнительный анализ лечения одонтогенных кист челюстей показал, что
при использовании пористых гранул никелида титана, обогащенных тромбоцитарной массой, уже на 7±1 мес. формируются элементы губчатой кости с развитой капиллярной системой. В контрольной группе в этот период наблюдается пристеночный процесс образования костных трабекул. Кроме того, себестоимость никелид-титановых гранул в 6 раз дешевле синтетических материалов.
ПРАКТИЧЕСКИЕ РЕКОМЕНДАЦИИ
1. У больных после удаления одонтогенных кист челюстей рекомендуем использовать в качестве остеопластического наполнителя пористый проницаемый гранулированный никелид титана.
2. При одонтогенных кистах челюстей размером более 3±1см целесообразно для заполнения костных полостей и усиления кондуктивных свойств использовать гранулы никелида титана, обогощённые тромбоцитарной массой.
3. Для костной пластики наружной кортикальной пластинки челюсти после операции цистэктомия необходимо использовать тканевую мембрану из нитинола.
4. При нагноившихся одонтогенных кистах челюстей для заполнения остаточных костных полостей показано использование гранулированного никелида титана, пропитанного антибиотиками.
Список работ, опубликованных по теме диссертации
1. Кадыров, резекции верхушки корня зуба при хронических периодонтитах / , , // Вестник стоматологии №1. – 2000. – С. 56-58.
2. Кадыров, причин возникновения очагов одонтогенной инфекции по данным хирургического отделения городской стоматологической поликлиники №2 / , , // Стоматология Таджикистана. – 2006. – №2. – С. 16-20.
3. Кадыров, зубов без резекции верхушки корня при цистэктомиях / , , // Сборник научных статей 52-й годичной научно-практической конференции с международным участием «Актуальные вопросы стоматологии» ТГМУ. – 2004. – С. 26-27.
4. Шакиров, мембранной техники при лечении больных одонтогенными кистами челюстей с использованием мелкогранулированного никелида титана / , , // Роль современной медицинской технологии в улучшении качества жизни пациента / Материалы республиканский научно-практической конференции с международным гостей г. Турсунзаде. – 2007. – С. 115-116.
5. Хушвахтов, способы лечения одонтогенных кист челюстей / , , и др. // Стоматология Таджикистана. – 2007. – №1. – С. 25-27.
6. Шакиров, технологии устранения полостных образований костной ткани в челюстно-лицевой области / , // Травматология и ортопедия в современном спектре. Материалы съезда травматологов-ортопедов Узбекистана г. Ташкент. – 2008. – С. 152-153.
7. Шакиров, методы лечения больных с кистозными образованиями челюстей / , , // Вестник Таджикского государственного национального университета. – 2008. – №1. – Т.42. – С. 219-224.
8. Хушвахтов, полостных образований костной ткани челюстно-лицевой области / , , // Вестник Авиценны. – Душанбе. – 2008. – №3. – Т.36. – С. 62-65.
9. Хушвахтов, хирургического лечения осложненных форм хронических периодонтитов / , , и др. // Стоматология Таджикистана. – 2008. – №2. – С. 20-21.
10. Шакиров, отечественного иммуномодулятора тимогар при проведении дентальной имплантации у больных сахарным диабетом / , , и др. // Известия Академии наук Республики Таджикистан. – 2009. – №1. – Т.134. – С. 72-76.
11. Хушвахтов, метода тканевой инженерии на основе никелид титана при лечении больных с доброкачественными новообразованиями костей челюстно-лицевой области / , , и др. / Материалы с памятью формы и новые технологии в медицине. – Томск, 2010. – С. 160-163.
Изобретения
1. Способ устранения полостных образований костной ткани / Удостоверение на изобретение № TJ 175 выдано Государственным патентным ведомством Евразийских стран 16.04.2008.
2. Способ обезболивания у стоматологических больных / Удостоверение на изобретение № TJ 441 выдано Государственным патентным ведомством Евразийских стран 28.03.2011.





