

Атеросклероз
Долипидная стадия макроскопически не определяется. Микроскопически наблюдается:
– очаговое повреждение эндотелия и повышение проницаемости мембран интимы, что ведет к накоплению во внутренней оболочке белков плазмы, фибриногена (фибрина) и образованию плоских пристеночных тромбов;
-мукоидиое набухание внутренней оболочки, появление в ней липопротеидов очень низкой и низкой плотности, холестерина, белков;
- разрушение эластических и коллагеновых волокон, пролиферация гладкомышечных клеток. Для выявления этой стадии необходимо применение тиазиновых красителей.
Стадия липоидоза
характеризуется очаговой инфильтрацией интимы липидами (холестерином), липопротеидами, что ведет к образованию жировых (липидных) пятен и полос. Макроскопически такие жировые пятна выглядят в виде участков желтого цвета, которые иногда могут сливаться и образовывать плоские удлиненные полосы не возвышающиеся над поверхностью интимы. Наблюдается набухание и разрушение эластических мембран. Раньше всего жировые пятна и полоски появляются в аорте и у места отхождения ее ветвей, затем в крупных артериях.
При липосклерозе происходит разрастание фибробластов, рост которых стимулирует разрастание в интиме молодой соединительной ткани. Последующее созревание этой ткани сопровождается формированием фиброзной бляшки. Макроскопически фиброзные бляшки представляют собой плотные, круглой или овальной формы образования белого или желтовато-белого цвета, возвышающиеся над поверхностью интимы. Эти бляшки суживают просвет, что сопровождается нарушением притока крови (ишемии) к органу либо его части. Наиболее часто фиброзные бляшки наблюдаются в брюшной аорте, в отходящих от аорты ветвях, в артериях сердца, мозга, почек, нижних конечностей, сонных артериях и др.
При атероматозе липидные массы, расположенные в центральной части бляшки и прилежащие коллагеновые и эластические волокна распадаются-(атероматозный детрит).
Прогрессирование атероматозных изменений ведет к деструкции покрышки бляшки.
Этот период характеризуется большим числом разнообразных осложнений. Наступает стадия изъязвления, сопровождающаяся образованием атероматозной язвы. Края такой язвы подрытые, неровные, Дефект интимы нередко покрывается тромботическими наложениями. В результате некроза глубоких слоев стенки сосуда может формироваться аневризма (выпячивание стенки). Нередко кровь отслаивает интиму от среднего слоя и тогда возникают расслаивающие аневризмы. Опасность этих осложнений заключается в возможности разрыва или аневризмы, или стенки сосуда в местах возникновения атероматозных язв. Атероматозные массы могут вымываться током крови и формировать эмболы.
Атерокальциноз характеризуется отложением в фиброзные бляшки солей кальция, т. е. их обызвествлением (петрификацией). Это завершающая стадия атеросклероза. Вместе с тем необходимо помнить, что отложение солей кальция может наблюдаться и на его более ранних стадиях. Бляшки приобретают каменистую плотность, стенка сосуда в месте петрификации резко деформируется. Соли кальция откладываются в атероматозные массы, в фиброзную ткань, в межуточное вещество между эластическими волокнами.
Гипертоническая болезнь
Патологическая анатомия.
Морфологические проявления гипертонической болезни зависят от характера и длительности ее течения. По характеру течения болезнь может протекать злокачественно (злокачественная гипертензия) и доброкачественно (доброкачественная гипертензия).
При злокачественной гипертензии доминируют проявления гипертонического криза, т. е. резкого повышения артериального давления в связи со спазмом артериол. Морфологические проявления гипертонического криза:
– деструкция базальной мембраны, расположение эндотелия в виде частокола в результате спазма артериолы;
– плазматическое пропитывание или фибриноидный некроз ее стенки;
– тромбоз, сладж-феномен.
При этой форме часто развиваются инфаркты, кровоизлияния, В настоящее время злокачественная гипертония встречается редко, преобладает доброкачественно и медленно текущая гипертоническая болезнь.
При доброкачественной форме гипертонической болезни различают три стадии, имеющие определенные морфологические различия:
– доклиническую;
– выраженных распространенных морфологических изменений артериол и артерий;
– вторичных изменений внутренних органов, обусловленных изменениями сосудов и нарушением внутриорганного кровообращения.
Вместе с тем, в любой стадии доброкачественной гипертензии может возникнуть гипертонический криз с характерными для него морфологическими проявлениями.
Доклиническая стадия гипертонической болезни характеризуется периодическим, временным повышением артериального давления (транзиторная гипертензия). При микроскопическом исследовании выявляют умеренную гипертрофию мышечного слоя и эластических структур артериол и мелких артерий, спазм артериол. В случаях гипертонического криза имеет место гофрированность и деструкция базальной мембраны эндотелия с расположением эндотелиальных клеток в виде частокола. Клинически и морфологически обнаруживают умеренную гипертрофию левого желудочка сердца.
Стадия выраженных распространенных морфологических изменений артериол и артерий является результатом длительного повышения артериального давления. В этой стадии возникают морфологические изменения в артериолах, артериях эластического, мышечно-эластического и мышечного типов, а также в сердце.
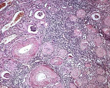
Наиболее характерным признаком гипертонической болезни является изменения артериол. В артериолах выявляется плазматическое пропитывание, которое завершается артериолосклерозом и гиалинозом.
Плазматическое пропитывание артериол и мелких артерий развивается в связи с гипоксией, обусловленной спазмом сосудов, что влечет за собой повреждение эндотелиоцитов, базальной мембраны, мышечных клеток и волокнистых структур стенки. В дальнейшем, белки плазмы уплотняются и превращаются в гиалин. Развивается гиалиноз артериол или артериолосклероз. Наиболее часто плазматическому пропитыванию и гиалинозу подвергаются артериолы и мелкие артерии почек, головного мозга, поджелудочной железы, кишечника, сетчатки глаза, капсулы надпочечников.
В дальнейшем происходит гибель эластических волокон и замещение их коллагеновыми волокнами, т. е. склерозом. Стенка сосудов утолщается, просвет сужен, что ведет к развитию хронической ишемии в органах. Изменения в артериолах и артериях мышечно-эластического и мышечного типов создают предпосылки для развития третьей стадии гипертонической болезни. В этой стадии масса сердца достигает 900—1000 г, а толщина стенки левого желудочка составляет 2—3 см. В связи с нарушением трофики миокарда (в условиях кислородного голодания) развивается диффузный мелкоочаговый кардиосклероз.
3 - стадия гипертонической болезни или стадия вторичных изменений внутренних органов
обусловлена изменениями сосудов и нарушением внутриорганного кровообращения.
Эти вторичные изменения могут проявляться либо очень быстро в результате спазма, тромбоза, фибриноидного некроза стенки сосуда и завершаются кровоизлияниями или инфарктами, либо могут развиваться медленно в результате гиалиноза и артериолосклероза и вести к атрофии паренхимы и склерозу органов.
Выделяют сердечную, мозговую и почечную клинико-морфологические формы.
Сердечная форма гипертонической болезни вместе с сердечной формой атеросклероза составляют сущность ишемической болезни сердца
Почечная форма гипертонической болезни относятся инфаркты почек – при быстром –злокачественной форме, которые связаны с тромбоэмболией или тромбозом артерий. Помимо артериол, некрозу подвергаются капиллярные петли клубочков, в строме возникают отек и кровоизлияния, в эпителии канальцев — белковая дистрофия. В ответ на некроз в артериолах, клубочках и строме развиваются склероз. Почки выглядят несколько уменьшенными в размерах, пестрыми, поверхность их мелкогранулярная. Артериолонекроз приводит к острой почечной недостаточности и заканчивается обычно смертельно.
При доброкачественном течении изменения обусловлены недостаточным питанием, т. е. хронической ишемией. В результате недостаточного кровоснабжения и гипоксии канальцевая часть большинства нефронов атрофируется и замещается соединительной тканью, которая разрастается также вокруг погибших клубочков. На поверхности почек появляются мелкие множественные очаги западения. Нефроны, соответствующие относительно сохранным клубочкам, гипертрофируются и выступают над почечной поверхностью. Почки резко уменьшаются в размере (практически вдвое), плотные, поверхность их мелкозернистая, паренхима равномерно истончена, особенно корковое вещество. Масса почек может достигать 50-60 грамм. Такие почки называют первично-сморщенными. Первично - потому, что уменьшение почек происходит от нормальных размеров, в то время как во всех остальных случаях (при воспалении, дистрофических процессах) почки вначале увеличиваются в объеме, а затем вторично происходит их уменьшение. Еще одно название почек “артериоло-склеротический нефросклероз” показывает, что в основе болезни первоначально лежит поражение артериол. Больные чаще всего умирают при этой форме от хронической почечной недостаточности (азотемической уремии).
Изменения глаз при гипертонической болезни вторичные и связаны с типичными изменениями сосудов. Эти изменения проявляются в виде отека соска зрительного нерва, кровоизлияний, отслойки сетчатки, в тяжелых случаях ее некрозом и тяжелыми дистрофическими изменениями нервных клеток ганглиозного слоя.
Причины смерти. Наиболее частыми причинами смерти являются сердечная недостаточность в результате диффузного кардиосклероза (в острых случаях – инфаркт миокарда), хроническая почечная недостаточность (азотемическая уремия), кровоизлияние в мозг.
Задача № 1 У мужчины 75 лет, страдающего длительно гипертонической болезнью, внезапно возникли боли в области сердца, резко наросла синюшность лица, появилось "чувство страха смерти". Несмотря на предпринятое лечение наступила смерть.
На аутопсии масса сердца 800.0 г, толщина стенки левого желудочка 1.8 см, обширный инфаркт стенки левого желудочка сердца. На продольном разрезе в миокарде отмечено диффузное разрастание соединительной ткани.
Чем обусловлены изменения в сердце?
Задача № 2 Мужчина 70 лет поступил в клинику с жалобами на резкие боли в брюшной полости, слабость. Через несколько минут потерял сознание, пульс нитевидный.
Во время операции отмечено, что в брюшном отделе аорта мешковидно выбухает, стенка ее истончена.
В аорте имеет место…?
Задача № 3
Мужчина 70 лет поступил в клинику с жалобами на резкие боли в брюшной полости, слабость. Через несколько минут потерял сознание, пульс нитевидный. Во время операции обнаружено, что парааортальная клетчатка имбибирована (пропитана) кровью.
В брюшном отделе аорта мешковидно выбухает, стенка ее истончена. В центре ее дефект с неровными краями. Об осложнении какого заболевания идет речь в данном случае и почему?
Задача № 4
Больная 78 лет доставлена в клинику в крайне тяжелом состоянии: сознание утрачено, правосторонняя гемиплегия. В анамнезе, со слов родственников, эпизоды нарушения мозгового кровообращения, высокое артериальное давление. При нарастающих явлениях сердечно-сосудистой недостаточности больная умерла.
В левом полушарии головного мозга обнаружен очаг, представленный дряблой, бесструктурной, серовато-желтоватой тканью, с нечеткими границами. О наличии какого патологического процесса идет речь?
Задача № 5
При вскрытии трупа женщины 67 лет, повышенного питания, умершей от острого инфаркта миокарда, обнаружено, что в интиме коронарных, почечных и бедренных артерий имеются множественные желтоватые, плотные, выбухающие в просвет и резко его суживающие образования. Поверхность некоторых из них бесструктурная, грязно-бурого цвета. В просвете левой бедренной артерии сухой, слоистый, крошащийся, спаянный со стенкой сосуда, темно-красного цвета, тусклый сверток крови. Деструктивные изменения некоторых бляшек соответствуют стадии:
Задача № 6
При вскрытии трупа мужчины 45 лет, умершего внезапно, в интиме брюшного отдела аорты определяются участки желтоватого цвета, склонные к слиянию, с образованием плоских удлиненных полос не возвышающихся над ее поверхностью. При гистологическом исследовании этих участков среди гладкомышечных клеток и макрофагов выявляются клетки с пенистой цитоплазмой. При окраске суданом III отмечается их ярко-оранжевое окрашивание.
Для какой стадии атеросклероза более характерна описанная картина:
Задача № 7
При вскрытии трупа мужчины 60 лет, длительно страдавшего атеросклерозом и умершего при явлениях сердечно-сосудистой недостаточности, в венечных артериях сердца обнаружено множество атеросклеротических бляшек, закрывающих до 2/3 просвета сосудов. Ваш диагноз:
1. хроническая ишемическая болезнь сердца (ХИБС);2. инфаркт миокарда (острая ишемическая болезнь сердца);3. порок сердца;4. тромбоз венечных сосудов.
Задача № 8
При вскрытии трупа мужчины 72 лет, страдавшего гипертонической болезнью и умершего при нарастающих явлениях аутоинтоксикации вследствие высокой азотемии, обнаружено: почки размерами 6.5х2.5х2 см, массой 70.0 г., плотные, поверхность их мелкозернистая, паренхима, особенно корковое вещество, равномерно истончена. При микроскопическом исследовании большинство нефронов замещено соединительной тканью. Изменения в почках носят название:
Задача № 9
Выберите один правильный ответ. Женщина 68 лет, длительно страдавшая гипертонической болезнью, поступила в клинику с жалобами на резкую головную боль, нарушение движений в левых конечностях. Через 5 часов она умерла. На аутопсии в правом полушарии в ткани мозга имеется полость с неровными краями, заполненная темно-красными, эластичными свертками крови. О какой стадии гипертонической болезни можно говорить в данном случае:
1. доклинической (транзиторной гипертензии);2. липоидоза;
3. выраженных распространенных морфологических изменений артериол и артерий4. вторичных изменений внутренних органов.
Задача № 10 Мужчина 50 лет. Злоупотреблял спиртными напитками. Умер при нарастающих явлениях хронической сердечно-сосудистой недостаточности. На вскрытии: сердце массой 600 грамм, миокард дряблый, глинистого вида, с интенсивным диффузным интерстициальным фиброзом, местами просматриваются небольшие рубчики. Коронарные артерии интактны. При микроскопическом исследовании отмечается сочетание гидропической и жировой дистрофии, атрофии и гипертрофии кардиомиоцитов, встречаются очажки лизиса кардиомиоцитов и склероза. Поврежденные участки миокарда чередуются с неповрежденными. О какой кардиомиопатии идет речь:



