1. Заключением терапевта.
2. Актом судебно-медицинского освидетельствования.
3. Протоколом освидетельствования.
4. Протоколом осмотра.
5. Заключением адвоката.
86. Процент утраты трудоспособности повреждения в виде перелома бедренной кости - это расстройство здоровья, соединенное со стойкой утратой общей трудоспособности более 30%:
1. Да.
2. Нет.
87. Перелом лучезапястного сустава в процентном отношении определяется как значительная стойкая утрата общей трудоспособности менее чем на одну треть:
1. Да.
2. Нет.
88.Открытый или закрытый перелом диафиза бедренной кости влечет значительную стойкую утрату трудоспособности не менее чем на одну треть:
1. Да.
2. Нет.
89. Длительным считают расстройство здоровья, непосредственно связанное с повреждением средней степени тяжести, продолжительностью более 21 дня:
1. Да.
2. нет.
90. Под значительной стойкой утратой общей трудоспособности понимают утрату общей трудоспособности в размере не менее чем на одну треть (свыше 30%):
1. Да.
2. Нет.
91. Под незначительной стойкой утратой трудоспособности подразумевают утрату общей трудоспособности в размере менее 10%:
1. Да.
2. Нет.
92. Кратковременным считают расстройство здоровья, непосредственно связанное с повреждением, продолжительностью не более 21 дня:
1. Да.
2. Нет.
93. Предотвращение смертельного исхода, обусловленное оказанием медицинской помощи, при оценке опасности для жизни повреждения не должно приниматься во внимание
1. Да.
2. Нет.
94. Вред здоровью, опасный для жизни человека непосредственно создают угрозу для жизни:
1. Да
2.Нет.
95. Неопасные для жизни повреждения, относящиеся к тяжким по исходу и последствиям:
1. Все перечисленные.
2. Утрата органом его функции.
3. Потеря какого-либо органа.
4. Психическое заболевание.
5. Прерывание беременности.
96. При производстве судебно-медицинской экспертизы по поводу повреждений эксперт обязан установить:
1. Наличие и характер повреждения.
2. Локализацию и давность.
3. Процент утраты общей трудоспособности.
4. Степень тяжести причиненного вреда здоровью человека.
5. Все перечисленные.
97. При производстве судебно-медицинской экспертизы потерпевших, обвиняемых и других лиц, судебно-медицинский эксперт руководствуется:
1. Гражданско-процессуальным кодексом.
2. Уголовным кодексом.
3. Уголовно-процессуальным кодексом.
4. Приказом Минздравсоцразвития РФ № 000 н от 2008г. «Об утверждении критериев определения степени тяжести вреда, причиненного здоровью человека».
5. Инструкцией о проведении судебно-медицинской экспертизы в СССР.
98. Судебно - медицинское освидетельствование потерпевшего производится в присутствии и с участием:
1. Следователя.
2. Понятых.
3. Врача.
4. Свидетелей.
5. Соседей.
99. Ответственность за производство судебно - медицинской экспертизы несет:
1. Судебно-медицинский эксперт.
2. Следователь.
3. Суд.
4. Врач.
5. Присяжные.
100. Производство освидетельствования живых лиц производит судебно-медицинский эксперт, врач-специалист:
1. Да.
2. Нет.
101. Согласно УПК проведение судебно-медицинской экспертизы живых лиц обязательно для установления характера и степени вреда, причиненного здоровью человека.
1. Да.
2.Нет.
102 Последствия (исход) повреждений при определении среднего и легкого вреда здоровью - это длительное или кратковременное расстройство здоровья
1. Да.
2. Нет
103. Освидетельствование, в отличие от экспертизы, является исследованием
1. Да.
2. Нет.
104. Освидетельствование потерпевшего в Бюро судебно - медицинской экспертизы производит судебно-медицинский эксперт:
1. Да.
2. Нет
105. Закон предоставляет право произвести освидетельствование потерпевшего, подозреваемого, обвиняемого:
1. Да.
2.Нет.
106. К опасным для жизни повреждениям по исходу относятся повреждения при черепно- мозговых травмах: |
| 1. Проникающие ранения черепа. 2. Ушиб головного мозга средней тяжести. 3. Закрытые переломы костей лица. 4. Ушибы голоного мозга легкой степени. 5. Перелом костей носа. |
107. Повреждения грудных позвонков и спинного мозга, сопровождающиеся тяжелым спинальным шоком, квалифицируются по признаку опасности для жизни:
1.Да.
2. Нет.
108. Перелом или переломо - вывих одного грудного позвонка без нарушения функции спинного мозга квалифицируется по признаку:
1. Опасности для жизни.
2. Стойкой утраты общей трудоспособности менее чем на одну треть.
3. Длительности расстройства здоровья.
4. Кратковременного расстройства здоровья.
5. Отсутствие опасности для жизни.
109. Судебно-медицинская экспертиза по поводу утраты трудоспособности назначается для установления размеров процента утраты общей трудоспособности:
1. Да.
2. Нет.
(Нумерация отсутствует до окончания правки)
Впишите пропущенные слова или словосочетания
110. На рисунке изображена рана живота проникающая в брюшную полость, что по признаку опасности для жизни в соответствии с Приказом Минздравсоцразвития РФ № 000н от 01.01.2001 квалифицируется как ____________________________________. | ||
| 1. Тяжкий вред, причинённый здоровью человека. 2. Вред, причинённый здоровью человека, средней тяжести. 3. Лёгкий вред, причинённый здоровью человека. 4. Отсутствие вреда для здоровья человека. | |
111.На рисунке изображена рана головы, проникающая в полость черепа, что по признаку опасности для жизни в соответствии с Приказом Минздравсоцразвития РФ № 000н от 01.01.2001 квалифицируется как _____________________________ | ||
| 1. Тяжкий вред, причинённый здоровью человека. 2. Вред, причинённый здоровью человека, средней тяжести. 3. Лёгкий вред, причинённый здоровью человека. 4. Отсутствие вреда для здоровья человека. | |
112.На рисунке изображен перелом теменной кости, что по признаку опасности для жизни в соответствии с Приказом Минздравсоцразвития РФ № 000н от 01.01.2001 квалифицируется как ________________________ . | ||
| 1. Тяжкий вред, причинённый здоровью человека. 2. Вред, причинённый здоровью человека, средней тяжести. 3. Лёгкий вред, причинённый здоровью человека. 4. Отсутствие вреда для здоровья человека. | |
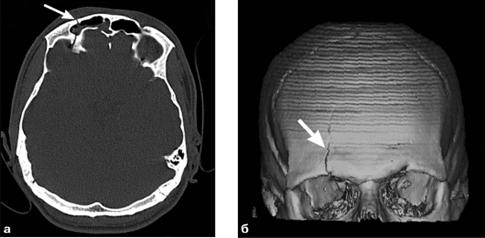
113.На рисунке изображен перелом лобной кости, что по признаку опасности для жизни в соответствии с Приказом Минздравсоцразвития РФ № 000н от 01.01.2001 квалифицируется как ___________________________. | ||
| 1. Тяжкий вред, причинённый здоровью человека. 2. Вред, причинённый здоровью человека, средней тяжести. 3. Лёгкий вред, причинённый здоровью человека. 4. Отсутствие вреда для здоровья человека. | |
114.На рисунке изображен перелом верхней стенки глазницы, что по признаку опасности для жизни в соответствии с Приказом Минздравсоцразвития РФ № 000н от 01.01.2001 квалифицируется как _________________________. | ||
| 1. Тяжкий вред, причинённый здоровью человека. 2. Вред, причинённый здоровью человека, средней тяжести. 3. Лёгкий вред, причинённый здоровью человека. 4. Отсутствие вреда для здоровья человека. | |
115.На рисунке изображен перелом височной кости, что по признаку опасности для жизни в соответствии с Приказом Минздравсоцразвития РФ № 000н от 01.01.2001 квалифицируется как _____________________________. | ||
| 1. Тяжкий вред, причинённый здоровью человека. 2. Вред, причинённый здоровью человека, средней тяжести. 3. Лёгкий вред, причинённый здоровью человека. 4. Отсутствие вреда для здоровья человека. | |
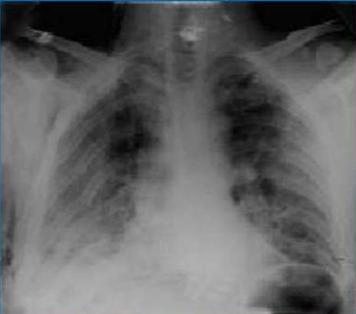
116.На рисунке изображены множественные двусторонние переломы рёбер с нарушением анатомической целости каркаса грудной клетки, что по признаку опасности для жизни в соответствии с Приказом Минздравсоцразвития РФ № 000н от 01.01.2001 квалифицируется как ______________________________. | ||
| 1. Тяжкий вред, причинённый здоровью человека. 2. Вред, причинённый здоровью человека, средней тяжести. 3. Лёгкий вред, причинённый здоровью человека. 4. Отсутствие вреда для здоровья человека. | |
117.На рисунке изображен вывих шейного позвонка, что по признаку опасности для жизни в соответствии с Приказом Минздравсоцразвития РФ № 000н от 01.01.2001 квалифицируется как __________________________. | ||
| 1. Тяжкий вред, причинённый здоровью человека. 2. Вред, причинённый здоровью человека, средней тяжести. 3. Лёгкий вред, причинённый здоровью человека. 4. Отсутствие вреда для здоровья человека. | |
|
Из за большого объема этот материал размещен на нескольких страницах:
1 2 3 4 5 6 7 8 9 10 11 12 13 14 15 16 17 |












